GTX102111
antibody from GeneTex
Targeting: CD44
CD44R, CSPG8, HCELL, IN, MC56, MDU2, MDU3, MIC4, Pgp1
Antibody data
- Antibody Data
- Antigen structure
- References [23]
- Comments [0]
- Validations
- Western blot [11]
- Immunocytochemistry [1]
- Immunohistochemistry [2]
Submit
Validation data
Reference
Comment
Report error
- Product number
- GTX102111 - Provider product page

- Provider
- GeneTex
- Proper citation
- GeneTex Cat#GTX102111, RRID:AB_1240596
- Product name
- CD44 antibody
- Antibody type
- Polyclonal
- Reactivity
- Human, Mouse, Rabbit
- Host
- Rabbit
Submitted references β-Catenin expression is associated with cell invasiveness in pancreatic cancer.
A high-throughput pipeline for validation of antibodies.
The role of sentrin-specific protease 2 substrate recognition in TGF-β-induced tumorigenesis.
A Metabolic Basis for Endothelial-to-Mesenchymal Transition.
Thyroid hormone negatively regulates tumorigenesis through suppression of BC200.
Therapeutic effect of rosuvastatin and propylthiouracil on ameliorating high-cholesterol diet-induced fatty liver disease, fibrosis and inflammation in rabbit.
A potent indolylquinoline alleviates growth of human lung cancer cell tumorspheres.
Combination Twist1 and CA15-3 in axillary lymph nodes for breast cancer prognosis.
REST is a crucial regulator for acquiring EMT-like and stemness phenotypes in hormone-refractory prostate cancer.
Hyaluronic Acid Coated Albumin Nanoparticles for Targeted Peptide Delivery to the Retina.
LRIG1 opposes epithelial-to-mesenchymal transition and inhibits invasion of basal-like breast cancer cells.
Integrin β3 and CD44 levels determine the effects of the OPN-a splicing variant on lung cancer cell growth.
CD44-specific nanoparticles for redox-triggered reactive oxygen species production and doxorubicin release.
Identification of thiostrepton as a novel therapeutic agent that targets human colon cancer stem cells.
Comprehensive proteome quantification reveals NgBR as a new regulator for epithelial-mesenchymal transition of breast tumor cells.
Aspirin counteracts cancer stem cell features, desmoplasia and gemcitabine resistance in pancreatic cancer.
Differential protein expression between chondrogenic differentiated MSCs, undifferentiated MSCs and adult chondrocytes derived from Oryctolagus cuniculus in vitro.
Tumour-initiating capacity is independent of epithelial-mesenchymal transition status in breast cancer cell lines.
Atractylenolide I-mediated Notch pathway inhibition attenuates gastric cancer stem cell traits
Inhibition of glucose turnover by 3-bromopyruvate counteracts pancreatic cancer stem cell features and sensitizes cells to gemcitabine.
Yin Yang 1 is a target of microRNA-34 family and contributes to gastric carcinogenesis.
Expansion, characterization, and differentiation of rabbit bone marrow-derived mesenchymal stem cells in serum-free medium
Glucose-regulated protein 58 modulates β-catenin protein stability in a cervical adenocarcinoma cell line.
Nan JN, Kim OR, Lee MA
The Korean journal of internal medicine 2018 Oct 26;
The Korean journal of internal medicine 2018 Oct 26;
A high-throughput pipeline for validation of antibodies.
Sikorski K, Mehta A, Inngjerdingen M, Thakor F, Kling S, Kalina T, Nyman TA, Stensland ME, Zhou W, de Souza GA, Holden L, Stuchly J, Templin M, Lund-Johansen F
Nature methods 2018 Nov;15(11):909-912
Nature methods 2018 Nov;15(11):909-912
The role of sentrin-specific protease 2 substrate recognition in TGF-β-induced tumorigenesis.
Chang CC, Huang YS, Lin YM, Lin CJ, Jeng JC, Liu SM, Ho TL, Chang RT, Changou CA, Ho CC, Shih HM
Scientific reports 2018 Jun 28;8(1):9786
Scientific reports 2018 Jun 28;8(1):9786
A Metabolic Basis for Endothelial-to-Mesenchymal Transition.
Xiong J, Kawagishi H, Yan Y, Liu J, Wells QS, Edmunds LR, Fergusson MM, Yu ZX, Rovira II, Brittain EL, Wolfgang MJ, Jurczak MJ, Fessel JP, Finkel T
Molecular cell 2018 Feb 15;69(4):689-698.e7
Molecular cell 2018 Feb 15;69(4):689-698.e7
Thyroid hormone negatively regulates tumorigenesis through suppression of BC200.
Lin YH, Wu MH, Huang YH, Yeh CT, Chi HC, Tsai CY, Chuang WY, Yu CJ, Chung IH, Chen CY, Lin KH
Endocrine-related cancer 2018 Dec 1;25(12):967-979
Endocrine-related cancer 2018 Dec 1;25(12):967-979
Therapeutic effect of rosuvastatin and propylthiouracil on ameliorating high-cholesterol diet-induced fatty liver disease, fibrosis and inflammation in rabbit.
Lin PY, Chen CH, Wallace CG, Chen KH, Chang CL, Chen HH, Sung PH, Lin KC, Ko SF, Sun CK, Chang HW, Shao PL, Lee MS, Yip HK
American journal of translational research 2017;9(8):3827-3841
American journal of translational research 2017;9(8):3827-3841
A potent indolylquinoline alleviates growth of human lung cancer cell tumorspheres.
