A00052
antibody from Boster Biological Technology
Targeting: CD44
CD44R, CSPG8, HCELL, IN, MC56, MDU2, MDU3, MIC4, Pgp1
Antibody data
- Antibody Data
- Antigen structure
- References [50]
- Comments [0]
- Validations
- Immunohistochemistry [1]
Submit
Validation data
Reference
Comment
Report error
- Product number
- A00052 - Provider product page

- Provider
- Boster Biological Technology
- Product name
- Anti-CD44 Antibody Picoband™
- Antibody type
- Polyclonal
- Description
- Polyclonal antibody for CD44 detection. Host: Rabbit.Size: 100μg/vial. Tested applications: WB, IHC-P, IHC-F, ICC, IF, FCM, Direct ELISA. Reactive species: Human. CD44 information: Subcellular Localization: Cell membrane; Tissue Specificity: Isoform 10 (epithelial isoform) is expressed by cells of epithelium and highly expressed by carcinomas. Expression is repressed in neuroblastoma cells.
- Reactivity
- Human, Mouse, Rat
- Host
- Rabbit
- Vial size
- 100μg/vial
- Concentration
- 0.5-1mg/ml, actual concentration vary by lot. Use suggested dilution ratio to decide dilution procedure.
- Storage
- At -20°C for one year. After reconstitution, at 4°C for one month. It can also be aliquoted and stored frozen at -20°C for a longer time. Avoid repeated freezing and thawing.
- Handling
- Add 0.2ml of distilled water will yield a concentration of 500ug/ml.
Submitted references Exploring miR-21 as a key regulator in two distinct approaches of bone marrow stromal cells differentiation into Schwann-like cells.
m6A-methylated KCTD21-AS1 regulates macrophage phagocytosis through CD47 and cell autophagy through TIPR.
Secretome of EMSCs neutralizes LPS‑induced acute lung injury via aerosol administration.
Effects of norepinephrine‑induced activation of rat vascular adventitial fibroblasts on proliferation and migration of BMSCs involved in vascular remodeling.
MiR-31 improves spinal cord injury in mice by promoting the migration of bone marrow mesenchymal stem cells.
Identification of Key Biomarkers and Pathways for Maintaining Cognitively Normal Brain Aging Based on Integrated Bioinformatics Analysis.
β-catenin-controlled tubular cell-derived exosomes play a key role in fibroblast activation via the OPN-CD44 axis.
Pentagalloylglucose suppresses the growth and migration of human nasopharyngeal cancer cells via the GSK3β/β-catenin pathway in vitro and in vivo.
LncRNA LINC00662 Exerts an Oncogenic Effect on Osteosarcoma by the miR-16-5p/ITPR1 Axis.
Chemopreventive and Therapeutic Efficacy of Cinnamomum zeylanicum L. Bark in Experimental Breast Carcinoma: Mechanistic In Vivo and In Vitro Analyses.
Overexpression of TG2 enhances the differentiation of ectomesenchymal stem cells into neuron‑like cells and promotes functional recovery in adult rats following spinal cord injury.
Invasion of white matter tracts by glioma stem cells is regulated by a NOTCH1-SOX2 positive-feedback loop.
Isolation and characterization of ovine umbilical cord-derived mesenchymal stem cells.
E-Configuration Improves Antioxidant and Cytoprotective Capacities of Resveratrols.
Co-cultured the MSCs and cardiomyocytes can promote the growth of cardiomyocytes.
Antioxidant and Cytoprotective Effects of Kukoamines A and B: Comparison and Positional Isomeric Effect.
Antineoplastic effects of clove buds (Syzygium aromaticum L.) in the model of breast carcinoma.
Lyophilized aqueous extracts of Mori Fructus and Mori Ramulus protect Mesenchymal stem cells from •OH-treated damage: bioassay and antioxidant mechanism.
Synergistic effects of G-CSF and bone marrow stromal cells on nerve regeneration with acellular nerve xenografts.
