Antibody data
- Antibody Data
- Antigen structure
- References [0]
- Comments [0]
- Validations
- Western blot [2]
- Immunohistochemistry [4]
- Other assay [1]
Submit
Validation data
Reference
Comment
Report error
- Product number
- UM800020 - Provider product page

- Provider
- Invitrogen Antibodies
- Product name
- FOXP1 Monoclonal Antibody (UMAB89), UltraMAB™
- Antibody type
- Monoclonal
- Antigen
- Recombinant full-length protein
- Reactivity
- Human, Mouse, Rat
- Host
- Mouse
- Isotype
- IgG
- Antibody clone number
- UMAB89
- Vial size
- 100 µL
- Concentration
- 0.5-1.0 mg/mL
- Storage
- -20° C, Avoid Freeze/Thaw Cycles
No comments: Submit comment
Supportive validation
- Submitted by
- Invitrogen Antibodies (provider)
- Main image

- Experimental details
- Western blot of human tissue lysates (15 µg) from 10 different tissues (1: Testis, 2: Omentum, 3: Uterus, 4: Breast, 5: Brain, 6: Liver, 7: Ovary, 8: Thyroid, 9: Colon, 10: Spleen). Dilution: 1:500.
- Submitted by
- Invitrogen Antibodies (provider)
- Main image

- Experimental details
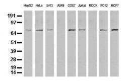
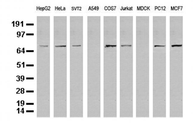
- Western blot analysis of extracts (35 µg) from 9 different cell lines by using anti-FOXP1 monoclonal antibody (Clone UMAB89).
Supportive validation
- Submitted by
- Invitrogen Antibodies (provider)
- Main image

- Experimental details
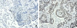
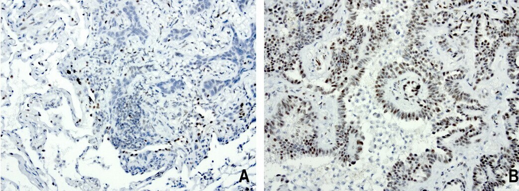
- Immunohistochemical staining of paraffin-embedded human lung cancer using anti-FOXP1 clone UMAB89 mouse monoclonal antibody at 1:200 dilution of mg/mL using Polink2 Broad HRP DAB for detection. UM800020 requires HIER with with citrate pH6.0 at 110°C for 3 min using pressure chamber/cooker. The panel A shows negative tumor cells of lung carcinoma and panel B strong nuclear staining in the tumor cells.
- Submitted by
- Invitrogen Antibodies (provider)
- Main image

- Experimental details
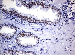
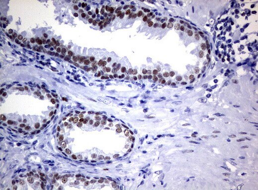
- Immunohistochemical staining of paraffin-embedded human prostate tissue using anti-FOXP1 mouse monoclonal antibody. (UM800020; heat-induced epitope retrieval by 1 mM EDTA in 10mM Tris, pH8.0, 120°C for 3min)
- Submitted by
- Invitrogen Antibodies (provider)
- Main image

- Experimental details
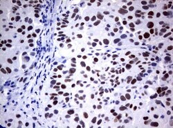
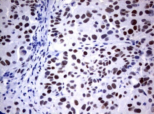
- Immunohistochemical staining of paraffin-embedded Carcinoma of Human bladder tissue using anti-FOXP1 mouse monoclonal antibody. (UM800020; heat-induced epitope retrieval by 1 mM EDTA in 10mM Tris, pH8.0, 120°C for 3min)
- Submitted by
- Invitrogen Antibodies (provider)
- Main image

- Experimental details
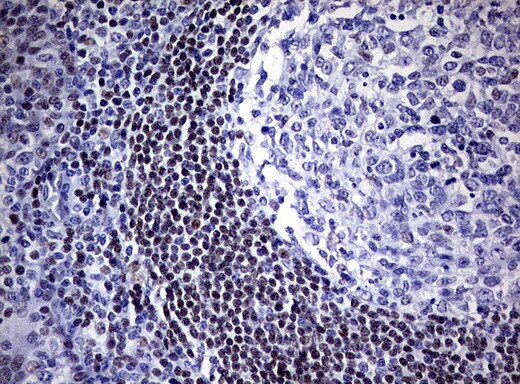
- Immunohistochemical staining of paraffin-embedded human tonsil using anti-FOXP1 mouse monoclonal antibody. (UM800020; heat-induced epitope retrieval by 1 mM EDTA in 10mM Tris, pH8.0, 120°C for 3min)
Supportive validation
- Submitted by
- Invitrogen Antibodies (provider)
- Main image

- Experimental details
- OriGene overexpression protein microarray chip was immunostained with UltraMAB anti-FOXP1 mouse monoclonal antibody (UM800020). The positive reactive proteins are highlighted with two red arrows in the enlarged subarray. All the positive controls spotted in this subarray are also labeled for clarification.