Antibody data
- Antibody Data
- Antigen structure
- References [0]
- Comments [0]
- Validations
- Western blot [1]
Submit
Validation data
Reference
Comment
Report error
- Product number
- 679001 - Provider product page

- Provider
- BioLegend
- Proper citation
- BioLegend Cat#679001, RRID:AB_2566074
- Product name
- Purified anti-FOXP1 (Forkhead Box P1)
- Antibody type
- Monoclonal
- Antigen
- Full length recombinant human FOXP1 protein.
- Description
- FOXP1 (Forkhead Box P1) is a transcription regulator, which plays an important role in the brain, cardiac, lung, and lymphocyte development. Mutations in FOXP1, which are located at 3p13, have been reported in patients with global developmental delay (GDD), intellectual disability (ID), and speech defects. FOXP1 is targeted by recurrent chromosome translocations and its overexpression confers a poor prognosis in a number of types of lymphomas, suggesting it may function as an oncogene. In contrast, FOXP1 localizes to a tumor suppressor locus at 3p14.1 and the loss of FOXP1 expression in breast cancer is associated with a worse outcome, suggesting FOXP1 may function as a tumor suppressor in other tissue types. Recent studies also suggest that in embryonic stem cells (ESC), specific isoforms of FOXP1 help maintain the ESC pluripotency and stimulates the expression of transcription factor genes that are required for pluripotency such as OCT4, NANOG, NR5A2, and GDF3, while concomitantly repressing genes required for ESC differentiation.
- Reactivity
- Human
- Host
- Mouse
- Conjugate
- Unconjugated
- Antibody clone number
- O94D2
- Vial size
- 25 µg
- Concentration
- 0.5 mg/ml
- Storage
- 2°C-8°C
- Handling
- Ambient RT
No comments: Submit comment
Supportive validation
- Submitted by
- BioLegend (provider)
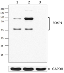
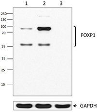
- Main image

- Experimental details
- Western blot analysis of cell lysates from HeLa (lane 1), Daudi (lane 2), and NIH3T3 (lane 3). Anti-FOXP1 antibody (clone O94D2) was used and followed by HRP anti-mouse IgG antibody. GAPDH (clone poly6314) was used as a loading control.
- Conjugate
- Unconjugated