BBA13
antibody from Novus Biologicals
Targeting: CD44
CD44R, CSPG8, HCELL, IN, MC56, MDU2, MDU3, MIC4, Pgp1
Antibody data
- Antibody Data
- Antigen structure
- References [21]
- Comments [0]
- Validations
- Immunohistochemistry [1]
- Flow cytometry [1]
Submit
Validation data
Reference
Comment
Report error
- Product number
- BBA13 - Provider product page

- Provider
- Novus Biologicals
- Product name
- Mouse Monoclonal CD44 Antibody
- Antibody type
- Monoclonal
- Description
- Protein A or G purified from ascites. Detects human CD44v6 in Western blots. By flow cytometry analysis using a panel of CD44-transfected COS cells (9), monoclonal antibody clone 2F10 was deduced to be specific for human CD44 protein isoforms containing variant exon 6 (CD44v6).
- Reactivity
- Human
- Host
- Mouse
- Conjugate
- Unconjugated
- Isotype
- IgG
- Vial size
- 200 ug
- Concentration
- LYOPH
- Storage
- Use a manual defrost freezer and avoid repeated freeze-thaw cycles. 12 months from date of receipt, -20 to -70 degreesC as supplied. 1 month, 2 to 8 degreesC under sterile conditions after reconstitution. 6 months, -20 to -70 degreesC under sterile conditions after reconstitution.
Submitted references CD44v6 Targeted by miR-193b-5p in the Coding Region Modulates the Migration and Invasion of Breast Cancer Cells.
Targeting chemoresistant colorectal cancer via systemic administration of a BMP7 variant.
Clinical impact of different exosomes' protein expression in pancreatic ductal carcinoma patients treated with standard first line palliative chemotherapy.
CD44 targeted delivery of siRNA by using HA-decorated nanotechnologies for KRAS silencing in cancer treatment.
Novel antibody reagents for characterization of drug- and tumor microenvironment-induced changes in epithelial-mesenchymal transition and cancer stem cells.
CD44 mediates the catch-bond activated rolling of HEPG2Iso epithelial cancer cells on hyaluronan.
Musashi-1 promotes a cancer stem cell lineage and chemoresistance in colorectal cancer cells.
Autophagy supports generation of cells with high CD44 expression via modulation of oxidative stress and Parkin-mediated mitochondrial clearance.
Isolation of All CD44 Transcripts in Human Epidermis and Regulation of Their Expression by Various Agents.
Nomogram Incorporating CD44v6 and Clinicopathological Factors to Predict Lymph Node Metastasis for Early Gastric Cancer.
MIF allele-dependent regulation of the MIF coreceptor CD44 and role in rheumatoid arthritis.
Dynamic regulation of the cancer stem cell compartment by Cripto-1 in colorectal cancer.
Establishment of highly tumorigenic human colorectal cancer cell line (CR4) with properties of putative cancer stem cells.
CD44v6 is a marker of constitutive and reprogrammed cancer stem cells driving colon cancer metastasis.
Overexpression of progelatinase B/proMMP-9 affects migration regulatory pathways and impairs chronic lymphocytic leukemia cell homing to bone marrow and spleen.
Evaluation of protein biomarkers of prostate cancer aggressiveness.
Identification of a population of blood circulating tumor cells from breast cancer patients that initiates metastasis in a xenograft assay.
Expression of the CD44v2-10 isoform confers a metastatic phenotype: importance of the heparan sulfate attachment site CD44v3.
CD44 is exposed to the extracellular matrix at invasive sites in basal cell carcinomas.
CD44 is exposed to the extracellular matrix at invasive sites in basal cell carcinomas.
Effect of hyaluronan on xenotransplanted breast cancer.
Hu S, Cao M, He Y, Zhang G, Liu Y, Du Y, Yang C, Gao F
Journal of Cancer 2020;11(1):260-271
Journal of Cancer 2020;11(1):260-271
Targeting chemoresistant colorectal cancer via systemic administration of a BMP7 variant.
Veschi V, Mangiapane LR, Nicotra A, Di Franco S, Scavo E, Apuzzo T, Sardina DS, Fiori M, Benfante A, Colorito ML, Cocorullo G, Giuliante F, Cipolla C, Pistone G, Bongiorno MR, Rizzo A, Tate CM, Wu X, Rowlinson S, Stancato LF, Todaro M, De Maria R, Stassi G
Oncogene 2020 Jan;39(5):987-1003
Oncogene 2020 Jan;39(5):987-1003
Clinical impact of different exosomes' protein expression in pancreatic ductal carcinoma patients treated with standard first line palliative chemotherapy.
