Antibody data
- Antibody Data
- Antigen structure
- References [0]
- Comments [0]
- Validations
- Western blot [1]
- Immunohistochemistry [9]
Submit
Validation data
Reference
Comment
Report error
- Product number
- LS-C172675 - Provider product page
- Provider
- LSBio
- Product name
- MCTS1 Antibody (clone OTI 2G2) LS-C172675
- Antibody type
- Monoclonal
- Description
- Protein A/G purified
- Reactivity
- Human
- Host
- Mouse
- Isotype
- IgG
- Antibody clone number
- OTI 2G2
- Storage
- Store at -20°C. Avoid freeze-thaw cycles.
No comments: Submit comment
Enhanced validation
- Submitted by
- LSBio (provider)
- Enhanced method
- Genetic validation
- Main image
- Experimental details
- Negative control E. coli lysate (Left lane) or E. coli lysate containing recombinant protein fragment for human MCTS1 (NP_054779) gene (amino acids 1-181) (Right lane). Equivalent amounts (5 ug per lane) were separated by SDS-PAGE and then immunoblotted with anti-MCTS1. .
Enhanced validation
- Submitted by
- LSBio (provider)
- Enhanced method
- Genetic validation
- Main image
- Experimental details
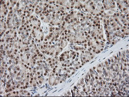
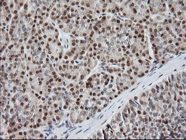
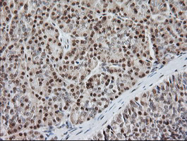
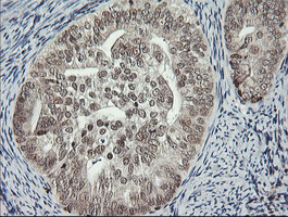
- IHC of paraffin-embedded Human pancreas tissue using anti-MCTS1 mouse monoclonal antibody.
- Submitted by
- LSBio (provider)
- Enhanced method
- Genetic validation
- Main image
- Experimental details
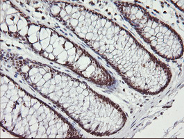
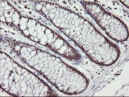
- IHC of paraffin-embedded Human colon tissue using anti-MCTS1 mouse monoclonal antibody.
- Submitted by
- LSBio (provider)
- Enhanced method
- Genetic validation
- Main image
- Experimental details
- IHC of paraffin-embedded Human pancreas tissue using anti-MCTS1 mouse monoclonal antibody.
- Submitted by
- LSBio (provider)
- Enhanced method
- Genetic validation
- Main image
- Experimental details
- IHC of paraffin-embedded Adenocarcinoma of Human endometrium tissue using anti-MCTS1 mouse monoclonal antibody.
- Submitted by
- LSBio (provider)
- Enhanced method
- Genetic validation
- Main image
- Experimental details
- IHC of paraffin-embedded Human tonsil using anti-MCTS1 mouse monoclonal antibody.
- Submitted by
- LSBio (provider)
- Main image
- Experimental details
- IHC of paraffin-embedded Human colon tissue using anti-MCTS1 mouse monoclonal antibody.
- Submitted by
- LSBio (provider)
- Main image
- Experimental details
- IHC of paraffin-embedded Human pancreas tissue using anti-MCTS1 mouse monoclonal antibody.
- Submitted by
- LSBio (provider)
- Main image
- Experimental details
- IHC of paraffin-embedded Adenocarcinoma of Human endometrium tissue using anti-MCTS1 mouse monoclonal antibody.
- Submitted by
- LSBio (provider)
- Main image
- Experimental details
- IHC of paraffin-embedded Human tonsil using anti-MCTS1 mouse monoclonal antibody.