Antibody data
- Antibody Data
- Antigen structure
- References [0]
- Comments [0]
- Validations
- Western blot [1]
- Immunohistochemistry [1]
Submit
Validation data
Reference
Comment
Report error
- Product number
- ARG53046 - Provider product page

- Provider
- Arigo
- Product name
- anti-FOXP1 antibody [SP133]
- Antibody type
- Monoclonal
- Antigen
- Synthetic peptide corresponding to the C-terminus of human FOXP1 protein.
- Description
- Purified by protein A/G
- Reactivity
- Human
- Host
- Rabbit
- Isotype
- IgG
- Antibody clone number
- SP133
- Vial size
- 100 µl
- Storage
- Aliquot and store at 2-8°C. Do not freeze. The antibody solution should be gently mixed before use.
- Handling
- The antibody solution should be gently mixed before use.
No comments: Submit comment
Supportive validation
- Submitted by
- Arigo (provider)
- Main image

- Experimental details
- Western Blot: MCF7 Cell stained with FOXP1 antibody [SP133] (ARG53046)
Supportive validation
- Submitted by
- Arigo (provider)
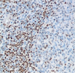
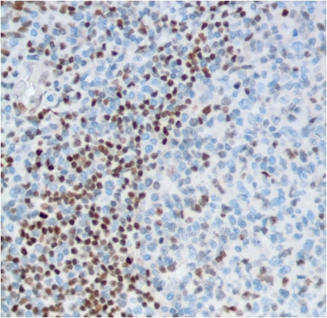
- Main image

- Experimental details
- Immunohistochemistry: Human Tonsil stained with FOXP1 antibody [SP133] (ARG53046)