Antibody data
- Antibody Data
- Antigen structure
- References [4]
- Comments [0]
- Validations
- Western blot [1]
- Immunohistochemistry [1]
Submit
Validation data
Reference
Comment
Report error
- Product number
- PAB2580 - Provider product page

- Provider
- Abnova Corporation
- Proper citation
- Abnova Corporation Cat#PAB2580, RRID:AB_1571042
- Product name
- AKR1A1 polyclonal antibody
- Antibody type
- Polyclonal
- Description
- Rabbit polyclonal antibody raised against synthetic peptide of AKR1A1.
- Storage
- Store at 4°C. For long term storage store at -20°C.Aliquot to avoid repeated freezing and thawing.
Submitted references Interindividual variability in the cardiac expression of anthracycline reductases in donors with and without Down syndrome.
Merging the binding sites of aldose and aldehyde reductase for detection of inhibitor selectivity-determining features.
The structure of Apo R268A human aldose reductase: hinges and latches that control the kinetic mechanism.
Structures of human and porcine aldehyde reductase: an enzyme implicated in diabetic complications.
QuiƱones-LombraƱa A, Ferguson D, Hageman Blair R, Kalabus JL, Redzematovic A, Blanco JG
Pharmaceutical research 2014 Jul;31(7):1644-55
Pharmaceutical research 2014 Jul;31(7):1644-55
Merging the binding sites of aldose and aldehyde reductase for detection of inhibitor selectivity-determining features.
Steuber H, Heine A, Podjarny A, Klebe G
Journal of molecular biology 2008 Jun 20;379(5):991-1016
Journal of molecular biology 2008 Jun 20;379(5):991-1016
The structure of Apo R268A human aldose reductase: hinges and latches that control the kinetic mechanism.
Bohren KM, Brownlee JM, Milne AC, Gabbay KH, Harrison DH
Biochimica et biophysica acta 2005 May 15;1748(2):201-12
Biochimica et biophysica acta 2005 May 15;1748(2):201-12
Structures of human and porcine aldehyde reductase: an enzyme implicated in diabetic complications.
El-Kabbani O, Green NC, Lin G, Carson M, Narayana SV, Moore KM, Flynn TG, DeLucas LJ
Acta crystallographica. Section D, Biological crystallography 1994 Nov 1;50(Pt 6):859-68
Acta crystallographica. Section D, Biological crystallography 1994 Nov 1;50(Pt 6):859-68
No comments: Submit comment
Supportive validation
- Submitted by
- Abnova Corporation (provider)
- Main image

- Experimental details
- Western blot analysis of AKR1A1 polyclonal antibody (Cat # PAB2580) in Y-79 cell line lysates (35 ug/lane). AKR1A1 (arrow) was detected using the purified polyclonal antibody.
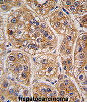
Supportive validation
- Submitted by
- Abnova Corporation (provider)
- Main image

- Experimental details
- Formalin-fixed and paraffin-embedded human hepatocarcinomareacted with AKR1A1 polyclonal antibody (Cat # PAB2580), which was peroxidase-conjugated to the secondary antibody, followed by AEC staining.This data demonstrates the use of this antibody for immunohistochemistry; clinical relevance has not been evaluated.
- Validation comment
- Immunohistochemistry (Formalin/PFA-fixed paraffin-embedded sections)