Antibody data
- Antibody Data
- Antigen structure
- References [0]
- Comments [0]
- Validations
- Western blot [1]
- Immunohistochemistry [6]
Submit
Validation data
Reference
Comment
Report error
- Product number
- Ab107009 - Provider product page

- Provider
- Aladdin Scientific
- Product name
- HDAC1 Mouse mAb
- Antibody type
- Monoclonal
- Description
- Mouse anti Human HDAC1 Antibody, Monoclonal (E22), could be used for WB, IHC, IF, ICC and so on.Application: ÊWB: 0.2-2_g/mLIHC: 5-20_g/mLICC/IF: 5-20_g/mLProtein FunctionResponsible for the deacetylation of lysine residues on the N-terminal part of the core histones (H2A, H2B, H3 and H4). Histone deacetylation gives a tag for epigenetic repression and plays an important role in transcriptional regulation, cell cycle progression and developmental events. Histone deacetylases act via the formation of large multiprotein complexes. Deacetylates SP proteins, SP1 and SP3, and regulates their function. Component of the BRG1-RB1-HDAC1 complex, which negatively regulates the CREST-mediated transcription in resting neurons. Upon calcium stimulation, HDAC1 is released from the complex and CREBBP is recruited, which facilitates transcriptional activation. Deacetylates TSHZ3 and regulates its transcriptional repressor activity. Deacetylates 'Lys-310' in RELA and thereby inhibits the transcriptional activity of NF-kappa-B.Post-translationalSumoylated on Lys-444 and Lys-476; which promotes enzymatic activity. Desumoylated by SENP1.Phosphorylation on Ser-421 and Ser-423 promotes enzymatic activity and interactions with NuRD and SIN3 complexes.Ubiquitinated by CHFR, leading to its degradation by the proteasome.
- Reactivity
- Human, Mouse, Rat, Bovine
- Host
- Mouse
- Conjugate
- Unconjugated
- Antigen sequence
AA 1-482- Antibody clone number
- E22
- Vial size
- 100_l,10_l,1ml,20_l,50_l
- Concentration
- Lot by Lot
- Storage
- Store at 4¡C short term (1-2 weeks). Store at -20¡C long term (24 months). Upon delivery aliquot. Avoid freeze/thaw cycle.
No comments: Submit comment
Supportive validation
- Submitted by
- Aladdin Scientific (provider)
- Main image

- Experimental details
- HDAC1 Mouse mAb (Ab107009) - Western Blot All lanes: HDAC1 Mouse mAb (Ab107009) at 1/1000 dilution Samples: Lysates at 20 µg per lane Secondary: Goat Anti-Mouse IgG H&L (HRP) (Ab138040) at 1/20000 dilution Predicted band size: 62 kDa Observed band size: 63 kDa Exposure time: 1.2 s
Supportive validation
- Submitted by
- Aladdin Scientific (provider)
- Main image