Giampieri R, Piva F, Occhipinti G, Bittoni A, Righetti A, Pagliaretta S, Murrone A, Bianchi F, Amantini C, Giulietti M, Ricci G, Principato G, Santoni G, Berardi R, Cascinu S
PloS one 2019;14(5):e0215990
PloS one 2019;14(5):e0215990
CD44 targeted delivery of siRNA by using HA-decorated nanotechnologies for KRAS silencing in cancer treatment.
Tirella A, Kloc-Muniak K, Good L, Ridden J, Ashford M, Puri S, Tirelli N
International journal of pharmaceutics 2019 Apr 20;561:114-123
International journal of pharmaceutics 2019 Apr 20;561:114-123
Novel antibody reagents for characterization of drug- and tumor microenvironment-induced changes in epithelial-mesenchymal transition and cancer stem cells.
Navas T, Pfister TD, Colantonio S, Aziz A, Dieckman L, Saul RG, Kaczmarczyk J, Borgel S, Alcoser SY, Hollingshead MG, Lee YH, Bottaro DP, Hiltke T, Whiteley G, Takebe N, Kinders RJ, Parchment RE, Tomaszewski JE, Doroshow JH
PloS one 2018;13(6):e0199361
PloS one 2018;13(6):e0199361
CD44 mediates the catch-bond activated rolling of HEPG2Iso epithelial cancer cells on hyaluronan.
Hanke-Roos M, Fuchs K, Maleschlijski S, Sleeman J, Orian-Rousseau V, Rosenhahn A
Cell adhesion & migration 2017 Sep 3;11(5-6):476-487
Cell adhesion & migration 2017 Sep 3;11(5-6):476-487
Musashi-1 promotes a cancer stem cell lineage and chemoresistance in colorectal cancer cells.
Chiou GY, Yang TW, Huang CC, Tang CY, Yen JY, Tsai MC, Chen HY, Fadhilah N, Lin CC, Jong YJ
Scientific reports 2017 May 19;7(1):2172
Scientific reports 2017 May 19;7(1):2172
Autophagy supports generation of cells with high CD44 expression via modulation of oxidative stress and Parkin-mediated mitochondrial clearance.
Whelan KA, Chandramouleeswaran PM, Tanaka K, Natsuizaka M, Guha M, Srinivasan S, Darling DS, Kita Y, Natsugoe S, Winkler JD, Klein-Szanto AJ, Amaravadi RK, Avadhani NG, Rustgi AK, Nakagawa H
Oncogene 2017 Aug 24;36(34):4843-4858
Oncogene 2017 Aug 24;36(34):4843-4858
Isolation of All CD44 Transcripts in Human Epidermis and Regulation of Their Expression by Various Agents.
Teye K, Numata S, Ishii N, Krol RP, Tsuchisaka A, Hamada T, Koga H, Karashima T, Ohata C, Tsuruta D, Saya H, Haftek M, Hashimoto T
PloS one 2016;11(8):e0160952
PloS one 2016;11(8):e0160952
Nomogram Incorporating CD44v6 and Clinicopathological Factors to Predict Lymph Node Metastasis for Early Gastric Cancer.
Eom BW, Joo J, Park B, Jo MJ, Choi SH, Cho SJ, Ryu KW, Kim YW, Kook MC
PloS one 2016;11(8):e0159424
PloS one 2016;11(8):e0159424
MIF allele-dependent regulation of the MIF coreceptor CD44 and role in rheumatoid arthritis.
Yoo SA, Leng L, Kim BJ, Du X, Tilstam PV, Kim KH, Kong JS, Yoon HJ, Liu A, Wang T, Song Y, Sauler M, Bernhagen J, Ritchlin CT, Lee P, Cho CS, Kim WU, Bucala R
Proceedings of the National Academy of Sciences of the United States of America 2016 Dec 6;113(49):E7917-E7926
Proceedings of the National Academy of Sciences of the United States of America 2016 Dec 6;113(49):E7917-E7926
Dynamic regulation of the cancer stem cell compartment by Cripto-1 in colorectal cancer.
Francescangeli F, Contavalli P, De Angelis ML, Baiocchi M, Gambara G, Pagliuca A, Fiorenzano A, Prezioso C, Boe A, Todaro M, Stassi G, Castro NP, Watanabe K, Salomon DS, De Maria R, Minchiotti G, Zeuner A
Cell death and differentiation 2015 Oct;22(10):1700-13
Cell death and differentiation 2015 Oct;22(10):1700-13
Establishment of highly tumorigenic human colorectal cancer cell line (CR4) with properties of putative cancer stem cells.