Role of the p-Coumaroyl Moiety in the Antioxidant and Cytoprotective Effects of Flavonoid Glycosides: Comparison of Astragalin and Tiliroside.
Two phenolic antioxidants in Suoyang enhance viability of •OH-damaged mesenchymal stem cells: comparison and mechanistic chemistry.
Protective Effect of Sinapine against Hydroxyl Radical-Induced Damage to Mesenchymal Stem Cells and Possible Mechanisms.
Comparison of the Antioxidant Effects of Quercitrin and Isoquercitrin: Understanding the Role of the 6″-OH Group.
Overexpression of transcription factor Foxa2 and Hnf1α induced rat bone mesenchymal stem cells into hepatocytes.
Sarcandra glabra (Caoshanhu) protects mesenchymal stem cells from oxidative stress: a bioevaluation and mechanistic chemistry.
Protective Effects of Dihydromyricetin against •OH-Induced Mesenchymal Stem Cells Damage and Mechanistic Chemistry.
Lentivirus-mediated PLCγ1 gene short-hairpin RNA suppresses tumor growth and metastasis of human gastric adenocarcinoma.
Rat Nasal Respiratory Mucosa-Derived Ectomesenchymal Stem Cells Differentiate into Schwann-Like Cells Promoting the Differentiation of PC12 Cells and Forming Myelin In Vitro.
PPARγ and MyoD are differentially regulated by myostatin in adipose-derived stem cells and muscle satellite cells.
Effects of BMSCs interactions with adventitial fibroblasts in transdifferentiation and ultrastructure processes.
Induction of Functional Hepatocyte-Like Cells by Overexpression of FOXA3 and HNF4α in Rat Bone Marrow Mesenchymal Stem Cells.
Overexpression of inducible nitric oxide synthase impairs the survival of bone marrow stem cells transplanted into rat infarcted myocardium.
Comparison of administration routes for adipose-derived stem cells in the treatment of middle cerebral artery occlusion in rats.
Folium Sennae protects against hydroxyl radical-induced DNA damage via antioxidant mechanism: an in vitro study.
Maclurin protects against hydroxyl radical-induced damages to mesenchymal stem cells: antioxidant evaluation and mechanistic insight.
Endogenous release of female hormones from co-microencapsulated rat granulosa and theca cells.
An effective inducer of dopaminergic neuron-like differentiation.
Effects of total flavonoids from Drynaria fortunei on the proliferation and osteogenic differentiation of rat dental pulp stem cells.
Therapeutic gene expression in transduced mesenchymal stem cells can be monitored using a reporter gene.
Different regulation role of myostatin in differentiating pig ADSCs and MSCs into adipocytes.
A multimodality reporter gene for monitoring transplanted stem cells.
Mineralized and osteoid tissue from dental pulp stem cells on micro-arc oxidation titanium in vitro.
Enhancive effects of Lewis y antigen on CD44-mediated adhesion and spreading of human ovarian cancer cell line RMG-I.
HER2 interacts with CD44 to up-regulate CXCR4 via epigenetic silencing of microRNA-139 in gastric cancer cells.
Effect of fluid shear stress on cardiomyogenic differentiation of rat bone marrow mesenchymal stem cells.
Mesenchymal stem cells protect islets from hypoxia/reoxygenation-induced injury.
Rat bone marrow derived mesenchymal progenitor cells support mouse ES cell growth and germ-like cell differentiation.
Characterization of chemical components in extracts from Si-wu decoction with proliferation-promoting effects on rat mesenchymal stem cells.
Mechanical stretch promotes proliferation of rat bone marrow mesenchymal stem cells.
Extracts from Plastrum testudinis promote proliferation of rat bone-marrow-derived mesenchymal stem cells.
Liu YM, Wang HY, Wei CH, Li JP, Wang Y, Ma WZ, Jia H
Synapse (New York, N.Y.) 2024 May;78(3):e22293
Synapse (New York, N.Y.) 2024 May;78(3):e22293
m6A-methylated KCTD21-AS1 regulates macrophage phagocytosis through CD47 and cell autophagy through TIPR.
