ABIN2843760
antibody from antibodies-online
Targeting: CD44
CD44R, CSPG8, HCELL, IN, MC56, MDU2, MDU3, MIC4, Pgp1
Antibody data
- Antibody Data
- Antigen structure
- References [3]
- Comments [0]
- Validations
- Western blot [2]
- Immunohistochemistry [5]
- Flow cytometry [2]
Submit
Validation data
Reference
Comment
Report error
- Product number
- ABIN2843760 - Provider product page

- Provider
- antibodies-online
- Product name
- anti-CD44 (CD44) antibody
- Antibody type
- Monoclonal
- Description
- This antibody is purified through a protein G column, followed by dialysis against PBS.
- Reactivity
- Human
- Host
- Mouse
- Isotype
- IgG
- Antibody clone number
- Hermes-3
- Vial size
- 80 μL
- Storage
- Maintain refrigerated at 2-8°C for up to 6 months. For long term storage store at -20°C in small aliquots to prevent freeze-thaw cycles.
Submitted references Analysis of CD44-hyaluronan interactions in an artificial membrane system: insights into the distinct binding properties of high and low molecular weight hyaluronan.
Combinatorial selection of DNA thioaptamers targeted to the HA binding domain of human CD44.
De novo expression of CD44 variants in sporadic and hereditary gastric cancer.
Wolny PM, Banerji S, Gounou C, Brisson AR, Day AJ, Jackson DG, Richter RP
The Journal of biological chemistry 2010 Sep 24;285(39):30170-80
The Journal of biological chemistry 2010 Sep 24;285(39):30170-80
Combinatorial selection of DNA thioaptamers targeted to the HA binding domain of human CD44.
Somasunderam A, Thiviyanathan V, Tanaka T, Li X, Neerathilingam M, Lokesh GL, Mann A, Peng Y, Ferrari M, Klostergaard J, Gorenstein DG
Biochemistry 2010 Oct 26;49(42):9106-12
Biochemistry 2010 Oct 26;49(42):9106-12
De novo expression of CD44 variants in sporadic and hereditary gastric cancer.
da Cunha CB, Oliveira C, Wen X, Gomes B, Sousa S, Suriano G, Grellier M, Huntsman DG, Carneiro F, Granja PL, Seruca R
Laboratory investigation; a journal of technical methods and pathology 2010 Nov;90(11):1604-14
Laboratory investigation; a journal of technical methods and pathology 2010 Nov;90(11):1604-14
No comments: Submit comment
Supportive validation
- Submitted by
- antibodies-online (provider)
- Main image

- Experimental details
- WB
- Submitted by
- antibodies-online (provider)
- Main image

- Experimental details
- WB
Supportive validation
- Submitted by
- antibodies-online (provider)
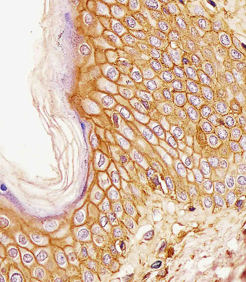
- Main image

- Experimental details
- IHC
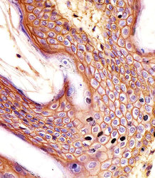
- Submitted by
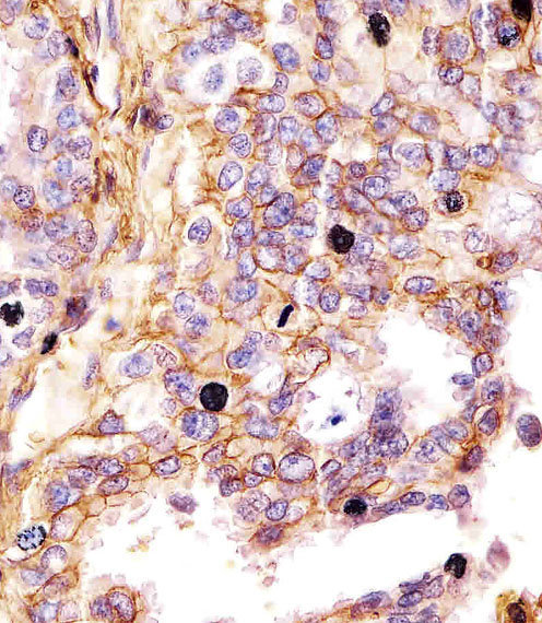
- antibodies-online (provider)
- Main image

- Experimental details
- IHC
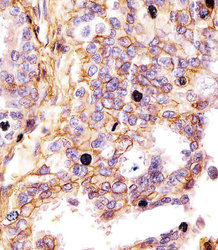
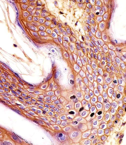
- Submitted by
- antibodies-online (provider)
- Main image

- Experimental details
- IHC
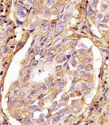
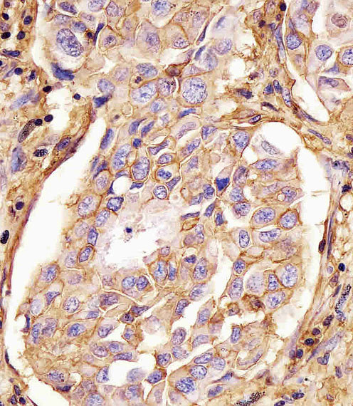
- Submitted by
- antibodies-online (provider)
- Main image

- Experimental details
- IHC
- Submitted by
- antibodies-online (provider)
- Main image

- Experimental details
- IHC
Supportive validation
- Submitted by
- antibodies-online (provider)
- Main image

- Experimental details
- FACS
- Submitted by
- antibodies-online (provider)
- Main image

- Experimental details
- FACS