MA5-13887
antibody from Invitrogen Antibodies
Targeting: CD44
CD44R, CSPG8, HCELL, IN, MC56, MDU2, MDU3, MIC4, Pgp1
Antibody data
- Antibody Data
- Antigen structure
- References [45]
- Comments [0]
- Validations
- Western blot [1]
- Immunocytochemistry [2]
- Immunohistochemistry [2]
- Other assay [2]
Submit
Validation data
Reference
Comment
Report error
- Product number
- MA5-13887 - Provider product page

- Provider
- Invitrogen Antibodies
- Product name
- CD44 Monoclonal Antibody (156-3C11), Biotin
- Antibody type
- Monoclonal
- Antigen
- Other
- Description
- MA5-13887 targets CD44 in FACS, IHC (P), IP, ICC/IF and WB applications and shows reactivity with Human and Non-human primate samples.
- Conjugate
- Biotin
- Antibody clone number
- 156-3C11
- Concentration
- 0.2 mg/mL
Submitted references Isolation and characterization of cancer stem cells from high-grade serous ovarian carcinomas.
Y-box-binding protein 1 (YB1) in breast carcinomas: relation to aggressive tumor phenotype and identification of patients at high risk for relapse.
Genetic and phenotypic diversity in breast tumor metastases.
CD44/CD24 as potential prognostic markers in node-positive invasive ductal breast cancer patients treated with adjuvant chemotherapy.
Triple negative breast tumors in African-American and Hispanic/Latina women are high in CD44+, low in CD24+, and have loss of PTEN.
Estrogen switches pure mucinous breast cancer to invasive lobular carcinoma with mucinous features.
Histological and prognostic importance of CD44(+) /CD24(+) /EpCAM(+) expression in clinical pancreatic cancer.
Immunohistochemical detection of breast cancer stem cells in hormone receptor-positive breast cancer and their role in response to endocrine therapy and clinical outcome.
Overexpression of CD44 accompanies acquired tamoxifen resistance in MCF7 cells and augments their sensitivity to the stromal factors, heregulin and hyaluronan.
CD44 is associated with tumor recurrence and is an independent poor prognostic factor for patients with localized clear cell renal cell carcinoma after nephrectomy.
Neoadjuvant chemotherapy with gemcitabine for pancreatic cancer increases in situ expression of the apoptosis marker M30 and stem cell marker CD44.
Epigenetic regulation of cancer stem cell genes in triple-negative breast cancer.
The critical role of CD133(+)CD44(+/high) tumor cells in hematogenous metastasis of liver cancers.
Expression of CD44 and MMP-2: possible association with histopathological features of pleuro-pulmonary solitary fibrous tumors.
A comprehensive characterization study of human bone marrow mscs with an emphasis on molecular and ultrastructural properties.
An increase in cancer stem cell population after primary systemic therapy is a poor prognostic factor in breast cancer.
The JAK2/STAT3 signaling pathway is required for growth of CD44⁺CD24⁻ stem cell-like breast cancer cells in human tumors.
Novel immunofluorescence protocol for multimarker assessment of putative disseminating breast cancer stem cells.
Role of versican, hyaluronan and CD44 in ovarian cancer metastasis.
Aggressive progression of breast cancer with microscopic pulmonary emboli possessing a stem cell-like phenotype independent of its origin.
Simple karyotype and bcl-6 expression predict a diagnosis of Burkitt lymphoma and better survival in IG-MYC rearranged high-grade B-cell lymphomas.
Cellular and genetic diversity in the progression of in situ human breast carcinomas to an invasive phenotype.
TGF-β Receptor Inhibitors Target the CD44(high)/Id1(high) Glioma-Initiating Cell Population in Human Glioblastoma.
Expression of CD44s in incidental prostate cancer is more strongly associated with Gleason scores on subsequent radical prostatectomies than conventional prognostic parameters.
Human mesenchymal stem cells induce E-cadherin degradation in breast carcinoma spheroids by activating ADAM10.
Plasmablastic lymphomas with MYC/IgH rearrangement: report of three cases and review of the literature.