Liang DM, Li YJ, Zhang JX, Shen HH, Wu CX, Xie N, Liang Y, Li YM, Xue JN, Sun HF, Wang Q, Yang J, Li XH, Wang PY, Xie SY
Communications biology 2024 Feb 21;7(1):215
Communications biology 2024 Feb 21;7(1):215
Secretome of EMSCs neutralizes LPS‑induced acute lung injury via aerosol administration.
Tan J, Zhuo Z, Wang X, Zhang Y, Qian Y, Lin F
International journal of molecular medicine 2023 Nov;52(5)
International journal of molecular medicine 2023 Nov;52(5)
Effects of norepinephrine‑induced activation of rat vascular adventitial fibroblasts on proliferation and migration of BMSCs involved in vascular remodeling.
Gao J, Li L, Zhou D, Sun X, Cui L, Yang D, Wang X, Du P, Yuan W
Experimental and therapeutic medicine 2023 Jun;25(6):290
Experimental and therapeutic medicine 2023 Jun;25(6):290
MiR-31 improves spinal cord injury in mice by promoting the migration of bone marrow mesenchymal stem cells.
Zhang Y, Cao L, Du R, Tian F, Li X, Yuan Y, Wang C
PloS one 2022;17(9):e0272499
PloS one 2022;17(9):e0272499
Identification of Key Biomarkers and Pathways for Maintaining Cognitively Normal Brain Aging Based on Integrated Bioinformatics Analysis.
Xu J, Zhou H, Xiang G
Frontiers in aging neuroscience 2022;14:833402
Frontiers in aging neuroscience 2022;14:833402
β-catenin-controlled tubular cell-derived exosomes play a key role in fibroblast activation via the OPN-CD44 axis.
Chen S, Zhang M, Li J, Huang J, Zhou S, Hou X, Ye H, Liu X, Xiang S, Shen W, Miao J, Hou FF, Liu Y, Zhou L
Journal of extracellular vesicles 2022 Mar;11(3):e12203
Journal of extracellular vesicles 2022 Mar;11(3):e12203
Pentagalloylglucose suppresses the growth and migration of human nasopharyngeal cancer cells via the GSK3β/β-catenin pathway in vitro and in vivo.
Fan CW, Tang J, Jiang JC, Zhou MM, Li MS, Wang HS
Phytomedicine : international journal of phytotherapy and phytopharmacology 2022 Jul 20;102:154192
Phytomedicine : international journal of phytotherapy and phytopharmacology 2022 Jul 20;102:154192
LncRNA LINC00662 Exerts an Oncogenic Effect on Osteosarcoma by the miR-16-5p/ITPR1 Axis.
Yu M, Lu W, Cao Z, Xuan T
Journal of oncology 2021;2021:8493431
Journal of oncology 2021;2021:8493431
Chemopreventive and Therapeutic Efficacy of Cinnamomum zeylanicum L. Bark in Experimental Breast Carcinoma: Mechanistic In Vivo and In Vitro Analyses.
Kubatka P, Kello M, Kajo K, Samec M, Jasek K, Vybohova D, Uramova S, Liskova A, Sadlonova V, Koklesova L, Murin R, Adamkov M, Smejkal K, Svajdlenka E, Solar P, Samuel SM, Kassayova M, Kwon TK, Zubor P, Pec M, Danko J, Büsselberg D, Mojzis J
Molecules (Basel, Switzerland) 2020 Mar 19;25(6)
Molecules (Basel, Switzerland) 2020 Mar 19;25(6)
Overexpression of TG2 enhances the differentiation of ectomesenchymal stem cells into neuron‑like cells and promotes functional recovery in adult rats following spinal cord injury.
