Antibody data
- Antibody Data
- Antigen structure
- References [0]
- Comments [0]
- Validations
- Western blot [1]
- Immunocytochemistry [1]
- Immunohistochemistry [4]
- Flow cytometry [1]
Submit
Validation data
Reference
Comment
Report error
- Product number
- TA336483 - Provider product page

- Provider
- OriGene
- Product name
- Mouse Monoclonal FoxP1 Antibody (JC12)
- Antibody type
- Monoclonal
- Description
- Mouse Monoclonal FoxP1 Antibody (JC12)
- Host
- Mouse
- Conjugate
- Unconjugated
- Epitope
- FOXP1
- Isotype
- IgG
- Antibody clone number
- JC12
- Vial size
- 100 µl
- Concentration
- 1.0 mg/ml
No comments: Submit comment
Supportive validation
- Submitted by
- OriGene (provider)
- Main image

- Experimental details
- Western Blot: FOXP1 Antibody (JC12) [TA336483] - Western blot analysis of resonicated MCF7 cell lysate (A) and MCF7 cell lysate (B) using FOXP1 antibody at 2 ug/ml.
- Validation comment
- WB
Supportive validation
- Submitted by
- OriGene (provider)
- Main image

- Experimental details
- Immunocytochemistry/Immunofluorescence: FOXP1 Antibody (JC12) [TA336483] - FOXP1 antibody was tested at 1:25 in MCF-7 cells with Dylight 488 (green). Nuclei and alpha-tubulin were counterstained with DAPI (blue) and Dylight 550 (red). Image objective 40x.
- Validation comment
- IF
Supportive validation
- Submitted by
- OriGene (provider)
- Main image

- Experimental details
- Immunohistochemistry-Paraffin: FOXP1 Antibody (JC12) [TA336483] - IHC analysis of formalin-fixed paraffin-embedded tissue section of human normal brain using mouse monoclonal FOXP1 antibody (clone JC12) at 5 ug/ml concentration. The cells in the brain tis
- Validation comment
- IHC
- Submitted by
- OriGene (provider)
- Main image

- Experimental details
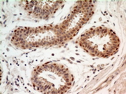
- Immunohistochemistry-Paraffin: FOXP1 Antibody (JC12) [TA336483] - IHC analysis of formalin-fixed paraffin-embedded tissue section of human normal breast using FOXP1 antibody (clone JC12) at 5 ug/ml concentration. The breast ductal/acinar epithelial cells
- Validation comment
- IHC
- Submitted by
- OriGene (provider)
- Main image

- Experimental details
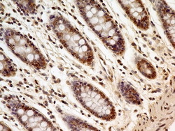
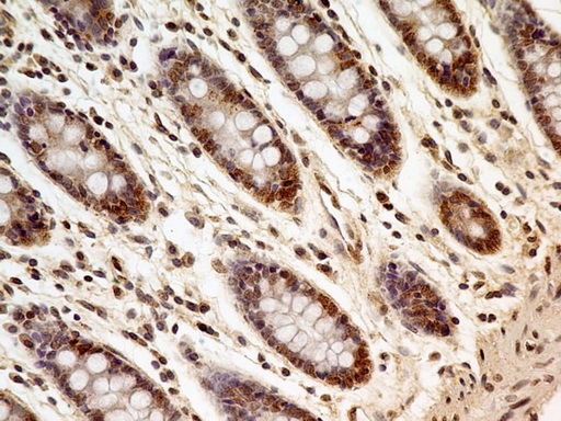
- Immunohistochemistry-Paraffin: FOXP1 Antibody (JC12) [TA336483] - IHC analysis of formalin-fixed paraffin-embedded tissue section of human normal colon using mouse monoclonal FOXP1 antibody (clone JC12) at 5 ug/ml concentration. Most of the cells depicted
- Validation comment
- IHC
- Submitted by
- OriGene (provider)
- Main image

- Experimental details
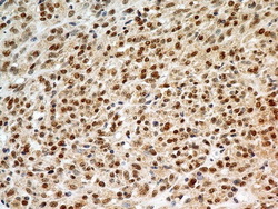
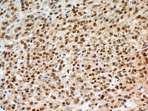
- Immunohistochemistry-Paraffin: FOXP1 Antibody (JC12) [TA336483] - IHC analysis of formalin-fixed paraffin-embedded tissue section of malignant stromal tumor of the human small bowel using mouse monoclonal FOXP1 antibody (clone JC12) at 5 ug/ml concentrati
- Validation comment
- IHC
Supportive validation
- Submitted by
- OriGene (provider)
- Main image

- Experimental details
- Flow Cytometry: FOXP1 Antibody (JC12) [TA336483] - Intracellular flow cytometric staining of 1 x 10^6 CHO (A) and HeLa (B) cells using FOXP1 antibody (dark blue). Isotype control shown in orange. An antibody concentration of 1 ug/1x10^6 cells was used.
- Validation comment
- FC