CD44-positive cells are responsible for gemcitabine resistance in pancreatic cancer cells.
Association of breast cancer stem cells identified by aldehyde dehydrogenase 1 expression with resistance to sequential Paclitaxel and epirubicin-based chemotherapy for breast cancers.
Identification of CD44v6(+)/CD24- breast carcinoma cells in primary human tumors by quantum dot-conjugated antibodies.
The CD44+/CD24- phenotype is enriched in basal-like breast tumors.
The clinicopathologic and prognostic significance of CD44+/CD24(-/low) and CD44-/CD24+ tumor cells in invasive breast carcinomas.
Periodontal tissue engineering by transplantation of multilayered sheets of phenotypically modified gingival fibroblasts.
Cell-surface MMP-9 regulates the invasive capacity of leukemia blast cells with monocytic features.
Cell-surface MMP-9 regulates the invasive capacity of leukemia blast cells with monocytic features.
Rare steroid receptor-negative basal-like tumorigenic cells in luminal subtype human breast cancer xenografts.
Moesin expression is a marker of basal breast carcinomas.
Estrogen insensitivity in a model of estrogen receptor positive breast cancer lymph node metastasis.
IL-6 triggers malignant features in mammospheres from human ductal breast carcinoma and normal mammary gland.
Formation of hyaluronan- and versican-rich pericellular matrix by prostate cancer cells promotes cell motility.
Estrogen receptor positive breast cancer metastasis: altered hormonal sensitivity and tumor aggressiveness in lymphatic vessels and lymph nodes.
Most early disseminated cancer cells detected in bone marrow of breast cancer patients have a putative breast cancer stem cell phenotype.
SHAP potentiates the CD44-mediated leukocyte adhesion to the hyaluronan substratum.
Downregulation of BRG-1 repressed expression of CD44s in cervical neuroendocrine carcinoma and adenocarcinoma.
Novel prognostic value of nuclear epidermal growth factor receptor in breast cancer.
Loss of CD10 (neutral endopeptidase) is a frequent and early event in human prostate cancer.
He QZ, Luo XZ, Wang K, Zhou Q, Ao H, Yang Y, Li SX, Li Y, Zhu HT, Duan T
Cellular physiology and biochemistry : international journal of experimental cellular physiology, biochemistry, and pharmacology 2014;33(1):173-84
Cellular physiology and biochemistry : international journal of experimental cellular physiology, biochemistry, and pharmacology 2014;33(1):173-84
Y-box-binding protein 1 (YB1) in breast carcinomas: relation to aggressive tumor phenotype and identification of patients at high risk for relapse.
Mylona E, Melissaris S, Giannopoulou I, Theohari I, Papadimitriou C, Keramopoulos A, Nakopoulou L
European journal of surgical oncology : the journal of the European Society of Surgical Oncology and the British Association of Surgical Oncology 2014 Mar;40(3):289-96
European journal of surgical oncology : the journal of the European Society of Surgical Oncology and the British Association of Surgical Oncology 2014 Mar;40(3):289-96
Genetic and phenotypic diversity in breast tumor metastases.
Almendro V, Kim HJ, Cheng YK, Gönen M, Itzkovitz S, Argani P, van Oudenaarden A, Sukumar S, Michor F, Polyak K
Cancer research 2014 Mar 1;74(5):1338-48
Cancer research 2014 Mar 1;74(5):1338-48
CD44/CD24 as potential prognostic markers in node-positive invasive ductal breast cancer patients treated with adjuvant chemotherapy.
Adamczyk A, Niemiec JA, Ambicka A, Mucha-Małecka A, Mituś J, Ryś J
Journal of molecular histology 2014 Feb;45(1):35-45
Journal of molecular histology 2014 Feb;45(1):35-45
Triple negative breast tumors in African-American and Hispanic/Latina women are high in CD44+, low in CD24+, and have loss of PTEN.
Wu Y, Sarkissyan M, Elshimali Y, Vadgama JV
PloS one 2013;8(10):e78259
PloS one 2013;8(10):e78259
Estrogen switches pure mucinous breast cancer to invasive lobular carcinoma with mucinous features.
