Antibody data
- Antibody Data
- Antigen structure
- References [2]
- Comments [0]
- Validations
- Western blot [2]
- ELISA [1]
- Immunohistochemistry [2]
- Flow cytometry [1]
Submit
Validation data
Reference
Comment
Report error
- Product number
- ABIN1098120 - Provider product page

- Provider
- antibodies-online
- Product name
- anti-Forkhead Box P1 (FOXP1) (AA 481-677) antibody
- Antibody type
- Monoclonal
- Description
- Purified
- Reactivity
- Human
- Host
- Mouse
- Epitope
- AA 481-677
- Isotype
- IgG
- Antibody clone number
- 6-00E-04
- Vial size
- 100 μg
- Storage
- 4°C, -20°C for long term storage
Submitted references Transcription factors E2A, FOXO1 and FOXP1 regulate recombination activating gene expression in cancer cells.
The RAG1 V(D)J recombinase/ubiquitin ligase promotes ubiquitylation of acetylated, phosphorylated histone 3.3.
Chen Z, Xiao Y, Zhang J, Li J, Liu Y, Zhao Y, Ma C, Luo J, Qiu Y, Huang G, Korteweg C, Gu J
PloS one 2011;6(5):e20475
PloS one 2011;6(5):e20475
The RAG1 V(D)J recombinase/ubiquitin ligase promotes ubiquitylation of acetylated, phosphorylated histone 3.3.
Jones JM, Bhattacharyya A, Simkus C, Vallieres B, Veenstra TD, Zhou M
Immunology letters 2011 May;136(2):156-62
Immunology letters 2011 May;136(2):156-62
No comments: Submit comment
Supportive validation
- Submitted by
- antibodies-online (provider)
- Main image

- Experimental details
- WB
- Submitted by
- antibodies-online (provider)
- Main image

- Experimental details
- WB
Supportive validation
- Submitted by
- antibodies-online (provider)
- Main image

- Experimental details
- ELISA
Supportive validation
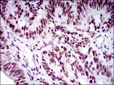
- Submitted by
- antibodies-online (provider)
- Main image

- Experimental details
- IHC
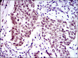
- Submitted by
- antibodies-online (provider)
- Main image

- Experimental details
- IHC
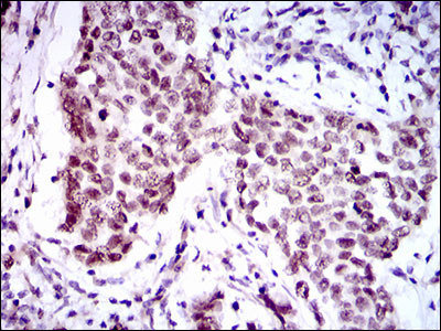
Supportive validation
- Submitted by
- antibodies-online (provider)
- Main image

- Experimental details
- FACS