Shi W, Que Y, Lv D, Bi S, Xu Z, Wang D, Zhang Z
Molecular medicine reports 2019 Sep;20(3):2763-2773
Molecular medicine reports 2019 Sep;20(3):2763-2773
Invasion of white matter tracts by glioma stem cells is regulated by a NOTCH1-SOX2 positive-feedback loop.
Wang J, Xu SL, Duan JJ, Yi L, Guo YF, Shi Y, Li L, Yang ZY, Liao XM, Cai J, Zhang YQ, Xiao HL, Yin L, Wu H, Zhang JN, Lv SQ, Yang QK, Yang XJ, Jiang T, Zhang X, Bian XW, Yu SC
Nature neuroscience 2019 Jan;22(1):91-105
Nature neuroscience 2019 Jan;22(1):91-105
Isolation and characterization of ovine umbilical cord-derived mesenchymal stem cells.
Zhao S, Tao L, Tian Y, Tai D, Liu P, Liu D
Cytotechnology 2019 Feb;71(1):277-286
Cytotechnology 2019 Feb;71(1):277-286
E-Configuration Improves Antioxidant and Cytoprotective Capacities of Resveratrols.
Lin J, Li X, Chen B, Wei G, Chen D
Molecules (Basel, Switzerland) 2018 Jul 20;23(7)
Molecules (Basel, Switzerland) 2018 Jul 20;23(7)
Co-cultured the MSCs and cardiomyocytes can promote the growth of cardiomyocytes.
Jiang H, Wang H, Liu T, Yang Z, Zhang R, Han H
Cytotechnology 2018 Apr;70(2):793-806
Cytotechnology 2018 Apr;70(2):793-806
Antioxidant and Cytoprotective Effects of Kukoamines A and B: Comparison and Positional Isomeric Effect.
Li X, Lin J, Chen B, Xie H, Chen D
Molecules (Basel, Switzerland) 2018 Apr 21;23(4)
Molecules (Basel, Switzerland) 2018 Apr 21;23(4)
Antineoplastic effects of clove buds (Syzygium aromaticum L.) in the model of breast carcinoma.
Kubatka P, Uramova S, Kello M, Kajo K, Kruzliak P, Mojzis J, Vybohova D, Adamkov M, Jasek K, Lasabova Z, Zubor P, Fialova S, Dokupilova S, Solar P, Pec M, Adamicova K, Danko J, Adamek M, Busselberg D
Journal of cellular and molecular medicine 2017 Nov;21(11):2837-2851
Journal of cellular and molecular medicine 2017 Nov;21(11):2837-2851
Lyophilized aqueous extracts of Mori Fructus and Mori Ramulus protect Mesenchymal stem cells from •OH-treated damage: bioassay and antioxidant mechanism.
Jiang Q, Li X, Tian Y, Lin Q, Xie H, Lu W, Chi Y, Chen D
BMC complementary and alternative medicine 2017 May 2;17(1):242
BMC complementary and alternative medicine 2017 May 2;17(1):242
Synergistic effects of G-CSF and bone marrow stromal cells on nerve regeneration with acellular nerve xenografts.
Jia H, Wang Y, Wang T, Dong Y, Li WL, Li JP, Ma WZ, Tong XJ, He ZY
Synapse (New York, N.Y.) 2017 Jul;71(7)
Synapse (New York, N.Y.) 2017 Jul;71(7)
Role of the p-Coumaroyl Moiety in the Antioxidant and Cytoprotective Effects of Flavonoid Glycosides: Comparison of Astragalin and Tiliroside.
Li X, Tian Y, Wang T, Lin Q, Feng X, Jiang Q, Liu Y, Chen D
Molecules (Basel, Switzerland) 2017 Jul 12;22(7)
Molecules (Basel, Switzerland) 2017 Jul 12;22(7)
Two phenolic antioxidants in Suoyang enhance viability of •OH-damaged mesenchymal stem cells: comparison and mechanistic chemistry.
