Antibody data
- Antibody Data
- Antigen structure
- References [7]
- Comments [0]
- Validations
- Western blot [1]
- Immunohistochemistry [4]
- Flow cytometry [1]
Submit
Validation data
Reference
Comment
Report error
- Product number
- ABIN256072 - Provider product page

- Provider
- antibodies-online
- Product name
- anti-Forkhead Box P1 (FOXP1) antibody
- Antibody type
- Monoclonal
- Description
- Protein G purified
- Reactivity
- Human, Mouse
- Host
- Mouse
- Isotype
- IgG
- Antibody clone number
- JC12
- Vial size
- 0.1 mL
- Storage
- Store at 4°C short term. Aliquot and store at -20°C long term. Avoid freeze-thaw cycles.
- Handling
- Avoid freeze-thaw cycles
Submitted references p53 expression is a strong marker of inferior survival in de novo diffuse large B-cell lymphoma and may have enhanced negative effect with MYC coexpression: a single institutional clinicopathologic study.
Potentially oncogenic B-cell activation-induced smaller isoforms of FOXP1 are highly expressed in the activated B cell-like subtype of DLBCL.
FOXP3 is a homo-oligomer and a component of a supramolecular regulatory complex disabled in the human XLAAD/IPEX autoimmune disease.
Analysis of FOXP3 protein expression in human CD4(+)CD25(+) regulatory T cells at the single-cell level.
Expression of the FOXP1 transcription factor is strongly associated with inferior survival in patients with diffuse large B-cell lymphoma.
Expression of the forkhead transcription factor FOXP1 is associated with estrogen receptor alpha and improved survival in primary human breast carcinomas.
The FOXP1 winged helix transcription factor is a novel candidate tumor suppressor gene on chromosome 3p.
Xie Y, Bulbul MA, Ji L, Inouye CM, Groshen SG, Tulpule A, O'Malley DP, Wang E, Siddiqi IN
American journal of clinical pathology 2014 Apr;141(4):593-604
American journal of clinical pathology 2014 Apr;141(4):593-604
Potentially oncogenic B-cell activation-induced smaller isoforms of FOXP1 are highly expressed in the activated B cell-like subtype of DLBCL.
Brown PJ, Ashe SL, Leich E, Burek C, Barrans S, Fenton JA, Jack AS, Pulford K, Rosenwald A, Banham AH
Blood 2008 Mar 1;111(5):2816-24
Blood 2008 Mar 1;111(5):2816-24
FOXP3 is a homo-oligomer and a component of a supramolecular regulatory complex disabled in the human XLAAD/IPEX autoimmune disease.
Li B, Samanta A, Song X, Iacono KT, Brennan P, Chatila TA, Roncador G, Banham AH, Riley JL, Wang Q, Shen Y, Saouaf SJ, Greene MI
International immunology 2007 Jul;19(7):825-35
International immunology 2007 Jul;19(7):825-35
Analysis of FOXP3 protein expression in human CD4(+)CD25(+) regulatory T cells at the single-cell level.
Loddenkemper C, Maul J, Berg E, Stein H, Zeitz M, Duchmann R
European journal of immunology 2006 Jan;36(1):245; author reply 246
European journal of immunology 2006 Jan;36(1):245; author reply 246
Expression of the FOXP1 transcription factor is strongly associated with inferior survival in patients with diffuse large B-cell lymphoma.
Banham AH, Connors JM, Brown PJ, Cordell JL, Ott G, Sreenivasan G, Farinha P, Horsman DE, Gascoyne RD
Clinical cancer research : an official journal of the American Association for Cancer Research 2005 Feb 1;11(3):1065-72
Clinical cancer research : an official journal of the American Association for Cancer Research 2005 Feb 1;11(3):1065-72
Expression of the forkhead transcription factor FOXP1 is associated with estrogen receptor alpha and improved survival in primary human breast carcinomas.
Fox SB, Brown P, Han C, Ashe S, Leek RD, Harris AL, Banham AH
Clinical cancer research : an official journal of the American Association for Cancer Research 2004 May 15;10(10):3521-7
Clinical cancer research : an official journal of the American Association for Cancer Research 2004 May 15;10(10):3521-7
The FOXP1 winged helix transcription factor is a novel candidate tumor suppressor gene on chromosome 3p.
Banham AH, Beasley N, Campo E, Fernandez PL, Fidler C, Gatter K, Jones M, Mason DY, Prime JE, Trougouboff P, Wood K, Cordell JL
Cancer research 2001 Dec 15;61(24):8820-9
Cancer research 2001 Dec 15;61(24):8820-9
No comments: Submit comment
Supportive validation
- Submitted by
- antibodies-online (provider)
- Main image

- Experimental details
- WB
Supportive validation
- Submitted by
- antibodies-online (provider)
- Main image

- Experimental details
- IHC
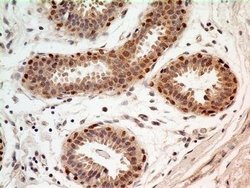
- Submitted by
- antibodies-online (provider)
- Main image

- Experimental details
- IHC
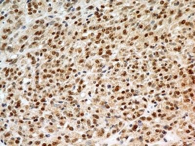
- Submitted by
- antibodies-online (provider)
- Main image

- Experimental details
- IHC
- Submitted by
- antibodies-online (provider)
- Main image

- Experimental details
- IHC
Supportive validation
- Submitted by
- antibodies-online (provider)
- Main image

- Experimental details
- FACS