Antibody data
- Antibody Data
- Antigen structure
- References [0]
- Comments [0]
- Validations
- Western blot [3]
- ELISA [1]
- Immunocytochemistry [1]
- Immunohistochemistry [1]
Submit
Validation data
Reference
Comment
Report error
- Product number
- AM31797PU-N - Provider product page

- Provider
- OriGene
- Product name
- HDAC1 mouse monoclonal antibody, clone 5C11, Purified
- Antibody type
- Monoclonal
- Description
- HDAC1 mouse monoclonal antibody, clone 5C11, Purified
- Host
- Mouse
- Conjugate
- Unconjugated
- Epitope
- HDAC1
- Isotype
- IgG
- Antibody clone number
- 5C11
- Vial size
- 50 µg
- Concentration
- 0.26 mg/ml
No comments: Submit comment
Supportive validation
- Submitted by
- OriGene (provider)
- Main image

- Experimental details
- Western Blot analysis of HDAC1 expression in HeLa nuclear extract.
- Validation comment
- WB
- Submitted by
- OriGene (provider)
- Main image

- Experimental details
- Western Blot analysis of HDAC1 expression in Raw 264.7 cell lysate.
- Validation comment
- WB
- Submitted by
- OriGene (provider)
- Main image

- Experimental details
- Western Blot analysis of HDAC1 expression in transfected 293T cell line by HDAC1 monoclonal antibody.
- Validation comment
- WB
Supportive validation
- Submitted by
- OriGene (provider)
- Main image

- Experimental details
- Detection limit for recombinant GST tagged HDAC1 is approximately 0.1ng/ml as a capture antibody.
- Validation comment
- ELISA
Supportive validation
- Submitted by
- OriGene (provider)
- Main image

- Experimental details
- Immunofluorescence of monoclonal antibody to HDAC1 on HeLa cell. [antibody concentration 10 ug/ml]
- Validation comment
- IF
Supportive validation
- Submitted by
- OriGene (provider)
- Main image

- Experimental details
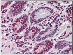
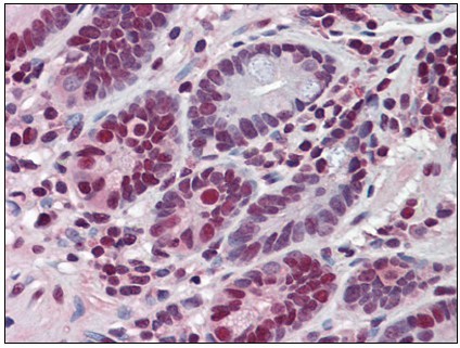
- Human Small Intestine: Formalin-Fixed, Paraffin-Embedded (FFPE)
- Validation comment
- IHC