Antibody data
- Antibody Data
- Antigen structure
- References [1]
- Comments [0]
- Validations
- Western blot [1]
- Immunohistochemistry [4]
Submit
Validation data
Reference
Comment
Report error
- Product number
- GTX50967 - Provider product page
- Provider
- GeneTex
- Product name
- MCTS1 antibody [2G2]
- Antibody type
- Monoclonal
- Reactivity
- Human
- Host
- Mouse
Submitted references MCT-1 expression and PTEN deficiency synergistically promote neoplastic multinucleation through the Src/p190B signaling activation.
Wu MH, Chen YA, Chen HH, Chang KW, Chang IS, Wang LH, Hsu HL
Oncogene 2014 Oct 23;33(43):5109-20
Oncogene 2014 Oct 23;33(43):5109-20
No comments: Submit comment
Supportive validation
- Submitted by
- GeneTex (provider)
- Main image
- Experimental details
- Negative control E. coli lysate (Left lane) or E. coli lysate containing recombinant protein fragment for human MCTS1 (NP_054779) gene (amino acids 1-181) (Right lane). Equivalent amounts (5 ug per lane) were separated by SDS-PAGE and then immunoblotted with anti-MCTS1.
Supportive validation
- Submitted by
- GeneTex (provider)
- Main image
- Experimental details
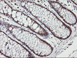
- Immunohistochemical staining of paraffin-embedded Human colon tissue using anti-MCTS1 mouse monoclonal antibody.
- Submitted by
- GeneTex (provider)
- Main image
- Experimental details
- Immunohistochemical staining of paraffin-embedded Human pancreas tissue using anti-MCTS1 mouse monoclonal antibody.
- Submitted by
- GeneTex (provider)
- Main image
- Experimental details
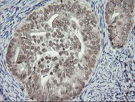
- Immunohistochemical staining of paraffin-embedded Adenocarcinoma of Human endometrium tissue using anti-MCTS1 mouse monoclonal antibody.
- Submitted by
- GeneTex (provider)
- Main image
- Experimental details
- Immunohistochemical staining of paraffin-embedded Human tonsil using anti-MCTS1 mouse monoclonal antibody.