MAB12149
antibody from Abnova Corporation
Targeting: CD44
CD44R, CSPG8, HCELL, IN, MC56, MDU2, MDU3, MIC4, Pgp1
Antibody data
- Antibody Data
- Antigen structure
- References [0]
- Comments [0]
- Validations
- Western blot [1]
- Immunocytochemistry [1]
- Immunohistochemistry [1]
- Flow cytometry [1]
Submit
Validation data
Reference
Comment
Report error
- Product number
- MAB12149 - Provider product page

- Provider
- Abnova Corporation
- Product name
- CD44 variant isoform 9 (v9) monoclonal antibody, clone RV3
- Antibody type
- Monoclonal
- Description
- Rat monoclonal antibody raised against human CD44 variant isoform 9 (v9).Features of clone RV3:1. Clone RV3 recognizes CD44 splice isoform 9 (CD44v9), which is upregulated specifically and frequently in various cancer cells.2. Clone RV3, the only CD44v9 antibody applicable for CSC enrichment in the world, can be used to concentrate cancer stem cells (CSCs) due to high expression of CD44v9 usually found in CSCs.3. Clone RV3 has been commonly used to detect existence of CD44v9 in cancer cells and CSCs in most influential journals of cancer research.
- Isotype
- IgG
- Antibody clone number
- RV3
- Storage
- Store at 2-8°C.Aliquot to avoid repeated freezing and thawing.
No comments: Submit comment
Supportive validation
- Submitted by
- Abnova Corporation (provider)
- Main image

- Experimental details
- Western blot analysis of Lane 1: no treated, Lane 2: non-targeting siRNA treated sample, Lane 3: CD44 siRNA treated sample #1, Lane 4: CD44 siRNA treated sample #2 with CD44 (v9) monoclonal antibody, clone RV3 (Cat # MAB12149) at 1 ug/mL concentration.
Supportive validation
- Submitted by
- Abnova Corporation (provider)
- Main image

- Experimental details
- Immunofluorescence staining of human mammary adenocarcinoma cells with CD44 (v9) monoclonal antibody, clone RV3 (Cat # MAB12149) at 3 ug/mL concentration. (left)Merged image with DAPI staining (right).
- Validation comment
- Immunofluorescence
Supportive validation
- Submitted by
- Abnova Corporation (provider)
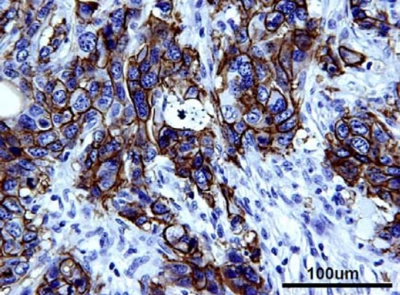
- Main image

- Experimental details
- Immunohistochemical staining of breast invasive ductal carcinoma with with CD44 (v9) monoclonal antibody, clone RV3 (Cat # MAB12149) at 0.2 ug/mL concentration.
- Validation comment
- Immunohistochemistry (Formalin/PFA-fixed paraffin-embedded sections)
Supportive validation
- Submitted by
- Abnova Corporation (provider)
- Main image

- Experimental details
- Flow cytometry analysis of human cancer cell line with CD44 (v9) monoclonal antibody, clone RV3 (Cat # MAB12149) at 3 ug/mL concentration and PE-labeled anti Rat IgG antibody.
- Validation comment
- Flow Cytometry