Antibody data
- Antibody Data
- Antigen structure
- References [0]
- Comments [0]
- Validations
- Western blot [5]
- Immunohistochemistry [4]
Submit
Validation data
Reference
Comment
Report error
- Product number
- 55212-1-AP - Provider product page
- Provider
- Invitrogen Antibodies
- Product name
- PLS1 Polyclonal Antibody
- Antibody type
- Polyclonal
- Antigen
- Synthetic peptide
- Reactivity
- Human, Mouse, Rat
- Host
- Rabbit
- Isotype
- IgG
- Vial size
- 150 µL
- Concentration
- 0.19 mg/mL
- Storage
- -20°C
No comments: Submit comment
Supportive validation
- Submitted by
- Invitrogen Antibodies (provider)
- Main image
- Experimental details
- COLO 320 cells were subjected to SDS PAGE followed by western blot with 55212-1-AP (PLS1 antibody) at dilution of 1:1000 incubated at room temperature for 1.5 hours.
- Submitted by
- Invitrogen Antibodies (provider)
- Main image
- Experimental details
- COLO 320 cells were subjected to SDS PAGE followed by western blot with 55212-1-AP (PLS1 antibody) at dilution of 1:500 incubated at room temperature for 1.5 hours.
- Submitted by
- Invitrogen Antibodies (provider)
- Main image
- Experimental details
- COLO 320 cells were subjected to SDS PAGE followed by western blot with 55212-1-AP (PLS1 antibody) at dilution of 1:500 incubated at room temperature for 1.5 hours.
- Submitted by
- Invitrogen Antibodies (provider)
- Main image
- Experimental details
- Mouse small intestine tissue were subjected to SDS PAGE followed by western blot with 55212-1-AP (PLS1 antibody) at dilution of 1:1200 incubated at room temperature for 1.5 hours.
- Submitted by
- Invitrogen Antibodies (provider)
- Main image
- Experimental details
- COLO 320 cells were subjected to SDS PAGE followed by western blot with 55212-1-AP (PLS1 antibody) at dilution of 1:1000 incubated at room temperature for 1.5 hours.
Supportive validation
- Submitted by
- Invitrogen Antibodies (provider)
- Main image
- Experimental details
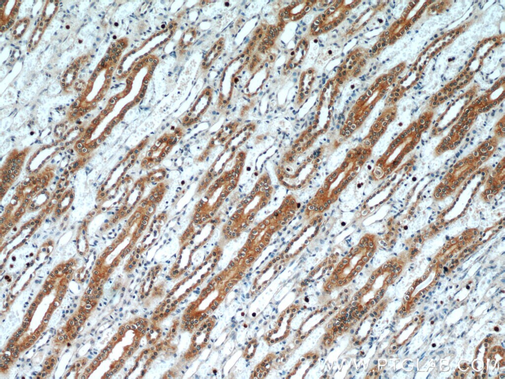
- Immunohistochemistry of paraffin-embedded human kidney using 55212-1-AP (PLS1 antibody) at dilution of 1:50 (under 10x lens).
- Submitted by
- Invitrogen Antibodies (provider)
- Main image
- Experimental details
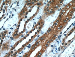
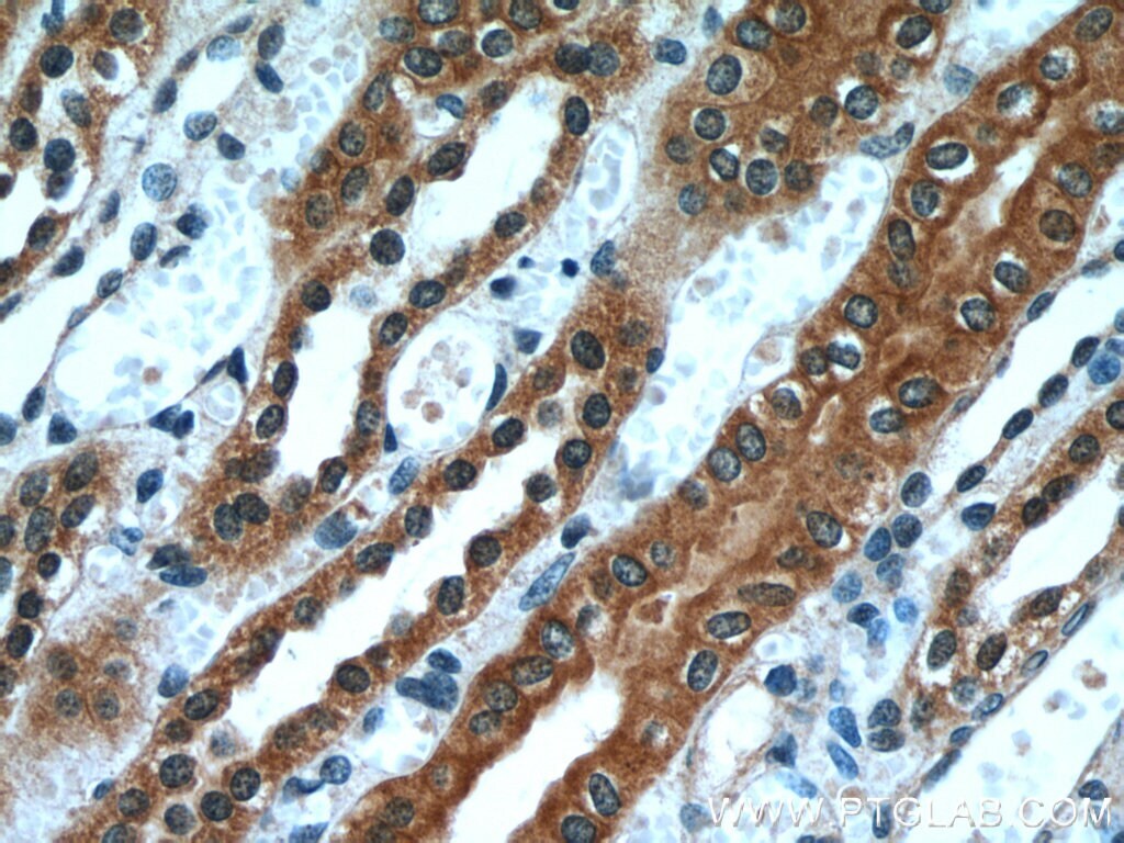
- Immunohistochemistry of paraffin-embedded human kidney using 55212-1-AP (PLS1 antibody) at dilution of 1:50 (under 40x lens).
- Submitted by
- Invitrogen Antibodies (provider)
- Main image
- Experimental details
- Immunohistochemistry of paraffin-embedded human colon using 55212-1-AP (PLS1 antibody) at dilution of 1:50 (under 10x lens).
- Submitted by
- Invitrogen Antibodies (provider)
- Main image
- Experimental details
- Immunohistochemistry of paraffin-embedded human colon using 55212-1-AP (PLS1 antibody) at dilution of 1:50 (under 40x lens).