Antibody data
- Antibody Data
- Antigen structure
- References [0]
- Comments [0]
- Validations
- Western blot [2]
- Immunohistochemistry [1]
Submit
Validation data
Reference
Comment
Report error
- Product number
- OAAB01413 - Provider product page

- Provider
- Aviva Systems Biology
- Product name
- AKR1A1 antibody - C-terminal region
- Antibody type
- Polyclonal
- Reactivity
- Human
- Host
- Rabbit
- Vial size
- 400ul
- Storage
- Maintain refrigerated at 2-8°C for up to 6 months. For long term storage store at -20°C in small aliquots to prevent freeze-thaw cycles.
No comments: Submit comment
Supportive validation
- Submitted by
- Aviva Systems Biology (provider)
- Main image

- Experimental details
- Western blot analysis of AKR1A1 (arrow) using rabbit polyclonal AKR1A1 Antibody (C-term) either nontransfected (Lane 1) or lysates transiently transfected transfected (Lane 2) with the AKR1A1 gene.
- Sample type
- lysatestransiently transfected with the AKR1A1 gene.
- Primary Ab dilution
- 1.0 µg/mL
- Protocol
- Protocol
- Submitted by
- Aviva Systems Biology (provider)
- Main image

- Experimental details
- Western blot analysis of anti-AKR1A1 Antibody (C-term) in Y79 cell lysates (35ug/lane). AKR1A1(arrow) was detected using the purified Pab (1:60dilution).
- Sample type
- Y79 cell line lysates
- Primary Ab dilution
- 1.0 µg/mL
- Protocol
- Protocol
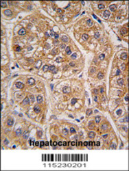
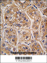
Supportive validation
- Submitted by
- Aviva Systems Biology (provider)
- Main image

- Experimental details
- Formalin-fixed and paraffin-embedded human hepatocarcinoma tissue reacted with AKR1A1 antibody (C-term) , which was peroxidase-conjugated to the secondary antibody, followed by DAB staining. This data demonstrates the use of this antibody for immunohisto
- Sample type
- human hepatocarcinoma tissue
- Primary Ab dilution
- 1.0 µg/mL
- Protocol
- Protocol