Antibody data
- Antibody Data
- Antigen structure
- References [0]
- Comments [0]
- Validations
- Immunohistochemistry [1]
Submit
Validation data
Reference
Comment
Report error
- Product number
- PAB11649 - Provider product page

- Provider
- Abnova Corporation
- Proper citation
- Abnova Corporation Cat#PAB11649, RRID:AB_1675069
- Product name
- FGFR3 polyclonal antibody
- Antibody type
- Polyclonal
- Description
- Rabbit polyclonal antibody raised against synthetic peptide of FGFR3.
- Storage
- Store at 4°C.
No comments: Submit comment
Supportive validation
- Submitted by
- Abnova Corporation (provider)
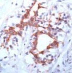
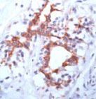
- Main image

- Experimental details
- Immunohistochemical staining of FGFR3 on formalin fixed, paraffin embedded human breast cancer with FGFR3 polyclonal antibody (Cat # PAB11649).
- Validation comment
- Immunohistochemistry (Formalin/PFA-fixed paraffin-embedded sections)