Antibody data
- Antibody Data
- Antigen structure
- References [0]
- Comments [0]
- Validations
- Western blot [2]
- ELISA [1]
- Immunohistochemistry [2]
- Flow cytometry [1]
Submit
Validation data
Reference
Comment
Report error
- Product number
- GTX60643 - Provider product page

- Provider
- GeneTex
- Product name
- FOXP1 antibody [6E4]
- Antibody type
- Monoclonal
- Reactivity
- Human
- Host
- Mouse
No comments: Submit comment
Supportive validation
- Submitted by
- GeneTex (provider)
- Main image

- Experimental details
- WB analysis of (1) HeLa, (2) Jurkat, (3) MCF-7, (4) T47D and (5) Raw264.7 lysates using FOXP1 antibody [6E4].
- Submitted by
- GeneTex (provider)
- Main image

- Experimental details
- WB analysis of human FOXP1 recombinant protein using FOXP1 antibody [6E4].
Supportive validation
- Submitted by
- GeneTex (provider)
- Main image

- Experimental details
- ELISA analysis of control antigen and antigen using FOXP1 antibody [6E4].
Supportive validation
- Submitted by
- GeneTex (provider)
- Main image

- Experimental details
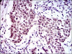
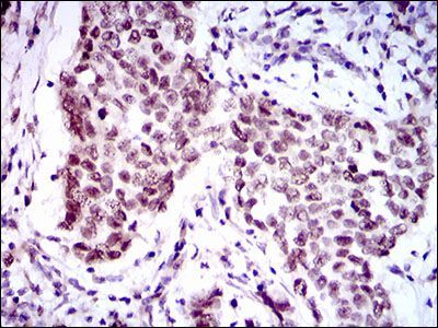
- IHC-P analysis of breast cancer tissues using FOXP1 antibody [6E4].
- Submitted by
- GeneTex (provider)
- Main image

- Experimental details
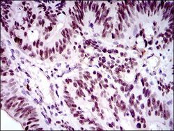
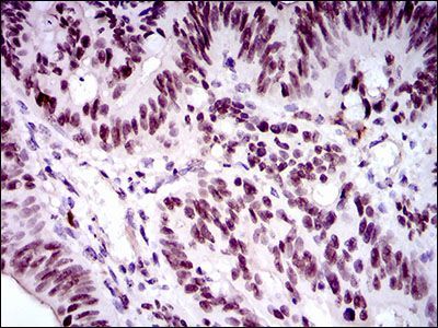
- IHC-P analysis of rectum cancer tissues using FOXP1 antibody [6E4].
Supportive validation
- Submitted by
- GeneTex (provider)
- Main image

- Experimental details
- FACS analysis of Jurkat cells using FOXP1 antibody [6E4] (green) or a negative control (red).