Ni YL, Hsieh CH, Kim SH, Wang JP, Su CL, Yao CF, Fang K
Apoptosis : an international journal on programmed cell death 2017 Oct;22(10):1235-1245
Apoptosis : an international journal on programmed cell death 2017 Oct;22(10):1235-1245
Combination Twist1 and CA15-3 in axillary lymph nodes for breast cancer prognosis.
Jiang X, Guo D, Li W, Yu T, Zhou J, Gong J
Molecular medicine reports 2017 Mar;15(3):1123-1134
Molecular medicine reports 2017 Mar;15(3):1123-1134
REST is a crucial regulator for acquiring EMT-like and stemness phenotypes in hormone-refractory prostate cancer.
Chang YT, Lin TP, Campbell M, Pan CC, Lee SH, Lee HC, Yang MH, Kung HJ, Chang PC
Scientific reports 2017 Mar 3;7:42795
Scientific reports 2017 Mar 3;7:42795
Hyaluronic Acid Coated Albumin Nanoparticles for Targeted Peptide Delivery to the Retina.
Huang D, Chen YS, Rupenthal ID
Molecular pharmaceutics 2017 Feb 6;14(2):533-545
Molecular pharmaceutics 2017 Feb 6;14(2):533-545
LRIG1 opposes epithelial-to-mesenchymal transition and inhibits invasion of basal-like breast cancer cells.
Yokdang N, Hatakeyama J, Wald JH, Simion C, Tellez JD, Chang DZ, Swamynathan MM, Chen M, Murphy WJ, Carraway Iii KL, Sweeney C
Oncogene 2016 Jun 2;35(22):2932-47
Oncogene 2016 Jun 2;35(22):2932-47
Integrin β3 and CD44 levels determine the effects of the OPN-a splicing variant on lung cancer cell growth.
Sun SJ, Wu CC, Sheu GT, Chang HY, Chen MY, Lin YY, Chuang CY, Hsu SL, Chang JT
Oncotarget 2016 Aug 23;7(34):55572-55584
Oncotarget 2016 Aug 23;7(34):55572-55584
CD44-specific nanoparticles for redox-triggered reactive oxygen species production and doxorubicin release.
Lin CW, Lu KY, Wang SY, Sung HW, Mi FL
Acta biomaterialia 2016 Apr 15;35:280-92
Acta biomaterialia 2016 Apr 15;35:280-92
Identification of thiostrepton as a novel therapeutic agent that targets human colon cancer stem cells.
Ju SY, Huang CY, Huang WC, Su Y
Cell death & disease 2015 Jul 2;6:e1801
Cell death & disease 2015 Jul 2;6:e1801
Comprehensive proteome quantification reveals NgBR as a new regulator for epithelial-mesenchymal transition of breast tumor cells.
Zhao B, Xu B, Hu W, Song C, Wang F, Liu Z, Ye M, Zou H, Miao QR
Journal of proteomics 2015 Jan 1;112:38-52
Journal of proteomics 2015 Jan 1;112:38-52
Aspirin counteracts cancer stem cell features, desmoplasia and gemcitabine resistance in pancreatic cancer.
Zhang Y, Liu L, Fan P, Bauer N, Gladkich J, Ryschich E, Bazhin AV, Giese NA, Strobel O, Hackert T, Hinz U, Gross W, Fortunato F, Herr I
Oncotarget 2015 Apr 30;6(12):9999-10015
Oncotarget 2015 Apr 30;6(12):9999-10015
Differential protein expression between chondrogenic differentiated MSCs, undifferentiated MSCs and adult chondrocytes derived from Oryctolagus cuniculus in vitro.
Tay LX, Lim CK, Mansor A, Kamarul T
International journal of medical sciences 2014;11(1):24-33
International journal of medical sciences 2014;11(1):24-33
Tumour-initiating capacity is independent of epithelial-mesenchymal transition status in breast cancer cell lines.
Xie G, Ji A, Yuan Q, Jin Z, Yuan Y, Ren C, Guo Z, Yao Q, Yang K, Lin X, Chen L
British journal of cancer 2014 May 13;110(10):2514-23
British journal of cancer 2014 May 13;110(10):2514-23
Atractylenolide I-mediated Notch pathway inhibition attenuates gastric cancer stem cell traits
Ma L, Mao R, Shen K, Zheng Y, Li Y, Liu J, Ni L
Biochemical and Biophysical Research Communications 2014 July;450(1):353-359
Biochemical and Biophysical Research Communications 2014 July;450(1):353-359
Inhibition of glucose turnover by 3-bromopyruvate counteracts pancreatic cancer stem cell features and sensitizes cells to gemcitabine.
Isayev O, Rausch V, Bauer N, Liu L, Fan P, Zhang Y, Gladkich J, Nwaeburu CC, Mattern J, Mollenhauer M, Rückert F, Zach S, Haberkorn U, Gross W, Schönsiegel F, Bazhin AV, Herr I
Oncotarget 2014 Jul 15;5(13):5177-89
Oncotarget 2014 Jul 15;5(13):5177-89
Yin Yang 1 is a target of microRNA-34 family and contributes to gastric carcinogenesis.
Wang AM, Huang TT, Hsu KW, Huang KH, Fang WL, Yang MH, Lo SS, Chi CW, Lin JJ, Yeh TS
Oncotarget 2014 Jul 15;5(13):5002-16
Oncotarget 2014 Jul 15;5(13):5002-16
Expansion, characterization, and differentiation of rabbit bone marrow-derived mesenchymal stem cells in serum-free medium
Jin L, Ji S, Shen M, Zhang J, Han J, Ni J
Animal Cells and Systems 2014 August;18(4):228-236
Animal Cells and Systems 2014 August;18(4):228-236
Glucose-regulated protein 58 modulates β-catenin protein stability in a cervical adenocarcinoma cell line.
Liao CJ, Wu TI, Huang YH, Chang TC, Lai CH, Jung SM, Hsueh C, Lin KH
BMC cancer 2014 Aug 1;14:555
BMC cancer 2014 Aug 1;14:555
No comments: Submit comment
Supportive validation
- Submitted by
- GeneTex (provider)
- Main image

