Antibody data
- Antibody Data
- Antigen structure
- References [0]
- Comments [0]
- Validations
- Western blot [2]
- Immunohistochemistry [1]
Submit
Validation data
Reference
Comment
Report error
- Product number
- AP2734b - Provider product page

- Provider
- Abcepta
- Proper citation
- Abgent Cat#AP2734b, RRID:AB_1208342
- Product name
- AKR1A1 Antibody (C-term)
- Antibody type
- Polyclonal
- Antigen
- Synthetic peptide
- Description
- Purified Rabbit Polyclonal Antibody (Pab)
- Reactivity
- Human
- Host
- Rabbit
- Isotype
- IgG
- Vial size
- 400 µl
- Concentration
- 2 mg/ml
- Storage
- Maintain refrigerated at 2-8°C for up to 6 months. For long term storage store at -20°C in small aliquots to prevent freeze-thaw cycles.
No comments: Submit comment
Supportive validation
- Submitted by
- Abcepta (provider)
- Main image

- Experimental details
- Western blot analysis of anti-AKR1A1 Antibody (C-term) (Cat.#AP2734b) in Y79 cell line lysates (35ug/lane). AKR1A1(arrow) was detected using the purified Pab.
- Primary Ab dilution
- 1:1000
- Submitted by
- Abcepta (provider)
- Main image

- Experimental details
- Western blot analysis of AKR1A1 (arrow) using rabbit polyclonal AKR1A1 Antibody (C-term) (Cat.#AP2734b). 293 cell lysates (2 ug/lane) either nontransfected (Lane 1) or transiently transfected (Lane 2) with the AKR1A1 gene.
- Primary Ab dilution
- 1:1000
Supportive validation
- Submitted by
- Abcepta (provider)
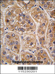
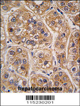
- Main image

- Experimental details
- "Formalin-fixed and paraffin-embedded human hepatocarcinoma tissue reacted with AKR1A1 antibody (C-term) (Cat.#AP2734b), which was peroxidase-conjugated to the secondary antibody, followed by DAB staining. This data demonstrates the use of this antibody for immunohistochemistry; clinical relevance has not been evaluated."
- Primary Ab dilution
- 1:10~50