Antibody data
- Antibody Data
- Antigen structure
- References [0]
- Comments [0]
- Validations
- Western blot [1]
- Immunohistochemistry [4]
- Flow cytometry [1]
Submit
Validation data
Reference
Comment
Report error
- Product number
- ABIN2670125 - Provider product page
- Provider
- antibodies-online
- Product name
- anti-Malignant T Cell Amplified Sequence 1 (MCTS1) (AA 1-181) antibody
- Antibody type
- Monoclonal
- Antigen
- Human recombinant protein fragment corresponding to amino acids 1-181 of human MCTS1 (NP_054779) produced in E.coli.
- Description
- Purified from mouse ascites fluids by affinity chromatography
- Reactivity
- Human
- Host
- Mouse
- Epitope
- AA 1-181
- Isotype
- IgG
- Antibody clone number
- OTI 5B5
- Vial size
- 100 μL
No comments: Submit comment
Supportive validation
- Submitted by
- antibodies-online (provider)
- Main image
- Experimental details
- Image(s): Western Blotting
Supportive validation
- Submitted by
- antibodies-online (provider)
- Main image
- Experimental details
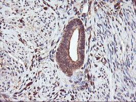
- Image(s): Immunohistochemistry
- Submitted by
- antibodies-online (provider)
- Main image
- Experimental details
- Image(s): Immunohistochemistry
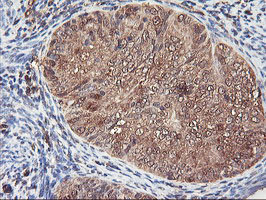
- Submitted by
- antibodies-online (provider)
- Main image
- Experimental details
- Image(s): Immunohistochemistry
- Submitted by
- antibodies-online (provider)
- Main image
- Experimental details
- Image(s): Immunohistochemistry
Supportive validation
- Submitted by
- antibodies-online (provider)
- Main image
- Experimental details
- Image(s): Flow cytometry