- Experimental details
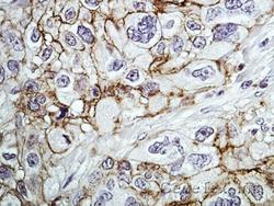
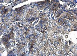
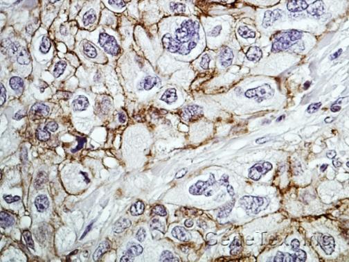
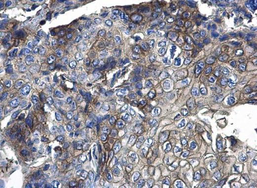
- Immunohistochemical analysis of paraffin-embedded Human pancreatic tumor, using CD44(GTX102111) antibody at 1:100 dilution.
- Validation comment
- WB
- Submitted by
- GeneTex (provider)
- Main image

- Experimental details
- Sample (30 ug of whole cell lysate) A: A549 B: H1299 C: MCF-7 10% SDS PAGE GTX102111 diluted at 1:10000
- Validation comment
- WB
- Submitted by
- GeneTex (provider)
- Main image

- Experimental details
- CD44 antibody detects CD44 protein by western blot analysis.A. 30 ?g A549 whole cell lysate/extract B. 30 ?g H1299 whole cell lysate/extract7.5% SDS-PAGECD44 antibody (GTX102111) dilution: 1:5000The HRP-conjugated anti-rabbit IgG antibody (GTX213110-01) was used to detect the primary antibody.
- Submitted by
- GeneTex (provider)
- Main image

