Antibody data
- Antibody Data
- Antigen structure
- References [0]
- Comments [0]
- Validations
- Western blot [1]
- Immunohistochemistry [1]
Submit
Validation data
Reference
Comment
Report error
- Product number
- AP22098PU-N - Provider product page
- Provider
- Acris Antibodies GmbH
- Proper citation
- Acris Antibodies GmbH Cat#AP22098PU-N, RRID:AB_10757692
- Product name
- anti PER2 (750-800)
- Antibody type
- Polyclonal
- Antigen
- Amino acids 750-800 of Human PER2
- Reactivity
- Human, Mouse, Rat, Simian
- Host
- Rabbit
- Vial size
- 0.1 mg
- Concentration
- 0.5 mg/ml
No comments: Submit comment
Supportive validation
- Submitted by
- Acris Antibodies GmbH (provider)
- Main image
- Experimental details
- Western blot analysis of PER2 in human brain lysate using 1) preimmune sera at 1:5000 and 2) peptide affinity purified AP22098PU-N at 2.0 µg/ml. Goat anti-rabbit Ig HRP secondary antibody and ECL substrate solution were used for this test.
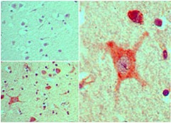
Supportive validation
- Submitted by
- Acris Antibodies GmbH (provider)
- Main image
- Experimental details
- Immunohistochemical analysis of PER2 in formalin-fixed, paraffin-embedded human brain tissue using an isotype control (top left) and AP22098PU-N (bottom left, right) at 5 µg/ml.