BBA10
antibody from R&D Systems
Targeting: CD44
CD44R, CSPG8, HCELL, IN, MC56, MDU2, MDU3, MIC4, Pgp1
Antibody data
- Antibody Data
- Antigen structure
- References [21]
- Comments [0]
- Validations
- Western blot [2]
- Immunohistochemistry [1]
Submit
Validation data
Reference
Comment
Report error
- Product number
- BBA10 - Provider product page

- Provider
- R&D Systems
- Product name
- Human CD44s Pan Specific Antibody
- Antibody type
- Monoclonal
- Description
- Protein A or G purified from ascites. Detects human CD44s on a panel of CD44 transfected COS cells by flow cytometry (Fox, S.B. et al. (1994) Cancer Res. 54:4539). This antibody recognizes an epitope in the invariant N-terminal region of all CD44 protein isoforms.
- Reactivity
- Human
- Host
- Mouse
- Conjugate
- Unconjugated
- Isotype
- IgG
- Antibody clone number
- 2C5
- Vial size
- 200 ug
- Concentration
- LYOPH
- Storage
- Use a manual defrost freezer and avoid repeated freeze-thaw cycles. 12 months from date of receipt, -20 to -70 °C as supplied. 1 month, 2 to 8 °C under sterile conditions after reconstitution. 6 months, -20 to -70 °C under sterile conditions after reconstitution.
Submitted references Fluoxetine induces direct inhibitory effects on mesenchymal stem cell‑derived osteoprogenitor cells independent of serotonin concentration.
The Deubiquitylase OTUB1 Mediates Ferroptosis via Stabilization of SLC7A11.
Secondary lymphoid organ fibroblastic reticular cells mediate trans-infection of HIV-1 via CD44-hyaluronan interactions.
Optimizing human Treg immunotherapy by Treg subset selection and E-selectin ligand expression.
Cell-Specific Variation in E-Selectin Ligand Expression among Human Peripheral Blood Mononuclear Cells: Implications for Immunosurveillance and Pathobiology.
Akt Signaling Is Sustained by a CD44 Splice Isoform-Mediated Positive Feedback Loop.
Glycoengineering of E-Selectin Ligands by Intracellular versus Extracellular Fucosylation Differentially Affects Osteotropism of Human Mesenchymal Stem Cells.
Inhibiting the SUMO Pathway Represses the Cancer Stem Cell Population in Breast and Colorectal Carcinomas.
PiggyBac transposon-mediated gene delivery efficiently generates stable transfectants derived from cultured primary human deciduous tooth dental pulp cells (HDDPCs) and HDDPC-derived iPS cells.
Quantitative Characterization of E-selectin Interaction with Native CD44 and P-selectin Glycoprotein Ligand-1 (PSGL-1) Using a Real Time Immunoprecipitation-based Binding Assay.
Coexpression of EpCAM, CD44 variant isoforms and claudin-7 in anaplastic thyroid carcinoma.
MIF inhibits monocytic movement through a non-canonical receptor and disruption of temporal Rho GTPase activities in U-937 cells.
CD26 expression on T-anaplastic large cell lymphoma (ALCL) line Karpas 299 is associated with increased expression of versican and MT1-MMP and enhanced adhesion.
KCa3.1 and TRPM7 channels at the uropod regulate migration of activated human T cells.
Increased NOS2 predicts poor survival in estrogen receptor-negative breast cancer patients.
Synovial sarcoma is a stem cell malignancy.
Anticancer chemotherapy inhibits MHC class I-related chain a ectodomain shedding by downregulating ADAM10 expression in hepatocellular carcinoma.
The E-selectin ligand basigin/CD147 is responsible for neutrophil recruitment in renal ischemia/reperfusion.
Inflammatory cytokines stimulate the adhesion of colon carcinoma cells to mesothelial monolayers.
Cortactin underpins CD44-promoted invasion and adhesion of breast cancer cells to bone marrow endothelial cells.
CD44 potentiates the adherence of metastatic prostate and breast cancer cells to bone marrow endothelial cells.
Koura SM, Salama M, El-Hussiny M, Khalil MEA, Lotfy A, Hassan SA, Gad Elhak SA, Sobh MA
Molecular medicine reports 2019 Apr;19(4):2611-2619
Molecular medicine reports 2019 Apr;19(4):2611-2619
The Deubiquitylase OTUB1 Mediates Ferroptosis via Stabilization of SLC7A11.
Liu T, Jiang L, Tavana O, Gu W
Cancer research 2019 Apr 15;79(8):1913-1924
Cancer research 2019 Apr 15;79(8):1913-1924
Secondary lymphoid organ fibroblastic reticular cells mediate trans-infection of HIV-1 via CD44-hyaluronan interactions.
