Antibody data
- Antibody Data
- Antigen structure
- References [0]
- Comments [0]
- Validations
- Western blot [1]
- Immunohistochemistry [2]
- Flow cytometry [1]
Submit
Validation data
Reference
Comment
Report error
- Product number
- F51952 - Provider product page

- Provider
- NSJ Bioreagents
- Product name
- FOXP1 Antibody
- Antibody type
- Polyclonal
- Description
- This highly specific FOXP1 antibody is suitable for use in Immunohistochemistry/Flow cytometry/Western blot/ELISA applications with human samples.
- Reactivity
- Human
- Host
- Rabbit
- Conjugate
- Unconjugated
- Vial size
- 0.08 ml, 0.4 ml
- Concentration
- In 1X PBS, pH 7.4, with 0.09% sodium azide
- Storage
- Aliquot the FOXP1 antibody and store frozen at -20oC or colder. Avoid repeated freeze-thaw cycles.
No comments: Submit comment
Supportive validation
- Submitted by
- NSJ Bioreagents (provider)
- Main image

- Experimental details
- FOXP1 antibody western blot analysis in (1) A549, (2) Daudi, (3) Jurkat, (4) MCF-7, and (5) NCI-H292 lysate
Supportive validation
- Submitted by
- NSJ Bioreagents (provider)
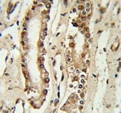
- Main image

- Experimental details
- IHC analysis of FFPE human thymus section using FOXP1 antibody; Ab was diluted at 1:25.
- Submitted by
- NSJ Bioreagents (provider)
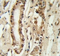
- Main image

- Experimental details
- FOXP1 antibody IHC analysis in formalin fixed and paraffin embedded lung tissue.
Supportive validation
- Submitted by
- NSJ Bioreagents (provider)
- Main image

- Experimental details
- FOXP1 antibody flow cytometric analysis of Ramos cells (right histogram) compared to negative control cells (left histogram). FITC-conjugated goat-anti-rabbit secondary Ab was used for the analysis.