Antibody data
- Antibody Data
- Antigen structure
- References [0]
- Comments [0]
- Validations
- Western blot [1]
- Immunocytochemistry [1]
- Immunohistochemistry [2]
Submit
Validation data
Reference
Comment
Report error
- Product number
- GTX30039 - Provider product page

- Provider
- GeneTex
- Product name
- AKR1A1 antibody
- Antibody type
- Polyclonal
- Reactivity
- Human, Mouse
- Host
- Rabbit
No comments: Submit comment
Supportive validation
- Submitted by
- GeneTex (provider)
- Main image

- Experimental details
- WB analysis of extracts from various cell lines using AKR1A1 antibody.
Supportive validation
- Submitted by
- GeneTex (provider)
- Main image

- Experimental details
- ICC/IF analysis of HeLa cells using AKR1A1 antibody (green).
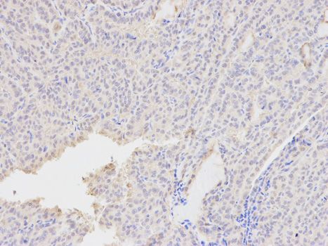
Supportive validation
- Submitted by
- GeneTex (provider)
- Main image

- Experimental details
- IHC-P analysis of human thyroid cancer using AKR1A1 antibody at dilution of 1:400.
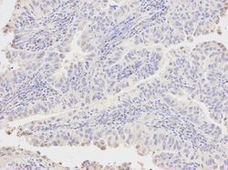
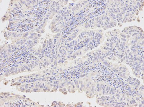
- Submitted by
- GeneTex (provider)
- Main image

- Experimental details
- IHC-P analysis of human endometrial cancer using AKR1A1 antibody at dilution of 1:400.