Antibody data
- Antibody Data
- Antigen structure
- References [0]
- Comments [0]
- Validations
- Western blot [1]
- Immunohistochemistry [2]
Submit
Validation data
Reference
Comment
Report error
- Product number
- LS-B10127 - Provider product page

- Provider
- LSBio
- Product name
- IHC-plus™ ERAP2 / Aminopeptidase Antibody LS-B10127
- Antibody type
- Polyclonal
- Description
- Peptide Column Affinity Chromatography
- Reactivity
- Human
- Host
- Rabbit
- Isotype
- IgG
- Storage
- Store at 4°C for up 3 months. Store at -20°C for up to 1 year. Avoid freeze/thaw cycles.
No comments: Submit comment
Enhanced validation
- Submitted by
- LSBio (provider)
- Enhanced method
- Genetic validation
- Main image

- Experimental details
- Western blot analysis of ERAP2 in rat small intestine tissue lysate with ERAP2 antibody at 1 ug/ml.
Supportive validation
- Submitted by
- LSBio (provider)
- Enhanced method
- Genetic validation
- Main image

- Experimental details
- Anti-ERAP2 / Aminopeptidase antibody IHC staining of human kidney. Immunohistochemistry of formalin-fixed, paraffin-embedded tissue after heat-induced antigen retrieval. Antibody concentration 10 ug/ml.
- Submitted by
- LSBio (provider)
- Enhanced method
- Genetic validation
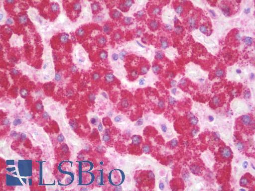
- Main image

- Experimental details
- Anti-ERAP2 / Aminopeptidase antibody IHC staining of human liver. Immunohistochemistry of formalin-fixed, paraffin-embedded tissue after heat-induced antigen retrieval.