Rowehl RA, Burke S, Bialkowska AB, Pettet DW 3rd, Rowehl L, Li E, Antoniou E, Zhang Y, Bergamaschi R, Shroyer KR, Ojima I, Botchkina GI
PloS one 2014;9(6):e99091
PloS one 2014;9(6):e99091
CD44v6 is a marker of constitutive and reprogrammed cancer stem cells driving colon cancer metastasis.
Todaro M, Gaggianesi M, Catalano V, Benfante A, Iovino F, Biffoni M, Apuzzo T, Sperduti I, Volpe S, Cocorullo G, Gulotta G, Dieli F, De Maria R, Stassi G
Cell stem cell 2014 Mar 6;14(3):342-56
Cell stem cell 2014 Mar 6;14(3):342-56
Overexpression of progelatinase B/proMMP-9 affects migration regulatory pathways and impairs chronic lymphocytic leukemia cell homing to bone marrow and spleen.
Bailón E, Ugarte-Berzal E, Amigo-Jiménez I, Van den Steen P, Opdenakker G, García-Marco JA, García-Pardo A
Journal of leukocyte biology 2014 Aug;96(2):185-99
Journal of leukocyte biology 2014 Aug;96(2):185-99
Evaluation of protein biomarkers of prostate cancer aggressiveness.
Rizzardi AE, Rosener NK, Koopmeiners JS, Isaksson Vogel R, Metzger GJ, Forster CL, Marston LO, Tiffany JR, McCarthy JB, Turley EA, Warlick CA, Henriksen JC, Schmechel SC
BMC cancer 2014 Apr 5;14:244
BMC cancer 2014 Apr 5;14:244
Identification of a population of blood circulating tumor cells from breast cancer patients that initiates metastasis in a xenograft assay.
Baccelli I, Schneeweiss A, Riethdorf S, Stenzinger A, Schillert A, Vogel V, Klein C, Saini M, Bäuerle T, Wallwiener M, Holland-Letz T, Höfner T, Sprick M, Scharpff M, Marmé F, Sinn HP, Pantel K, Weichert W, Trumpp A
Nature biotechnology 2013 Jun;31(6):539-44
Nature biotechnology 2013 Jun;31(6):539-44
Expression of the CD44v2-10 isoform confers a metastatic phenotype: importance of the heparan sulfate attachment site CD44v3.
Barbour AP, Reeder JA, Walsh MD, Fawcett J, Antalis TM, Gotley DC
Cancer research 2003 Feb 15;63(4):887-92
Cancer research 2003 Feb 15;63(4):887-92
CD44 is exposed to the extracellular matrix at invasive sites in basal cell carcinomas.
Dingemans KP, Ramkema MD, Pals ST
Laboratory investigation; a journal of technical methods and pathology 2002 Mar;82(3):313-22
Laboratory investigation; a journal of technical methods and pathology 2002 Mar;82(3):313-22
CD44 is exposed to the extracellular matrix at invasive sites in basal cell carcinomas.
Dingemans KP, Ramkema MD, Pals ST
Laboratory investigation; a journal of technical methods and pathology 2002 Mar;82(3):313-22
Laboratory investigation; a journal of technical methods and pathology 2002 Mar;82(3):313-22
Effect of hyaluronan on xenotransplanted breast cancer.
Herrera-Gayol A, Jothy S
Experimental and molecular pathology 2002 Jun;72(3):179-85
Experimental and molecular pathology 2002 Jun;72(3):179-85
No comments: Submit comment
Supportive validation
- Submitted by
- Novus Biologicals (provider)
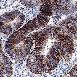
- Main image

- Experimental details
- CD44 in Human Colon Adenocarcinoma Tissue. CD44 in Human Colon Adenocarcinoma Tissue.
Supportive validation
- Submitted by
- Novus Biologicals (provider)
- Main image

- Experimental details
- Detection of CD44 in Human Blood Monocytes by Flow Cytometry. Human peripheral blood monocytes were stained with Mouse Anti-Human CD44 v6 Monoclonal Antibody (Catalog # BBA13, filled histogram) or isotype control antibody (Catalog # MAB002, open histogram), followed by Allophycocyanin-conjugated Anti-Mouse IgG Secondary Antibody (Catalog # F0101B).