Antibody data
- Antibody Data
- Antigen structure
- References [0]
- Comments [0]
- Validations
- Western blot [1]
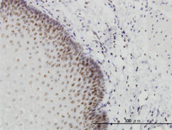
- Immunohistochemistry [2]
Submit
Validation data
Reference
Comment
Report error
- Product number
- ABIN4948243 - Provider product page
- Provider
- antibodies-online
- Product name
- anti-Period Homolog 2 (Drosophila) (PER2) (AA 1-101) antibody
- Antibody type
- Monoclonal
- Description
- Purified
- Reactivity
- Human
- Host
- Mouse
- Epitope
- AA 1-101
- Isotype
- IgG
- Antibody clone number
- 5C10
- Vial size
- 100 μg
- Storage
- Maintain refrigerated at 2-8°C for up to 6 months. For long term storage store at -20°C in small aliquots to prevent freeze-thaw cycles.Preca
No comments: Submit comment
Supportive validation
- Submitted by
- antibodies-online (provider)
- Main image
- Experimental details
- WB
Supportive validation
- Submitted by
- antibodies-online (provider)
- Main image
- Experimental details
- IHC
- Submitted by
- antibodies-online (provider)
- Main image
- Experimental details
- IHC