22981
antibody from Signalway Antibody LLC
Targeting: CD44
CD44R, CSPG8, HCELL, IN, MC56, MDU2, MDU3, MIC4, Pgp1
Antibody data
- Antibody Data
- Antigen structure
- References [0]
- Comments [0]
- Validations
- Immunohistochemistry [1]
Submit
Validation data
Reference
Comment
Report error
- Product number
- 22981 - Provider product page

- Provider
- Signalway Antibody LLC
- Proper citation
- Signalway Cat#22981, RRID:AB_11123046
- Product name
- CD44 antigen isoform 4 antibody
- Antibody type
- Polyclonal
- Antigen
- Recombinant protein fragment contain a sequence corresponding to a region within amino acids 1 and 258 of CD44
- Host
- Rabbit
- Conjugate
- Unconjugated
- Vial size
- 100µl
No comments: Submit comment
Supportive validation
- Submitted by
- Signalway Antibody LLC (provider)
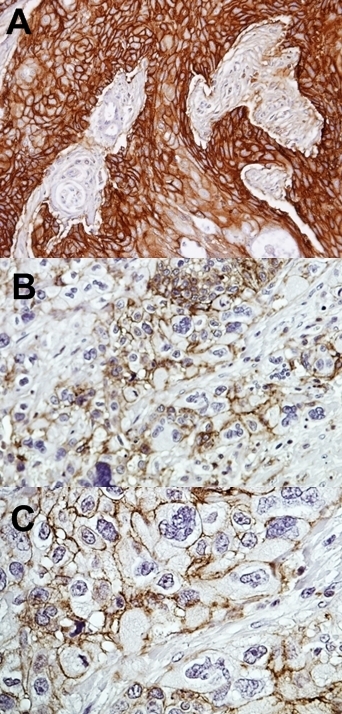
- Main image

- Experimental details
- A:Immunohistochemical analysis of paraffin-embedded Cal27 xenograft, using CD44 antibody at 1: 100 dilution. B:Immunohistochemical analysis of paraffin-embedded Human pancreatic tumor, using CD44 antibody at 1: 100 dilution.(20X) C:Immunohistochemical analysis of paraffin-embedded Human pancreatic tumor, using CD44 antibody at 1: 100 dilution.(40X)