Murakami T, Kim J, Li Y, Green GE, Shikanov A, Ono A
Nature communications 2018 Jun 22;9(1):2436
Nature communications 2018 Jun 22;9(1):2436
Optimizing human Treg immunotherapy by Treg subset selection and E-selectin ligand expression.
Donnelly C, Dykstra B, Mondal N, Huang J, Kaskow BJ, Griffin R, Sackstein R, Baecher-Allan C
Scientific reports 2018 Jan 11;8(1):420
Scientific reports 2018 Jan 11;8(1):420
Cell-Specific Variation in E-Selectin Ligand Expression among Human Peripheral Blood Mononuclear Cells: Implications for Immunosurveillance and Pathobiology.
Silva M, Fung RKF, Donnelly CB, Videira PA, Sackstein R
Journal of immunology (Baltimore, Md. : 1950) 2017 May 1;198(9):3576-3587
Journal of immunology (Baltimore, Md. : 1950) 2017 May 1;198(9):3576-3587
Akt Signaling Is Sustained by a CD44 Splice Isoform-Mediated Positive Feedback Loop.
Liu S, Cheng C
Cancer research 2017 Jul 15;77(14):3791-3801
Cancer research 2017 Jul 15;77(14):3791-3801
Glycoengineering of E-Selectin Ligands by Intracellular versus Extracellular Fucosylation Differentially Affects Osteotropism of Human Mesenchymal Stem Cells.
Dykstra B, Lee J, Mortensen LJ, Yu H, Wu ZL, Lin CP, Rossi DJ, Sackstein R
Stem cells (Dayton, Ohio) 2016 Oct;34(10):2501-2511
Stem cells (Dayton, Ohio) 2016 Oct;34(10):2501-2511
Inhibiting the SUMO Pathway Represses the Cancer Stem Cell Population in Breast and Colorectal Carcinomas.
Bogachek MV, Park JM, De Andrade JP, Lorenzen AW, Kulak MV, White JR, Gu VW, Wu VT, Weigel RJ
Stem cell reports 2016 Dec 13;7(6):1140-1151
Stem cell reports 2016 Dec 13;7(6):1140-1151
PiggyBac transposon-mediated gene delivery efficiently generates stable transfectants derived from cultured primary human deciduous tooth dental pulp cells (HDDPCs) and HDDPC-derived iPS cells.
Inada E, Saitoh I, Watanabe S, Aoki R, Miura H, Ohtsuka M, Murakami T, Sawami T, Yamasaki Y, Sato M
International journal of oral science 2015 Sep 14;7(3):144-54
International journal of oral science 2015 Sep 14;7(3):144-54
Quantitative Characterization of E-selectin Interaction with Native CD44 and P-selectin Glycoprotein Ligand-1 (PSGL-1) Using a Real Time Immunoprecipitation-based Binding Assay.
AbuSamra DB, Al-Kilani A, Hamdan SM, Sakashita K, Gadhoum SZ, Merzaban JS
The Journal of biological chemistry 2015 Aug 28;290(35):21213-30
The Journal of biological chemistry 2015 Aug 28;290(35):21213-30
Coexpression of EpCAM, CD44 variant isoforms and claudin-7 in anaplastic thyroid carcinoma.
Okada T, Nakamura T, Watanabe T, Onoda N, Ashida A, Okuyama R, Ito K
PloS one 2014;9(4):e94487
PloS one 2014;9(4):e94487
MIF inhibits monocytic movement through a non-canonical receptor and disruption of temporal Rho GTPase activities in U-937 cells.
DiCosmo-Ponticello CJ, Hoover D, Coffman FD, Cohen S, Cohen MC
Cytokine 2014 Sep;69(1):47-55
Cytokine 2014 Sep;69(1):47-55
CD26 expression on T-anaplastic large cell lymphoma (ALCL) line Karpas 299 is associated with increased expression of versican and MT1-MMP and enhanced adhesion.
Havre PA, Dang LH, Ohnuma K, Iwata S, Morimoto C, Dang NH
BMC cancer 2013 Nov 1;13:517
BMC cancer 2013 Nov 1;13:517
KCa3.1 and TRPM7 channels at the uropod regulate migration of activated human T cells.
Kuras Z, Yun YH, Chimote AA, Neumeier L, Conforti L
PloS one 2012;7(8):e43859
PloS one 2012;7(8):e43859
Increased NOS2 predicts poor survival in estrogen receptor-negative breast cancer patients.