Jambal P, Badtke MM, Harrell JC, Borges VF, Post MD, Sollender GE, Spillman MA, Horwitz KB, Jacobsen BM
Breast cancer research and treatment 2013 Jan;137(2):431-48
Breast cancer research and treatment 2013 Jan;137(2):431-48
Histological and prognostic importance of CD44(+) /CD24(+) /EpCAM(+) expression in clinical pancreatic cancer.
Ohara Y, Oda T, Sugano M, Hashimoto S, Enomoto T, Yamada K, Akashi Y, Miyamoto R, Kobayashi A, Fukunaga K, Morishita Y, Ohkohchi N
Cancer science 2013 Aug;104(8):1127-34
Cancer science 2013 Aug;104(8):1127-34
Immunohistochemical detection of breast cancer stem cells in hormone receptor-positive breast cancer and their role in response to endocrine therapy and clinical outcome.
Hashimoto K, Shimizu C, Tsuda H, Saji S, Osaki A, Shigekawa T, Aogi K
Oncology 2012;82(3):168-74
Oncology 2012;82(3):168-74
Overexpression of CD44 accompanies acquired tamoxifen resistance in MCF7 cells and augments their sensitivity to the stromal factors, heregulin and hyaluronan.
Hiscox S, Baruha B, Smith C, Bellerby R, Goddard L, Jordan N, Poghosyan Z, Nicholson RI, Barrett-Lee P, Gee J
BMC cancer 2012 Oct 6;12:458
BMC cancer 2012 Oct 6;12:458
CD44 is associated with tumor recurrence and is an independent poor prognostic factor for patients with localized clear cell renal cell carcinoma after nephrectomy.
Jeong BJ, Liang ZL, Huang SM, Lim JS, Kim JM, Lee HJ
Experimental and therapeutic medicine 2012 May;3(5):811-817
Experimental and therapeutic medicine 2012 May;3(5):811-817
Neoadjuvant chemotherapy with gemcitabine for pancreatic cancer increases in situ expression of the apoptosis marker M30 and stem cell marker CD44.
Tajima H, Ohta T, Kitagawa H, Okamoto K, Sakai S, Kinoshita J, Makino I, Furukawa H, Hayashi H, Nakamura K, Oyama K, Inokuchi M, Nakagawara H, Fujita H, Takamura H, Ninomiya I, Fushida S, Tani T, Fujimura T, Kitamura S, Ikeda H, Tsuneyama K
Oncology letters 2012 Jun;3(6):1186-1190
Oncology letters 2012 Jun;3(6):1186-1190
Epigenetic regulation of cancer stem cell genes in triple-negative breast cancer.
Kagara N, Huynh KT, Kuo C, Okano H, Sim MS, Elashoff D, Chong K, Giuliano AE, Hoon DS
The American journal of pathology 2012 Jul;181(1):257-67
The American journal of pathology 2012 Jul;181(1):257-67
The critical role of CD133(+)CD44(+/high) tumor cells in hematogenous metastasis of liver cancers.
Hou Y, Zou Q, Ge R, Shen F, Wang Y
Cell research 2012 Jan;22(1):259-72
Cell research 2012 Jan;22(1):259-72
Expression of CD44 and MMP-2: possible association with histopathological features of pleuro-pulmonary solitary fibrous tumors.
Demırağ F, Cakir E, Alpar S, Taştepe I, Kaya S
Turk patoloji dergisi 2011 May;27(2):127-33
Turk patoloji dergisi 2011 May;27(2):127-33
A comprehensive characterization study of human bone marrow mscs with an emphasis on molecular and ultrastructural properties.
Karaöz E, Okçu A, Gacar G, Sağlam O, Yürüker S, Kenar H
Journal of cellular physiology 2011 May;226(5):1367-82
Journal of cellular physiology 2011 May;226(5):1367-82
An increase in cancer stem cell population after primary systemic therapy is a poor prognostic factor in breast cancer.