Xie Y, Li X, Xu J, Jiang Q, Xie H, He J, Chen D
Chemistry Central journal 2017 Aug 25;11(1):84
Chemistry Central journal 2017 Aug 25;11(1):84
Protective Effect of Sinapine against Hydroxyl Radical-Induced Damage to Mesenchymal Stem Cells and Possible Mechanisms.
Li X, Han L, Li Y, Zhang J, Chen J, Lu W, Zhao X, Lai Y, Chen D, Wei G
Chemical & pharmaceutical bulletin 2016;64(4):319-25
Chemical & pharmaceutical bulletin 2016;64(4):319-25
Comparison of the Antioxidant Effects of Quercitrin and Isoquercitrin: Understanding the Role of the 6″-OH Group.
Li X, Jiang Q, Wang T, Liu J, Chen D
Molecules (Basel, Switzerland) 2016 Sep 19;21(9)
Molecules (Basel, Switzerland) 2016 Sep 19;21(9)
Overexpression of transcription factor Foxa2 and Hnf1α induced rat bone mesenchymal stem cells into hepatocytes.
Ding Y, Chang C, Niu Z, Dai K, Geng X, Li D, Guo J, Xu C
Cytotechnology 2016 Oct;68(5):2037-47
Cytotechnology 2016 Oct;68(5):2037-47
Sarcandra glabra (Caoshanhu) protects mesenchymal stem cells from oxidative stress: a bioevaluation and mechanistic chemistry.
Liu J, Li X, Lin J, Li Y, Wang T, Jiang Q, Chen D
BMC complementary and alternative medicine 2016 Oct 28;16(1):423
BMC complementary and alternative medicine 2016 Oct 28;16(1):423
Protective Effects of Dihydromyricetin against •OH-Induced Mesenchymal Stem Cells Damage and Mechanistic Chemistry.
Li X, Liu J, Lin J, Wang T, Huang J, Lin Y, Chen D
Molecules (Basel, Switzerland) 2016 May 9;21(5)
Molecules (Basel, Switzerland) 2016 May 9;21(5)
Lentivirus-mediated PLCγ1 gene short-hairpin RNA suppresses tumor growth and metastasis of human gastric adenocarcinoma.
Zhang B, Wang F, Dai L, Cai H, Zhan Y, Gang S, Hu T, Xia C, Zhang B
Oncotarget 2016 Feb 16;7(7):8043-54
Oncotarget 2016 Feb 16;7(7):8043-54
Rat Nasal Respiratory Mucosa-Derived Ectomesenchymal Stem Cells Differentiate into Schwann-Like Cells Promoting the Differentiation of PC12 Cells and Forming Myelin In Vitro.
Zhang J, Gao X, Zou H, Liu J, Zhang Z
Stem cells international 2015;2015:328957
Stem cells international 2015;2015:328957
PPARγ and MyoD are differentially regulated by myostatin in adipose-derived stem cells and muscle satellite cells.
Zhang F, Deng B, Wen J, Chen K, Liu W, Ye S, Huang H, Jiang S, Xiong Y
Biochemical and biophysical research communications 2015 Mar 6;458(2):375-80
Biochemical and biophysical research communications 2015 Mar 6;458(2):375-80
Effects of BMSCs interactions with adventitial fibroblasts in transdifferentiation and ultrastructure processes.
Yuan W, Liu W, Li J, Li X, Sun X, Xu F, Man X, Fu Q
International journal of clinical and experimental pathology 2014;7(7):3957-65
International journal of clinical and experimental pathology 2014;7(7):3957-65
Induction of Functional Hepatocyte-Like Cells by Overexpression of FOXA3 and HNF4α in Rat Bone Marrow Mesenchymal Stem Cells.
Dai K, Chen R, Ding Y, Niu Z, Fan J, Xu C
Cells, tissues, organs 2014;200(2):132-40
Cells, tissues, organs 2014;200(2):132-40
Overexpression of inducible nitric oxide synthase impairs the survival of bone marrow stem cells transplanted into rat infarcted myocardium.