- Experimental details
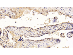
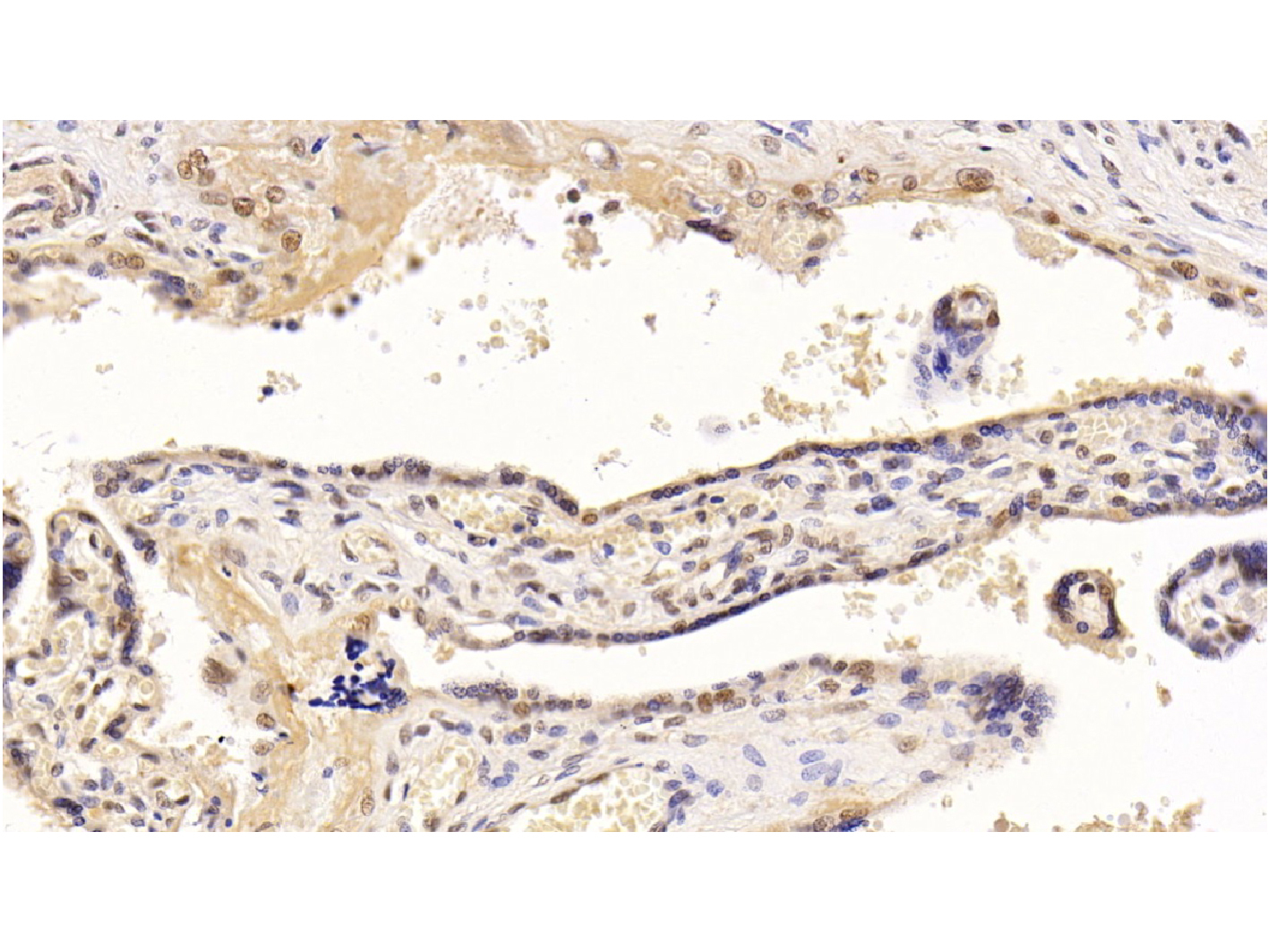
- HDAC1 Mouse mAb (Ab107009) - IHC DAB staining on IHC Sample: Human Placenta Tissue Primary Ab: 10ug/mL HDAC1 Mouse mAb (Ab107009) Second Ab: 2µg/mL HRP-Linked Caprine Anti-Mouse IgG Polyclonal Antibody.
- Submitted by
- Aladdin Scientific (provider)
- Main image

