Antibody data
- Antibody Data
- Antigen structure
- References [1]
- Comments [0]
- Validations
- Western blot [1]
- Immunocytochemistry [1]
- Immunohistochemistry [1]
Submit
Validation data
Reference
Comment
Report error
- Product number
- TA801078 - Provider product page

- Provider
- OriGene
- Proper citation
- OriGene Cat#TA801078, RRID:AB_2625792
- Product name
- FGFR3 mouse monoclonal antibody, clone OTI1B10 (formerly 1B10)
- Antibody type
- Monoclonal
- Description
- FGFR3 mouse monoclonal antibody, clone OTI1B10 (formerly 1B10)
- Host
- Mouse
- Conjugate
- Unconjugated
- Epitope
- FGFR3
- Isotype
- IgG
- Antibody clone number
- OTI1B10
- Vial size
- 100 µl
- Concentration
- NULL
Submitted references Biglycan is a novel binding partner of fibroblast growth factor receptor 3c (FGFR3c) in the human testis.
Winge SB, Nielsen J, Jørgensen A, Owczarek S, Ewen KA, Nielsen JE, Juul A, Berezin V, Rajpert-De Meyts E
Molecular and cellular endocrinology 2015 Jan 5;399:235-43
Molecular and cellular endocrinology 2015 Jan 5;399:235-43
No comments: Submit comment
Supportive validation
- Submitted by
- OriGene (provider)
- Main image

- Experimental details
- HEK293T cells were transfected with the pCMV6-ENTRY control (Left lane) or pCMV6-ENTRY FGFR3 (RC215533, Right lane) cDNA for 48 hrs and lysed. Equivalent amounts of cell lysates (5 ug per lane) were separated by SDS-PAGE and immunoblotted with anti-FGFR3.
- Validation comment
- WB
Supportive validation
- Submitted by
- OriGene (provider)
- Main image

- Experimental details
- Figure from citation: Immunohistochemical and Immunofluorescense staining with anti-BGN and anti-FGFR3 of serial sections of adult human testis tissue with full spermatogenesis and fetal bone sample (gestational week 10). Scale bar is 50 um for all images. Dilution: 1:200
- Validation comment
- IF
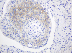
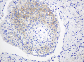
Supportive validation
- Submitted by
- OriGene (provider)
- Main image

- Experimental details
- Immunohistochemical staining of paraffin-embedded Carcinoma of Human lung tissue using anti-FGFR3 mouse monoclonal antibody. (Heat-induced epitope retrieval by 10mM citric buffer, pH6.0, 120C for 3min, TA801078)
- Validation comment
- IHC