MAB10538
antibody from Abnova Corporation
Targeting: CD44
CD44R, CSPG8, HCELL, IN, MC56, MDU2, MDU3, MIC4, Pgp1
Antibody data
- Antibody Data
- Antigen structure
- References [0]
- Comments [0]
- Validations
- Western blot [2]
- Immunocytochemistry [3]
- Immunohistochemistry [1]
- Flow cytometry [1]
Submit
Validation data
Reference
Comment
Report error
- Product number
- MAB10538 - Provider product page

- Provider
- Abnova Corporation
- Proper citation
- Abnova Corporation Cat#MAB10538, RRID:AB_11188078
- Product name
- CD44 monoclonal antibody, clone 8E2F3
- Antibody type
- Monoclonal
- Description
- Mouse monoclonal antibody raised against partial recombinant CD44.
- Isotype
- IgG
- Antibody clone number
- 8E2F3
- Storage
- Store at 4°C. For long term storage store at -20°C.Aliquot to avoid repeated freezing and thawing.
No comments: Submit comment
Supportive validation
- Submitted by
- Abnova Corporation (provider)
- Main image

- Experimental details
- Western blot analysis using CD44 monoclonal antibody, clone 8E2F3 (Cat # MAB10538) against HeLa (1) and HUVE-12(2) cell lysate.
- Submitted by
- Abnova Corporation (provider)
- Main image

- Experimental details
- Western blot analysis using CD44 monoclonal antibody, clone 8E2F3 (Cat # MAB10538) against truncated Trx-CD44 recombinant protein (1) and GST-CD44 (aa 628-699) recombinant protein (2).
Supportive validation
- Submitted by
- Abnova Corporation (provider)
- Main image

- Experimental details
- Confocal immunofluorescence analysis of methanol-fixed A-431 (A), HeLa (B), PANC-1 (C) and EC (D) cells using CD44 monoclonal antibody, clone 8E2F3 (Cat # MAB10538) (green), showing membrane localization. Blue: DRAQ5 fluorescent DNA dye.
- Validation comment
- Immunofluorescence
- Submitted by
- Abnova Corporation (provider)
- Main image

- Experimental details
- Confocal analysis of paraffin-embedded human lung cancer tissues using CD44 monoclonal antibody, clone 8E2F3 (Cat # MAB10538) (green), showing membrane localization. Blue: DRAQ5 fluorescent DNA dye.
- Validation comment
- Immunofluorescence
- Submitted by
- Abnova Corporation (provider)
- Main image

- Experimental details
- Confocal immunofluorescence analysis of PANC-1 cells using CD44 monoclonal antibody, clone 8E2F3 (Cat # MAB10538) (green). Red: Actin filaments have been labeled with DY-554 phalloidin. Blue: DRAQ5 fluorescent DNA dye.
- Validation comment
- Immunofluorescence
Supportive validation
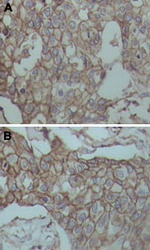
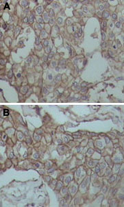
- Submitted by
- Abnova Corporation (provider)
- Main image

- Experimental details
- Immunohistochemical analysis of paraffin-embedded human breast carcinoma tissues, showing membrane localization with DAB staining using CD44 monoclonal antibody, clone 8E2F3 (Cat # MAB10538).
- Validation comment
- Immunohistochemistry (Formalin/PFA-fixed paraffin-embedded sections)
Supportive validation
- Submitted by
- Abnova Corporation (provider)
- Main image

- Experimental details
- Flow cytometric analysis of HeLa cells using CD44 monoclonal antibody, clone 8E2F3 (Cat # MAB10538) (A) and negative control (B).
- Validation comment
- Flow Cytometry