AM31743SU-N
antibody from Acris Antibodies GmbH
Targeting: CD44
CD44R, CSPG8, HCELL, IN, MC56, MDU2, MDU3, MIC4, Pgp1
Antibody data
- Antibody Data
- Antigen structure
- References [0]
- Comments [0]
- Validations
- Western blot [2]
- Immunohistochemistry [2]
- Flow cytometry [1]
Submit
Validation data
Reference
Comment
Report error
- Product number
- AM31743SU-N - Provider product page

- Provider
- Acris Antibodies GmbH
- Proper citation
- Acris Antibodies GmbH Cat#AM31743SU-N, RRID:AB_10978544
- Product name
- anti CD44 (628-699)
- Antibody type
- Monoclonal
- Antigen
- Purified recombinant fragment of Human CD44 (628-699) expressed in E. coli.
- Reactivity
- Human, Mouse
- Host
- Mouse
- Isotype
- IgG
- Antibody clone number
- 8E2F3
- Vial size
- 50 µl
No comments: Submit comment
Supportive validation
- Submitted by
- Acris Antibodies GmbH (provider)
- Main image

- Experimental details
- Western blot analysis using CD44 antibody against truncated Trx-CD44 recombinant protein (1) and GST-CD44 (aa628-699) recombinant protein (2).
- Submitted by
- Acris Antibodies GmbH (provider)
- Main image

- Experimental details
- Western blot analysis using CD44 antibody against Hela (1) and HUVE-12(2) cell lysate.
Supportive validation
- Submitted by
- Acris Antibodies GmbH (provider)
- Main image

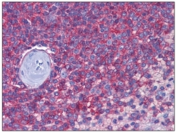
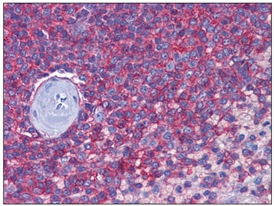
- Experimental details
- Human Spleen: Formalin-Fixed, Paraffin-Embedded (FFPE
- Submitted by
- Acris Antibodies GmbH (provider)
- Main image

- Experimental details
- Confocal analysis of paraffin-embedded human lung cancer tissues using anti-CD44 Monoclonal Antibody (Green), showing membrane localization. Blue: DRAQ5 fluorescent DNA dye.
Supportive validation
- Submitted by
- Acris Antibodies GmbH (provider)
- Main image

- Experimental details
- Flow Cytometric analysis of Hela cells using anti-CD44 Monoclonal Antibody (Right) and Negative Control (Left).