- Experimental details
- CD44 antibody detects CD44 protein by western blot analysis. Whole cell extracts (30 ?g) was separated by 7.5% SDS-PAGE, and the membrane was blotted with CD44 antibody (GTX102111) diluted by 1:5000.
- Validation comment
- WB
- Submitted by
- GeneTex (provider)
- Main image

- Experimental details
- Various whole cell extracts (30 ?g) were separated by 10% SDS-PAGE, and the membrane was blotted with CD44 antibody (GTX102111) diluted at 1:5000. The HRP-conjugated anti-rabbit IgG antibody (GTX213110-01) was used to detect the primary antibody.
- Submitted by
- GeneTex (provider)
- Main image

- Experimental details
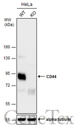
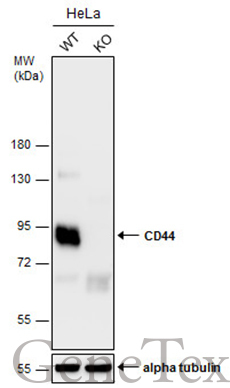
- Wild-type (WT) and CD44 knockout (KO) HeLa cell extracts (30 ?g) were separated by 7.5% SDS-PAGE, and the membrane was blotted with CD44 antibody (GTX102111) diluted at 1:7000. The HRP-conjugated anti-rabbit IgG antibody (GTX213110-01) was used to detect the primary antibody.
- Submitted by
- GeneTex (provider)
- Main image

- Experimental details
- Various whole cell extracts (30 ?g) were separated by 7.5% SDS-PAGE, and the membrane was blotted with CD44 antibody (GTX102111) diluted at 1:7000. The HRP-conjugated anti-rabbit IgG antibody (GTX213110-01) was used to detect the primary antibody.
- Submitted by
- GeneTex (provider)
- Main image

- Experimental details
- Untreated (¡V) and treated (+) MDA-MB-231 whole cell extracts (30 ?g) were separated by 7.5% SDS-PAGE, and the membrane was blotted with CD44 antibody (GTX102111) diluted at 1:7000. The HRP-conjugated anti-rabbit IgG antibody (GTX213110-01) was used to detect the primary antibody.
- Submitted by
- GeneTex (provider)
- Main image

- Experimental details
- Untreated (¡V) and treated (+) HeLa whole cell extracts (30 ?g) were separated by 7.5% SDS-PAGE, and the membrane was blotted with CD44 antibody (GTX102111) diluted at 1:10000. The HRP-conjugated anti-rabbit IgG antibody (GTX213110-01) was used to detect the primary antibody.
- Submitted by
- GeneTex (provider)
- Main image

- Experimental details
- Wild-type (WT) and CD44 knockout (KO) HeLa cell extracts (30 ?g) were separated by 7.5% SDS-PAGE, and the membrane was blotted with CD44 antibody (GTX102111) diluted at 1:7000. The HRP-conjugated anti-rabbit IgG antibody (GTX213110-01) was used to detect the primary antibody.
- Submitted by
- GeneTex (provider)
- Main image

- Experimental details
- Untreated (¡V) and treated (+) HeLa whole cell extracts (30 ?g) were separated by 7.5% SDS-PAGE, and the membrane was blotted with CD44 antibody (GTX102111) diluted at 1:10000. The HRP-conjugated anti-rabbit IgG antibody (GTX213110-01) was used to detect the primary antibody.
Supportive validation
- Submitted by
- GeneTex (provider)
- Main image

- Experimental details
- Confocal immunofluorescence analysis (Olympus FV10i) of methanol-fixed HeLa, using CD44(GTX102111) antibody (Green) at 1:500 dilution. Alpha-tubulin filaments were labeled with GTX11304 (Red) at 1:2000.
Supportive validation
- Submitted by
- GeneTex (provider)
- Main image

- Experimental details
- Immunohistochemical analysis of paraffin-embedded Human pancreatic tumor, using CD44(GTX102111) antibody at 1:100 dilution.
- Submitted by
- GeneTex (provider)
- Main image

- Experimental details
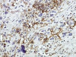
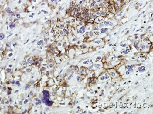
- CD44 antibody detects CD44 protein at membrane and cytoplasm on human endometrial carcinoma by immunohistochemical analysis. Sample: Paraffin-embedded human endometrial carcinoma . CD44 antibody (GTX102111) diluted at 1:500.