Antibody data
- Antibody Data
- Antigen structure
- References [1]
- Comments [0]
- Validations
- Western blot [3]
- Immunohistochemistry [2]
Submit
Validation data
Reference
Comment
Report error
- Product number
- GTX117793 - Provider product page
- Provider
- GeneTex
- Proper citation
- GeneTex Cat#GTX117793, RRID:AB_10617617
- Product name
- MCTS1 antibody [N1C3]
- Antibody type
- Polyclonal
- Reactivity
- Human, Mouse, Rat
- Host
- Rabbit
Submitted references Oncogenic MCT-1 activation promotes YY1-EGFR-MnSOD signaling and tumor progression.
Tseng HY, Chen YA, Jen J, Shen PC, Chen LM, Lin TD, Wang YC, Hsu HL
Oncogenesis 2017 Apr 10;6(4):e313
Oncogenesis 2017 Apr 10;6(4):e313
No comments: Submit comment
Enhanced validation
Supportive validation
- Submitted by
- GeneTex (provider)
- Enhanced method
- Genetic validation
- Main image
- Experimental details
- Non-transfected (¡V) and transfected (+) MDA-MB-231 whole cell extracts (30 ?g) were separated by 12% SDS-PAGE, and the membrane was blotted with MCTS1 antibody [N1C3] (GTX117793) diluted at 1:500. The HRP-conjugated anti-rabbit IgG antibody (GTX213110-01) was used to detect the primary antibody.
Supportive validation
- Submitted by
- GeneTex (provider)
- Main image
- Experimental details
- Sample (30 ?g of whole cell lysate) A: Jurkat 12% SDS PAGE GTX117793 diluted at 1:1000 The HRP-conjugated anti-rabbit IgG antibody (GTX213110-01) was used to detect the primary antibody.
- Submitted by
- GeneTex (provider)
- Main image
- Experimental details
- Non-transfected (¡V) and transfected (+) MDA-MB-231 whole cell extracts (30 ?g) were separated by 12% SDS-PAGE, and the membrane was blotted with MCTS1 antibody [N1C3] (GTX117793) diluted at 1:500. The HRP-conjugated anti-rabbit IgG antibody (GTX213110-01) was used to detect the primary antibody.
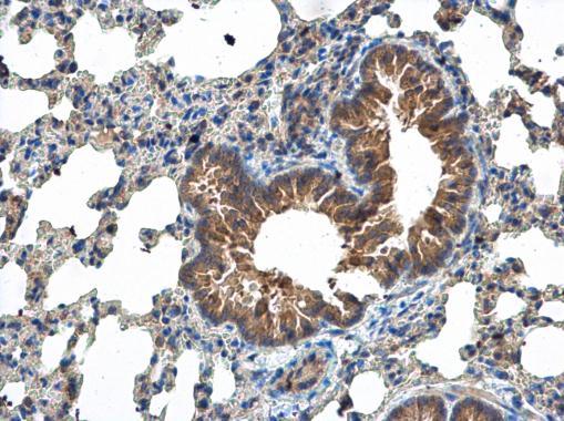
Supportive validation
- Submitted by
- GeneTex (provider)
- Main image
- Experimental details
- MCTS1 antibody [N1C3] detects MCTS1 protein at cytoplasm in mouse lung by immunohistochemical analysis. Sample: Paraffin-embedded mouse lung. MCTS1 antibody [N1C3] (GTX117793) diluted at 1:500.
- Submitted by
- GeneTex (provider)
- Main image
- Experimental details
- MCTS1 antibody [N1C3] detects MCTS1 protein at cytoplasm in rat spleen by immunohistochemical analysis. Sample: Paraffin-embedded rat spleen. MCTS1 antibody [N1C3] (GTX117793) diluted at 1:500.