Lee HE, Kim JH, Kim YJ, Choi SY, Kim SW, Kang E, Chung IY, Kim IA, Kim EJ, Choi Y, Ryu HS, Park SY
British journal of cancer 2011 May 24;104(11):1730-8
British journal of cancer 2011 May 24;104(11):1730-8
The JAK2/STAT3 signaling pathway is required for growth of CD44⁺CD24⁻ stem cell-like breast cancer cells in human tumors.
Marotta LL, Almendro V, Marusyk A, Shipitsin M, Schemme J, Walker SR, Bloushtain-Qimron N, Kim JJ, Choudhury SA, Maruyama R, Wu Z, Gönen M, Mulvey LA, Bessarabova MO, Huh SJ, Silver SJ, Kim SY, Park SY, Lee HE, Anderson KS, Richardson AL, Nikolskaya T, Nikolsky Y, Liu XS, Root DE, Hahn WC, Frank DA, Polyak K
The Journal of clinical investigation 2011 Jul;121(7):2723-35
The Journal of clinical investigation 2011 Jul;121(7):2723-35
Novel immunofluorescence protocol for multimarker assessment of putative disseminating breast cancer stem cells.
Balic M, Rapp N, Stanzer S, Lin H, Strutz J, Szkandera J, Daidone MG, Samonigg H, Cote RJ, Dandachi N
Applied immunohistochemistry & molecular morphology : AIMM 2011 Jan;19(1):33-40
Applied immunohistochemistry & molecular morphology : AIMM 2011 Jan;19(1):33-40
Role of versican, hyaluronan and CD44 in ovarian cancer metastasis.
Ween MP, Oehler MK, Ricciardelli C
International journal of molecular sciences 2011 Jan 31;12(2):1009-29
International journal of molecular sciences 2011 Jan 31;12(2):1009-29
Aggressive progression of breast cancer with microscopic pulmonary emboli possessing a stem cell-like phenotype independent of its origin.
Kawasaki H, Ogura H, Arai Y, Baba S, Kosugi I, Tsutsui Y, Iwashita T
Pathology international 2010 Mar;60(3):228-34
Pathology international 2010 Mar;60(3):228-34
Simple karyotype and bcl-6 expression predict a diagnosis of Burkitt lymphoma and better survival in IG-MYC rearranged high-grade B-cell lymphomas.
Seegmiller AC, Garcia R, Huang R, Maleki A, Karandikar NJ, Chen W
Modern pathology : an official journal of the United States and Canadian Academy of Pathology, Inc 2010 Jul;23(7):909-20
Modern pathology : an official journal of the United States and Canadian Academy of Pathology, Inc 2010 Jul;23(7):909-20
Cellular and genetic diversity in the progression of in situ human breast carcinomas to an invasive phenotype.
Park SY, Gönen M, Kim HJ, Michor F, Polyak K
The Journal of clinical investigation 2010 Feb;120(2):636-44
The Journal of clinical investigation 2010 Feb;120(2):636-44
TGF-β Receptor Inhibitors Target the CD44(high)/Id1(high) Glioma-Initiating Cell Population in Human Glioblastoma.
Anido J, Sáez-Borderías A, Gonzàlez-Juncà A, Rodón L, Folch G, Carmona MA, Prieto-Sánchez RM, Barba I, Martínez-Sáez E, Prudkin L, Cuartas I, Raventós C, Martínez-Ricarte F, Poca MA, García-Dorado D, Lahn MM, Yingling JM, Rodón J, Sahuquillo J, Baselga J, Seoane J
Cancer cell 2010 Dec 14;18(6):655-68
Cancer cell 2010 Dec 14;18(6):655-68
Expression of CD44s in incidental prostate cancer is more strongly associated with Gleason scores on subsequent radical prostatectomies than conventional prognostic parameters.
Gunia S, May M, Koch S, Dietel M, Erbersdobler A
Pathobiology : journal of immunopathology, molecular and cellular biology 2009;76(6):286-92
Pathobiology : journal of immunopathology, molecular and cellular biology 2009;76(6):286-92
Human mesenchymal stem cells induce E-cadherin degradation in breast carcinoma spheroids by activating ADAM10.