- Experimental details
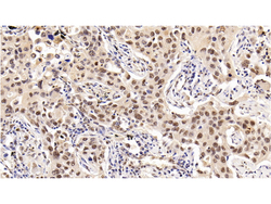
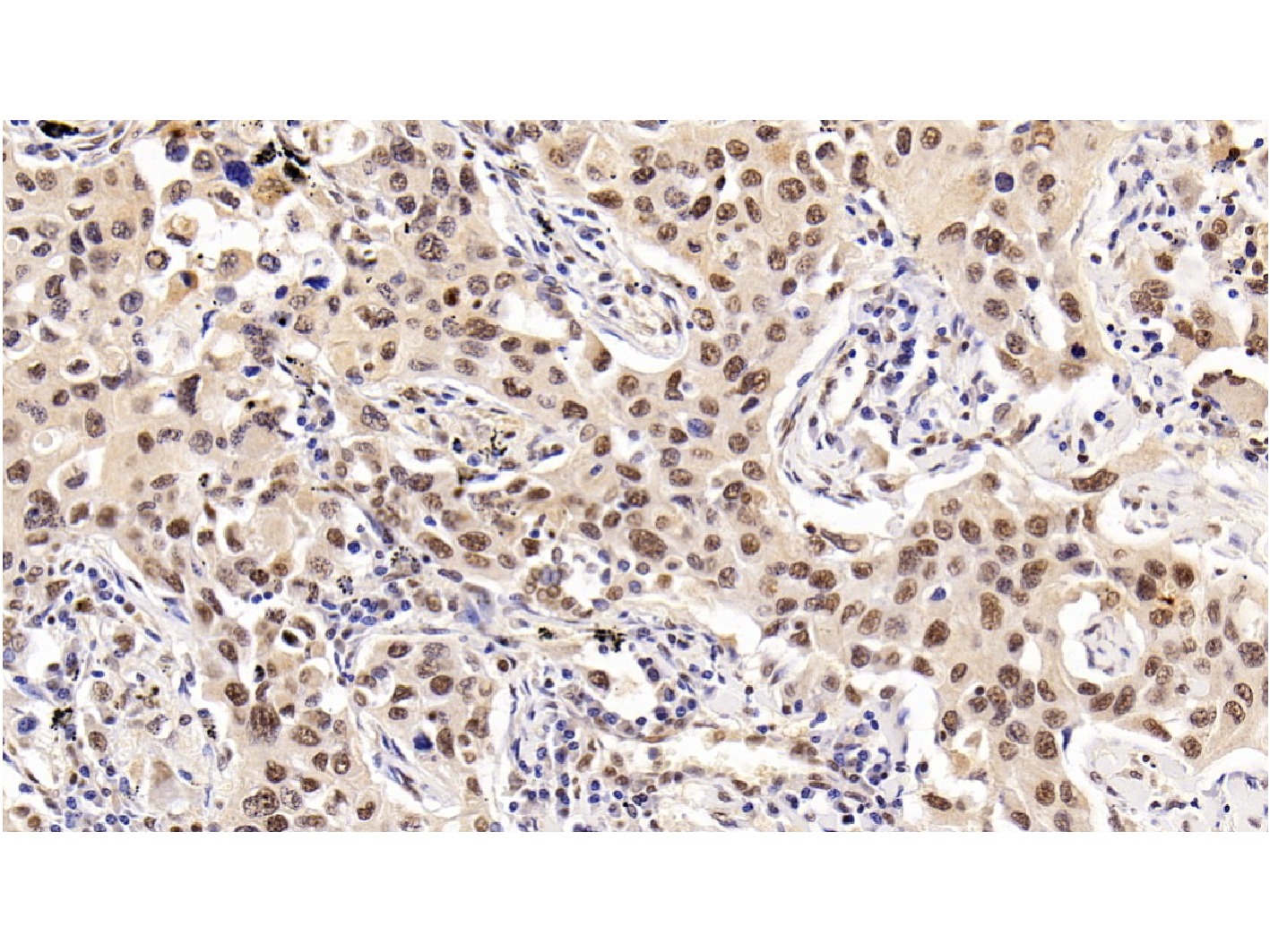
- HDAC1 Mouse mAb (Ab107009) - IHC DAB staining on IHC Sample: Human Lung cancer Tissue Primary Ab: 10ug/mL HDAC1 Mouse mAb (Ab107009) Second Ab: 2µg/mL HRP-Linked Caprine Anti-Mouse IgG Polyclonal Antibody.
- Submitted by
- Aladdin Scientific (provider)
- Main image

- Experimental details
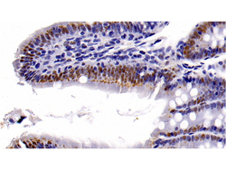
- HDAC1 Mouse mAb (Ab107009) - IHC DAB staining on IHC Sample: Rat Colon Tissue Primary Ab: 10ug/mL HDAC1 Mouse mAb (Ab107009) Second Ab: 2µg/mL HRP-Linked Caprine Anti-Mouse IgG Polyclonal Antibody.
- Submitted by
- Aladdin Scientific (provider)
- Main image

- Experimental details
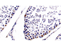
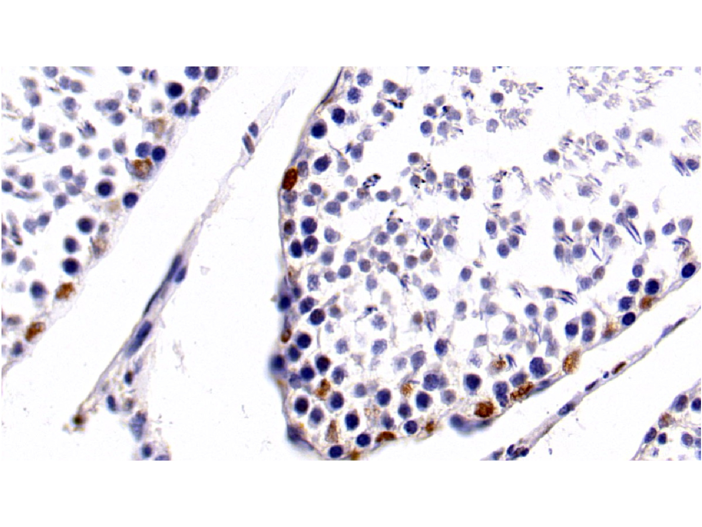
- HDAC1 Mouse mAb (Ab107009) - IHC DAB staining on IHC Sample: Rat Testis Tissue Primary Ab: 10ug/mL HDAC1 Mouse mAb (Ab107009) Second Ab: 2µg/mL HRP-Linked Caprine Anti-Mouse IgG Polyclonal Antibody.
- Submitted by
- Aladdin Scientific (provider)
- Main image

