Antibody data
- Antibody Data
- Antigen structure
- References [0]
- Comments [0]
- Validations
- Western blot [1]
- Immunohistochemistry [2]
Submit
Validation data
Reference
Comment
Report error
- Product number
- LS-C163799 - Provider product page
- Provider
- LSBio
- Product name
- PLS1 / Fimbrin Antibody (aa550-579) LS-C163799
- Antibody type
- Polyclonal
- Description
- Protein A purified
- Reactivity
- Human
- Host
- Rabbit
- Storage
- Maintain refrigerated at 2°C to 8°C for up to 6 months. For long term storage store at -20°C.
No comments: Submit comment
Enhanced validation
- Submitted by
- LSBio (provider)
- Enhanced method
- Genetic validation
- Main image
- Experimental details
- PLS1 Antibody western blot of Jurkat cell line lysates (35 ug/lane). The PLS1 antibody detected the PLS1 protein (arrow).
Supportive validation
- Submitted by
- LSBio (provider)
- Enhanced method
- Genetic validation
- Main image
- Experimental details
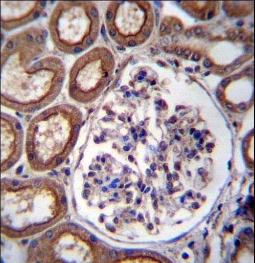
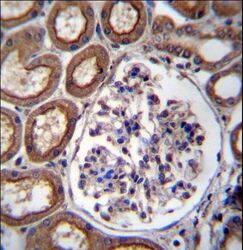
- PLS1 Antibody immunohistochemistry of formalin-fixed and paraffin-embedded human kidney tissue followed by peroxidase-conjugated secondary antibody and DAB staining.
- Submitted by
- LSBio (provider)
- Enhanced method
- Genetic validation
- Main image
- Experimental details
- PLS1 Antibody immunohistochemistry of formalin-fixed and paraffin-embedded human kidney tissue followed by peroxidase-conjugated secondary antibody and DAB staining.