Dittmer A, Hohlfeld K, Lützkendorf J, Müller LP, Dittmer J
Cellular and molecular life sciences : CMLS 2009 Sep;66(18):3053-65
Cellular and molecular life sciences : CMLS 2009 Sep;66(18):3053-65
Plasmablastic lymphomas with MYC/IgH rearrangement: report of three cases and review of the literature.
Bogusz AM, Seegmiller AC, Garcia R, Shang P, Ashfaq R, Chen W
American journal of clinical pathology 2009 Oct;132(4):597-605
American journal of clinical pathology 2009 Oct;132(4):597-605
CD44-positive cells are responsible for gemcitabine resistance in pancreatic cancer cells.
Hong SP, Wen J, Bang S, Park S, Song SY
International journal of cancer 2009 Nov 15;125(10):2323-31
International journal of cancer 2009 Nov 15;125(10):2323-31
Association of breast cancer stem cells identified by aldehyde dehydrogenase 1 expression with resistance to sequential Paclitaxel and epirubicin-based chemotherapy for breast cancers.
Tanei T, Morimoto K, Shimazu K, Kim SJ, Tanji Y, Taguchi T, Tamaki Y, Noguchi S
Clinical cancer research : an official journal of the American Association for Cancer Research 2009 Jun 15;15(12):4234-41
Clinical cancer research : an official journal of the American Association for Cancer Research 2009 Jun 15;15(12):4234-41
Identification of CD44v6(+)/CD24- breast carcinoma cells in primary human tumors by quantum dot-conjugated antibodies.
Snyder EL, Bailey D, Shipitsin M, Polyak K, Loda M
Laboratory investigation; a journal of technical methods and pathology 2009 Aug;89(8):857-66
Laboratory investigation; a journal of technical methods and pathology 2009 Aug;89(8):857-66
The CD44+/CD24- phenotype is enriched in basal-like breast tumors.
Honeth G, Bendahl PO, Ringnér M, Saal LH, Gruvberger-Saal SK, Lövgren K, Grabau D, Fernö M, Borg A, Hegardt C
Breast cancer research : BCR 2008;10(3):R53
Breast cancer research : BCR 2008;10(3):R53
The clinicopathologic and prognostic significance of CD44+/CD24(-/low) and CD44-/CD24+ tumor cells in invasive breast carcinomas.
Mylona E, Giannopoulou I, Fasomytakis E, Nomikos A, Magkou C, Bakarakos P, Nakopoulou L
Human pathology 2008 Jul;39(7):1096-102
Human pathology 2008 Jul;39(7):1096-102
Periodontal tissue engineering by transplantation of multilayered sheets of phenotypically modified gingival fibroblasts.
Nakajima K, Abe T, Tanaka M, Hara Y
Journal of periodontal research 2008 Dec;43(6):681-8
Journal of periodontal research 2008 Dec;43(6):681-8
Cell-surface MMP-9 regulates the invasive capacity of leukemia blast cells with monocytic features.
Paupert J, Mansat-De Mas V, Demur C, Salles B, Muller C
Cell cycle (Georgetown, Tex.) 2008 Apr 15;7(8):1047-53
Cell cycle (Georgetown, Tex.) 2008 Apr 15;7(8):1047-53
Cell-surface MMP-9 regulates the invasive capacity of leukemia blast cells with monocytic features.
Paupert J, Mansat-De Mas V, Demur C, Salles B, Muller C
Cell cycle (Georgetown, Tex.) 2008 Apr 15;7(8):1047-53
Cell cycle (Georgetown, Tex.) 2008 Apr 15;7(8):1047-53
Rare steroid receptor-negative basal-like tumorigenic cells in luminal subtype human breast cancer xenografts.
Horwitz KB, Dye WW, Harrell JC, Kabos P, Sartorius CA
Proceedings of the National Academy of Sciences of the United States of America 2008 Apr 15;105(15):5774-9
Proceedings of the National Academy of Sciences of the United States of America 2008 Apr 15;105(15):5774-9
Moesin expression is a marker of basal breast carcinomas.