Li HM, Liu L, Mei X, Chen H, Liu Z, Zhao X
Life sciences 2014 Jun 13;106(1-2):50-7
Life sciences 2014 Jun 13;106(1-2):50-7
Comparison of administration routes for adipose-derived stem cells in the treatment of middle cerebral artery occlusion in rats.
Du G, Liu Y, Dang M, Zhu G, Su R, Fan Y, Tan Z, Wang LX, Fang J
Acta histochemica 2014 Jul;116(6):1075-84
Acta histochemica 2014 Jul;116(6):1075-84
Folium Sennae protects against hydroxyl radical-induced DNA damage via antioxidant mechanism: an in vitro study.
Lin J, Li X, Han L, Li F, Lu W, Bai Y, Chen D
Botanical studies 2014 Dec;55(1):16
Botanical studies 2014 Dec;55(1):16
Maclurin protects against hydroxyl radical-induced damages to mesenchymal stem cells: antioxidant evaluation and mechanistic insight.
Li X, Gao Y, Li F, Liang A, Xu Z, Bai Y, Mai W, Han L, Chen D
Chemico-biological interactions 2014 Aug 5;219:221-8
Chemico-biological interactions 2014 Aug 5;219:221-8
Endogenous release of female hormones from co-microencapsulated rat granulosa and theca cells.
Liu C, Luan X, He Y, Xia X, Sun L, Miao W, Jin Y, Liu L
Biomedical microdevices 2014 Apr;16(2):209-16
Biomedical microdevices 2014 Apr;16(2):209-16
An effective inducer of dopaminergic neuron-like differentiation.
Fu W, Lv C, Zhuang W, Chen D, Lv E, Li F, Wang X
Neural regeneration research 2013 Feb 15;8(5):427-34
Neural regeneration research 2013 Feb 15;8(5):427-34
Effects of total flavonoids from Drynaria fortunei on the proliferation and osteogenic differentiation of rat dental pulp stem cells.
Huang XF, Yuan SJ, Yang C
Molecular medicine reports 2012 Sep;6(3):547-52
Molecular medicine reports 2012 Sep;6(3):547-52
Therapeutic gene expression in transduced mesenchymal stem cells can be monitored using a reporter gene.
Zhang G, Lan X, Yen TC, Chen Q, Pei Z, Qin C, Zhang Y
Nuclear medicine and biology 2012 Nov;39(8):1243-50
Nuclear medicine and biology 2012 Nov;39(8):1243-50
Different regulation role of myostatin in differentiating pig ADSCs and MSCs into adipocytes.
Deng B, Wen J, Ding Y, Peng J, Jiang S
Cell biochemistry and function 2012 Mar;30(2):145-50
Cell biochemistry and function 2012 Mar;30(2):145-50
A multimodality reporter gene for monitoring transplanted stem cells.
Pei Z, Lan X, Cheng Z, Qin C, Wang P, He Y, Yen TC, Tian Y, Mghanga FP, Zhang Y
Nuclear medicine and biology 2012 Aug;39(6):813-20
Nuclear medicine and biology 2012 Aug;39(6):813-20
Mineralized and osteoid tissue from dental pulp stem cells on micro-arc oxidation titanium in vitro.
Huang Y, Chang T, Yang C, Wu M
Journal of Huazhong University of Science and Technology. Medical sciences = Hua zhong ke ji da xue xue bao. Yi xue Ying De wen ban = Huazhong keji daxue xuebao. Yixue Yingdewen ban 2012 Aug;32(4):620-625
Journal of Huazhong University of Science and Technology. Medical sciences = Hua zhong ke ji da xue xue bao. Yi xue Ying De wen ban = Huazhong keji daxue xuebao. Yixue Yingdewen ban 2012 Aug;32(4):620-625
Enhancive effects of Lewis y antigen on CD44-mediated adhesion and spreading of human ovarian cancer cell line RMG-I.
