GTX628472
antibody from GeneTex
Targeting: CD44
CD44R, CSPG8, HCELL, IN, MC56, MDU2, MDU3, MIC4, Pgp1
Antibody data
- Antibody Data
- Antigen structure
- References [4]
- Comments [0]
- Validations
- Western blot [4]
- Immunocytochemistry [1]
- Immunohistochemistry [1]
Submit
Validation data
Reference
Comment
Report error
- Product number
- GTX628472 - Provider product page

- Provider
- GeneTex
- Product name
- CD44 antibody [GT981]
- Antibody type
- Monoclonal
- Reactivity
- Human, Mouse
- Host
- Mouse
Submitted references A high-throughput pipeline for validation of antibodies.
Prostaglandin E2 secreted from feline adipose tissue-derived mesenchymal stem cells alleviate DSS-induced colitis by increasing regulatory T cells in mice.
The reciprocal regulation loop of Notch2 pathway and miR-23b in controlling gastric carcinogenesis.
Adipose-derived stem cells from the breast.
Sikorski K, Mehta A, Inngjerdingen M, Thakor F, Kling S, Kalina T, Nyman TA, Stensland ME, Zhou W, de Souza GA, Holden L, Stuchly J, Templin M, Lund-Johansen F
Nature methods 2018 Nov;15(11):909-912
Nature methods 2018 Nov;15(11):909-912
Prostaglandin E2 secreted from feline adipose tissue-derived mesenchymal stem cells alleviate DSS-induced colitis by increasing regulatory T cells in mice.
An JH, Song WJ, Li Q, Kim SM, Yang JI, Ryu MO, Nam AR, Bhang DH, Jung YC, Youn HY
BMC veterinary research 2018 Nov 20;14(1):354
BMC veterinary research 2018 Nov 20;14(1):354
The reciprocal regulation loop of Notch2 pathway and miR-23b in controlling gastric carcinogenesis.
Huang TT, Ping YH, Wang AM, Ke CC, Fang WL, Huang KH, Lee HC, Chi CW, Yeh TS
Oncotarget 2015 Jul 20;6(20):18012-26
Oncotarget 2015 Jul 20;6(20):18012-26
Adipose-derived stem cells from the breast.
Yang J, Xiong L, Wang R, Sun J, Hirche C
Journal of research in medical sciences : the official journal of Isfahan University of Medical Sciences 2014 Feb;19(2):112-6
Journal of research in medical sciences : the official journal of Isfahan University of Medical Sciences 2014 Feb;19(2):112-6
No comments: Submit comment
Supportive validation
- Submitted by
- GeneTex (provider)
- Main image

- Experimental details
- CD44 antibody [GT981] detects CD44 protein by Western blot analysis.A. 30 ?g H1299 whole cell lysate/extract10 % SDS-PAGECD44 antibody [GT981] (GTX628472) dilution: 1:500
- Submitted by
- GeneTex (provider)
- Main image

- Experimental details
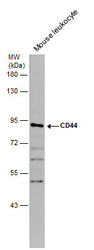
- Mouse tissue extract (50 £gg) was separated by 7.5% SDS-PAGE, and the membrane was blotted with CD44 antibody [GT981] (GTX628472) diluted at 1:500. The signal was developed with Trident ECL plus-Enhanced.
- Submitted by
- GeneTex (provider)
- Main image

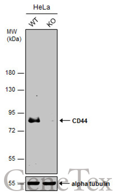
- Experimental details
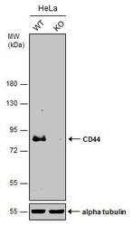
- Wild-type (WT) and CD44 knockout (KO) HeLa cell extracts (30 ?g) were separated by 7.5% SDS-PAGE, and the membrane was blotted with CD44 antibody [GT981] (GTX628472) diluted at 1:500.
- Submitted by
- GeneTex (provider)
- Main image

- Experimental details
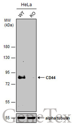
- Wild-type (WT) and CD44 knockout (KO) HeLa cell extracts (30 ?g) were separated by 7.5% SDS-PAGE, and the membrane was blotted with CD44 antibody [GT981] (GTX628472) diluted at 1:500.
Supportive validation
- Submitted by
- GeneTex (provider)
- Main image

- Experimental details
- CD44 antibody [GT981] detects CD44 protein at membrane by confocal immunofluorescent analysis. Sample: A431 cells were fixed in ice-cold MeOH for 5 min.Green: CD44 protein stained by CD44 antibody [GT981] (GTX628472) diluted at 1:500.Blue: Hoechst 33342 staining.[Images captured by Olympus FV10i Confocal Laser Scanning Microscope]
Supportive validation
- Submitted by
- GeneTex (provider)
- Main image

- Experimental details
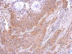
- CD44 antibody [GT981] detects CD44 protein at cytosol and membrane on Cal27 xenograft by immunohistochemical analysis. Sample: Paraffin-embedded Cal27 xenograft. CD44 antibody [GT981] (GTX628472) dilution: 1:200.