Charafe-Jauffret E, Monville F, Bertucci F, Esterni B, Ginestier C, Finetti P, Cervera N, Geneix J, Hassanein M, Rabayrol L, Sobol H, Taranger-Charpin C, Xerri L, Viens P, Birnbaum D, Jacquemier J
International journal of cancer 2007 Oct 15;121(8):1779-85
International journal of cancer 2007 Oct 15;121(8):1779-85
Estrogen insensitivity in a model of estrogen receptor positive breast cancer lymph node metastasis.
Harrell JC, Dye WW, Harvell DM, Pinto M, Jedlicka P, Sartorius CA, Horwitz KB
Cancer research 2007 Nov 1;67(21):10582-91
Cancer research 2007 Nov 1;67(21):10582-91
IL-6 triggers malignant features in mammospheres from human ductal breast carcinoma and normal mammary gland.
Sansone P, Storci G, Tavolari S, Guarnieri T, Giovannini C, Taffurelli M, Ceccarelli C, Santini D, Paterini P, Marcu KB, Chieco P, Bonafè M
The Journal of clinical investigation 2007 Dec;117(12):3988-4002
The Journal of clinical investigation 2007 Dec;117(12):3988-4002
Formation of hyaluronan- and versican-rich pericellular matrix by prostate cancer cells promotes cell motility.
Ricciardelli C, Russell DL, Ween MP, Mayne K, Suwiwat S, Byers S, Marshall VR, Tilley WD, Horsfall DJ
The Journal of biological chemistry 2007 Apr 6;282(14):10814-25
The Journal of biological chemistry 2007 Apr 6;282(14):10814-25
Estrogen receptor positive breast cancer metastasis: altered hormonal sensitivity and tumor aggressiveness in lymphatic vessels and lymph nodes.
Harrell JC, Dye WW, Allred DC, Jedlicka P, Spoelstra NS, Sartorius CA, Horwitz KB
Cancer research 2006 Sep 15;66(18):9308-15
Cancer research 2006 Sep 15;66(18):9308-15
Most early disseminated cancer cells detected in bone marrow of breast cancer patients have a putative breast cancer stem cell phenotype.
Balic M, Lin H, Young L, Hawes D, Giuliano A, McNamara G, Datar RH, Cote RJ
Clinical cancer research : an official journal of the American Association for Cancer Research 2006 Oct 1;12(19):5615-21
Clinical cancer research : an official journal of the American Association for Cancer Research 2006 Oct 1;12(19):5615-21
SHAP potentiates the CD44-mediated leukocyte adhesion to the hyaluronan substratum.
Zhuo L, Kanamori A, Kannagi R, Itano N, Wu J, Hamaguchi M, Ishiguro N, Kimata K
The Journal of biological chemistry 2006 Jul 21;281(29):20303-14
The Journal of biological chemistry 2006 Jul 21;281(29):20303-14
Downregulation of BRG-1 repressed expression of CD44s in cervical neuroendocrine carcinoma and adenocarcinoma.
Kuo KT, Liang CW, Hsiao CH, Lin CH, Chen CA, Sheu BC, Lin MC
Modern pathology : an official journal of the United States and Canadian Academy of Pathology, Inc 2006 Dec;19(12):1570-7
Modern pathology : an official journal of the United States and Canadian Academy of Pathology, Inc 2006 Dec;19(12):1570-7
Novel prognostic value of nuclear epidermal growth factor receptor in breast cancer.
Lo HW, Xia W, Wei Y, Ali-Seyed M, Huang SF, Hung MC
Cancer research 2005 Jan 1;65(1):338-48
Cancer research 2005 Jan 1;65(1):338-48
Loss of CD10 (neutral endopeptidase) is a frequent and early event in human prostate cancer.
Freedland SJ, Seligson DB, Liu AY, Pantuck AJ, Paik SH, Horvath S, Wieder JA, Zisman A, Nguyen D, Tso CL, Palotie AV, Belldegrun AS
The Prostate 2003 Apr 1;55(1):71-80
The Prostate 2003 Apr 1;55(1):71-80
No comments: Submit comment
Supportive validation
- Submitted by
- Invitrogen Antibodies (provider)
- Main image

- Experimental details
- Western blot of CD44 Std using CD44 Std Monoclonal Antibody (Product # MA5-13887) on HUVEC Cells.
