Antibody data
- Antibody Data
- Antigen structure
- References [0]
- Comments [0]
- Validations
- Western blot [1]
- Immunohistochemistry [2]
- Flow cytometry [1]
Submit
Validation data
Reference
Comment
Report error
- Product number
- NBP2-66839 - Provider product page

- Provider
- Novus Biologicals
- Product name
- Rabbit Monoclonal FGFR3 Antibody
- Antibody type
- Monoclonal
- Description
- Protein A purified.
- Reactivity
- Human
- Host
- Rabbit
- Isotype
- IgG
- Vial size
- 100 ul
- Storage
- Store at 4C short term. Aliquot and store at -20C long term. Avoid freeze-thaw cycles.
No comments: Submit comment
Supportive validation
- Submitted by
- Novus Biologicals (provider)
- Main image

- Experimental details
- Western Blot: FGF R3 Antibody (JM81-10) [NBP2-66839] - Analysis of FGFR3 on Hela cells lysates using anti-FGFR3 antibody at 1/500 dilution.
Supportive validation
- Submitted by
- Novus Biologicals (provider)
- Main image

- Experimental details
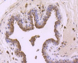
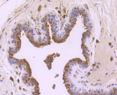
- Immunohistochemistry-Paraffin: FGF R3 Antibody (JM81-10) [NBP2-66839] - Analysis of paraffin-embedded human breast cancer tissue using anti-FGFR3 antibody. Counter stained with hematoxylin.
- Submitted by
- Novus Biologicals (provider)
- Main image

- Experimental details
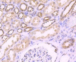
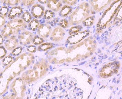
- Immunohistochemistry-Paraffin: FGF R3 Antibody (JM81-10) [NBP2-66839] - Analysis of paraffin-embedded human kidney tissue using anti-FGFR3 antibody. Counter stained with hematoxylin.
Supportive validation
- Submitted by
- Novus Biologicals (provider)
- Main image

- Experimental details
- Flow Cytometry: FGFR3 Antibody (JM81-10) [NBP2-66839] - FGF R3 Antibody (JM81-10) [NBP2-66839] - Analysis of HepG2 cells with FGFR3 antibody at 1/50 dilution (red) compared with an unlabelled control (cells without incubation with primary antibody; black). Alexa Fluor 488-conjugated goat anti rabbit IgG was used as the secondary antibody.