Glynn SA, Boersma BJ, Dorsey TH, Yi M, Yfantis HG, Ridnour LA, Martin DN, Switzer CH, Hudson RS, Wink DA, Lee DH, Stephens RM, Ambs S
The Journal of clinical investigation 2010 Nov;120(11):3843-54
The Journal of clinical investigation 2010 Nov;120(11):3843-54
Synovial sarcoma is a stem cell malignancy.
Naka N, Takenaka S, Araki N, Miwa T, Hashimoto N, Yoshioka K, Joyama S, Hamada K, Tsukamoto Y, Tomita Y, Ueda T, Yoshikawa H, Itoh K
Stem cells (Dayton, Ohio) 2010 Jul;28(7):1119-31
Stem cells (Dayton, Ohio) 2010 Jul;28(7):1119-31
Anticancer chemotherapy inhibits MHC class I-related chain a ectodomain shedding by downregulating ADAM10 expression in hepatocellular carcinoma.
Kohga K, Takehara T, Tatsumi T, Miyagi T, Ishida H, Ohkawa K, Kanto T, Hiramatsu N, Hayashi N
Cancer research 2009 Oct 15;69(20):8050-7
Cancer research 2009 Oct 15;69(20):8050-7
The E-selectin ligand basigin/CD147 is responsible for neutrophil recruitment in renal ischemia/reperfusion.
Kato N, Yuzawa Y, Kosugi T, Hobo A, Sato W, Miwa Y, Sakamoto K, Matsuo S, Kadomatsu K
Journal of the American Society of Nephrology : JASN 2009 Jul;20(7):1565-76
Journal of the American Society of Nephrology : JASN 2009 Jul;20(7):1565-76
Inflammatory cytokines stimulate the adhesion of colon carcinoma cells to mesothelial monolayers.
van Grevenstein WM, Hofland LJ, van Rossen ME, van Koetsveld PM, Jeekel J, van Eijck CH
Digestive diseases and sciences 2007 Oct;52(10):2775-83
Digestive diseases and sciences 2007 Oct;52(10):2775-83
Cortactin underpins CD44-promoted invasion and adhesion of breast cancer cells to bone marrow endothelial cells.
Hill A, McFarlane S, Mulligan K, Gillespie H, Draffin JE, Trimble A, Ouhtit A, Johnston PG, Harkin DP, McCormick D, Waugh DJ
Oncogene 2006 Oct 5;25(45):6079-91
Oncogene 2006 Oct 5;25(45):6079-91
CD44 potentiates the adherence of metastatic prostate and breast cancer cells to bone marrow endothelial cells.
Draffin JE, McFarlane S, Hill A, Johnston PG, Waugh DJ
Cancer research 2004 Aug 15;64(16):5702-11
Cancer research 2004 Aug 15;64(16):5702-11
No comments: Submit comment
Supportive validation
- Submitted by
- R&D Systems (provider)
- Main image

- Experimental details
- Detection of Human CD44 by Simple WesternTM. Simple Western lane view shows lysates of human tonsil tissue, loaded at 0.2 mg/mL. A specific band was detected for CD44 at approximately 156 kDa (as indicated) using 20 µg/mL of Mouse Anti-Human CD44 s Pan Specific Monoclonal Antibody (Catalog # BBA10) . This experiment was conducted under reducing conditions and using the 12-230 kDa separation system.
- Submitted by
- R&D Systems (provider)
- Main image

- Experimental details
- Detection of Human CD44 by Western Blot. Western blot shows lysates of PC-3 human prostate cancer cell line and human tonsil tissue. PVDF membrane was probed with 2 µg/mL of Mouse Anti-Human CD44 s Pan Specific Monoclonal Antibody (Catalog # BBA10) followed by HRP-conjugated Anti-Mouse IgG Secondary Antibody (Catalog # HAF018). A specific band was detected for CD44 at approximately 90 kDa (as indicated). This experiment was conducted under reducing conditions and using Immunoblot Buffer Group 1.
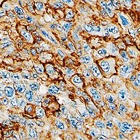
Supportive validation
- Submitted by
- R&D Systems (provider)
- Main image

- Experimental details
- CD44 in Human Lymphoma. CD44 was detected in immersion fixed paraffin-embedded sections of human lymphoma using Mouse Anti-Human CD44 s Pan Specific Monoclonal Antibody (Catalog # BBA10) at 15 µg/mL overnight at 4 °C. Tissue was stained using the Anti-Mouse HRP-DAB Cell & Tissue Staining Kit (brown; Catalog # CTS002) and counterstained with hematoxylin (blue). Specific staining was localized to plasma membrane. View our protocol for Chromogenic IHC Staining of Paraffin-embedded Tissue Sections.