- Conjugate
- Biotin
Supportive validation
- Submitted by
- Invitrogen Antibodies (provider)
- Main image

- Experimental details
- Immunofluorescent analysis of CD44 Std (green) showing staining in the membrane of Hela cells (right) compared to a negative control without primary antibody (left). Formalin-fixed cells were permeabilized with 0.1% Triton X-100 in TBS for 5-10 minutes and blocked with 3% BSA-PBS for 30 minutes at room temperature. Cells were probed with a CD44 Std monoclonal antibody (Product # MA5-13890) in 3% BSA-PBS at a dilution of 1:100 and incubated overnight at 4 ºC in a humidified chamber. Cells were washed with PBST and incubated with a DyLight-conjugated secondary antibody in PBS at room temperature in the dark. F-actin (red) was stained with a fluorescent red phalloidin and nuclei (blue) were stained with Hoechst or DAPI. Images were taken at a magnification of 60x.
- Conjugate
- Biotin
- Submitted by
- Invitrogen Antibodies (provider)
- Main image

- Experimental details
- Immunofluorescent analysis of CD44 Std (green) showing staining in the membrane of MDA-MB-231 cells (right) compared to a negative control without primary antibody (left). Formalin-fixed cells were permeabilized with 0.1% Triton X-100 in TBS for 5-10 minutes and blocked with 3% BSA-PBS for 30 minutes at room temperature. Cells were probed with a CD44 Std monoclonal antibody (Product # MA5-13890) in 3% BSA-PBS at a dilution of 1:100 and incubated overnight at 4 ºC in a humidified chamber. Cells were washed with PBST and incubated with a DyLight-conjugated secondary antibody in PBS at room temperature in the dark. F-actin (red) was stained with a fluorescent red phalloidin and nuclei (blue) were stained with Hoechst or DAPI. Images were taken at a magnification of 60x.
- Conjugate
- Biotin
Supportive validation
- Submitted by
- Invitrogen Antibodies (provider)
- Main image

- Experimental details
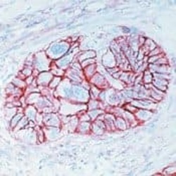
- Formalin-fixed, paraffin-embedded human esophageal carcinoma stained with CD44 antibody using peroxidase-conjugate and AEC chromogen. Note cell membrane staining of tumor cells.
- Conjugate
- Biotin
- Submitted by
- Invitrogen Antibodies (provider)
- Main image

- Experimental details
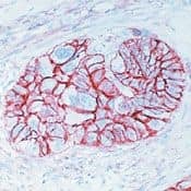
- Formalin-fixed, paraffin-embedded human esophageal carcinoma stained with CD44 antibody using peroxidase-conjugate and AEC chromogen. Note cell membrane staining of tumor cells.
- Conjugate
- Biotin
Supportive validation
- Submitted by
- Invitrogen Antibodies (provider)
- Main image

- Experimental details
- Immunoprecipitation of CD44 Std using CD44 Std Monoclonal Antibody (Product # MA5-13887) on Native Human HeLa Cells.
- Conjugate
- Biotin
- Submitted by
- Invitrogen Antibodies (provider)
- Main image

- Experimental details
- Figure 1 Immunohistochemical double-staining of human breast tumors for CD44 and CD24. CD44 is stained with Permanent Red and CD24 with diaminobenzidene (DAB). Magnification x 20. (a) A tumor positive for both CD44 + /CD24 - (white arrow) and CD44 - /CD24 + (black arrow) cancer cells, although the predominant phenotype is CD44 - /CD24 - . (b) Almost all cells in this tumor are CD44 + /CD24 - . No CD24 staining is seen. (c) A tumor with predominantly CD44 + /CD24 - cells. A few CD44 + /CD24 + cells are also present (black arrow). (d) A tumor positive for the CD44 - /CD24 + phenotype. No CD44 staining is present.
- Conjugate
- Biotin