- Experimental details
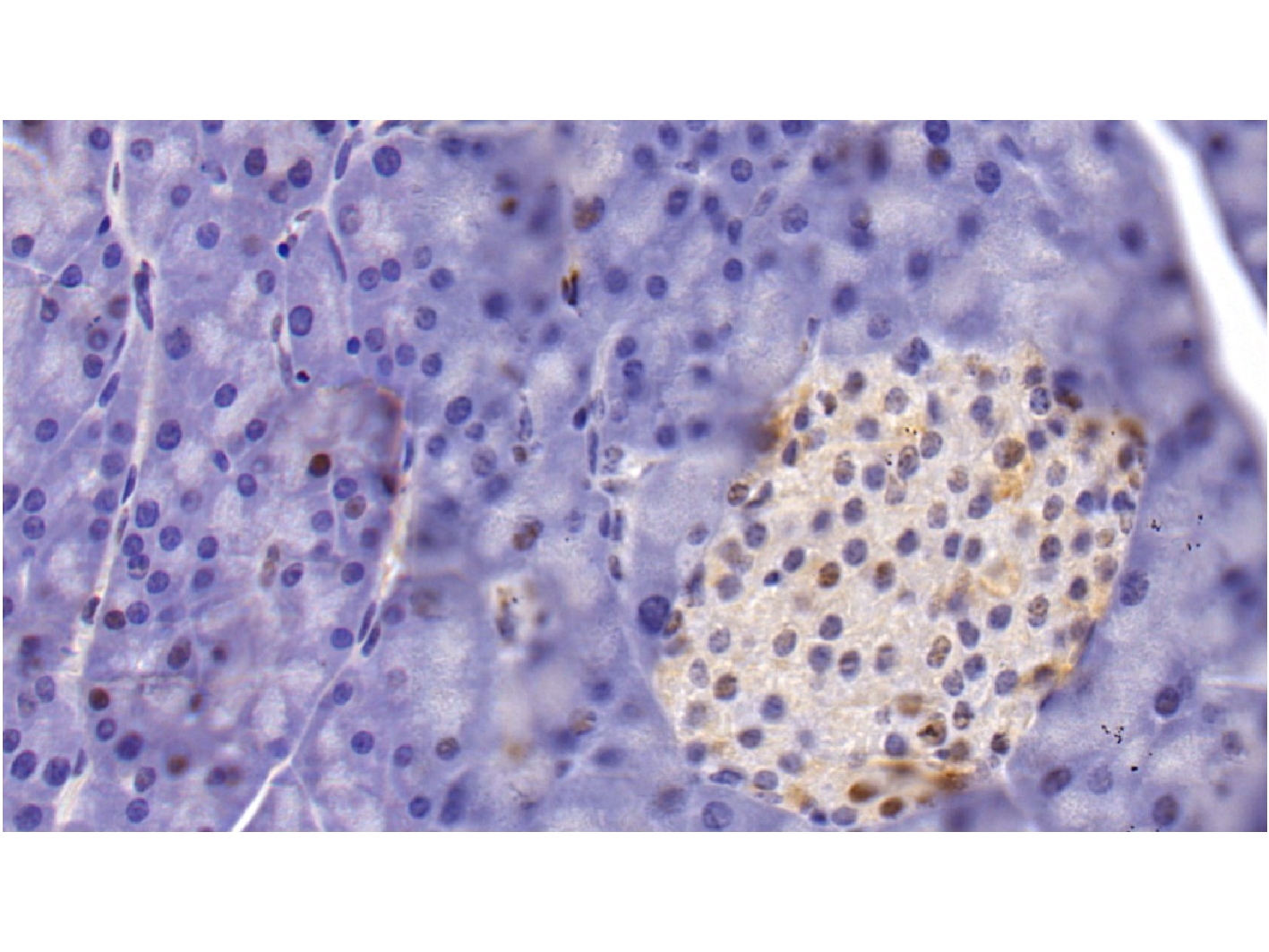
- HDAC1 Mouse mAb (Ab107009) - IHC DAB staining on IHC Sample: Mouse Pancreas Tissue Primary Ab: 10ug/mL HDAC1 Mouse mAb (Ab107009) Second Ab: 2µg/mL HRP-Linked Caprine Anti-Mouse IgG Polyclonal Antibody.
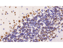
- Submitted by
- Aladdin Scientific (provider)
- Main image

- Experimental details
- HDAC1 Mouse mAb (Ab107009) - IHC DAB staining on IHC Sample: Mouse Cerebellum Tissue Primary Ab: 10ug/mL HDAC1 Mouse mAb (Ab107009) Second Ab: 2µg/mL HRP-Linked Caprine Anti-Mouse IgG Polyclonal Antibody.