Gao L, Yan L, Lin B, Gao J, Liang X, Wang Y, Liu J, Zhang S, Iwamori M
Journal of experimental & clinical cancer research : CR 2011 Feb 7;30(1):15
Journal of experimental & clinical cancer research : CR 2011 Feb 7;30(1):15
HER2 interacts with CD44 to up-regulate CXCR4 via epigenetic silencing of microRNA-139 in gastric cancer cells.
Bao W, Fu HJ, Xie QS, Wang L, Zhang R, Guo ZY, Zhao J, Meng YL, Ren XL, Wang T, Li Q, Jin BQ, Yao LB, Wang RA, Fan DM, Chen SY, Jia LT, Yang AG
Gastroenterology 2011 Dec;141(6):2076-2087.e6
Gastroenterology 2011 Dec;141(6):2076-2087.e6
Effect of fluid shear stress on cardiomyogenic differentiation of rat bone marrow mesenchymal stem cells.
Huang Y, Jia X, Bai K, Gong X, Fan Y
Archives of medical research 2010 Oct;41(7):497-505
Archives of medical research 2010 Oct;41(7):497-505
Mesenchymal stem cells protect islets from hypoxia/reoxygenation-induced injury.
Lu Y, Jin X, Chen Y, Li S, Yuan Y, Mai G, Tian B, Long D, Zhang J, Zeng L, Li Y, Cheng J
Cell biochemistry and function 2010 Dec 2;28(8):637-43
Cell biochemistry and function 2010 Dec 2;28(8):637-43
Rat bone marrow derived mesenchymal progenitor cells support mouse ES cell growth and germ-like cell differentiation.
Cui G, Qi Z, Guo X, Qin J, Gui Y, Cai Z
Cell biology international 2009 Mar;33(3):434-41
Cell biology international 2009 Mar;33(3):434-41
Characterization of chemical components in extracts from Si-wu decoction with proliferation-promoting effects on rat mesenchymal stem cells.
Zeng HP, Wang TT, Chen W, Wang CY, Chen DF, Shen JG
Bioorganic & medicinal chemistry 2008 May 1;16(9):5109-14
Bioorganic & medicinal chemistry 2008 May 1;16(9):5109-14
Mechanical stretch promotes proliferation of rat bone marrow mesenchymal stem cells.
Song G, Ju Y, Shen X, Luo Q, Shi Y, Qin J
Colloids and surfaces. B, Biointerfaces 2007 Aug 1;58(2):271-7
Colloids and surfaces. B, Biointerfaces 2007 Aug 1;58(2):271-7
Extracts from Plastrum testudinis promote proliferation of rat bone-marrow-derived mesenchymal stem cells.
Chen DF, Zeng HP, Du SH, Li H, Zhou JH, Li YW, Wang TT, Hua ZC
Cell proliferation 2007 Apr;40(2):196-212
Cell proliferation 2007 Apr;40(2):196-212
No comments: Submit comment
Supportive validation
- Submitted by
- Boster Biological Technology (provider)
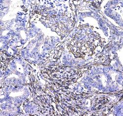
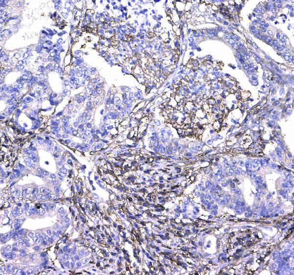
- Main image

- Experimental details
- IHC analysis of CD44 using anti-CD44 antibody (A00052). CD44 was detected in paraffin-embedded section of human colon cancer tissue. Heat mediated antigen retrieval was performed in citrate buffer (pH6, epitope retrieval solution) for 20 mins. The tissue section was blocked with 10% goat serum. The tissue section was then incubated with 1μg/ml rabbit anti-CD44 Antibody (A00052) overnight at 4°C. Biotinylated goat anti-rabbit IgG was used as secondary antibody and incubated for 30 minutes at 37°C. The tissue section was developed using Strepavidin-Biotin-Complex (SABC)(Catalog # SA1022) with DAB as the chromogen.
- Additional image
