Antibody data
- Antibody Data
- Antigen structure
- References [0]
- Comments [0]
- Validations
- Western blot [2]
- Immunocytochemistry [1]
- Immunoprecipitation [1]
- Flow cytometry [2]
Submit
Validation data
Reference
Comment
Report error
- Product number
- RQ8343 - Provider product page

- Provider
- NSJ Bioreagents
- Product name
- NSMCE2 Antibody / NSE2 / MMS21
- Antibody type
- Polyclonal
- Description
- This highly specific NSMCE2 antibody is suitable for use in Western blot/Flow cytometry/Immunofluorescence/Immunoprecipitation/Direct ELISA applications with human samples.
- Reactivity
- Human
- Host
- Rabbit
- Conjugate
- Unconjugated
- Vial size
- 100 ug
- Concentration
- 0.5mg/ml if reconstituted with 0.2ml sterile DI water
- Storage
- After reconstitution, the NSMCE2 antibody can be stored for up to one month at 4oC. For long-term, aliquot and store at -20oC. Avoid repeated freezing and thawing.
No comments: Submit comment
Supportive validation
- Submitted by
- NSJ Bioreagents (provider)
- Main image

- Experimental details
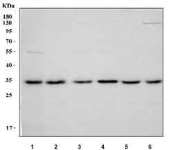
- Western blot testing of human 1) MCF7, 2) U-2 OS, 2) A431, 4) K562, 5) A549 and 6) SiHa cell lysate with NSMCE2 antibody. Predicted molecular weight ~28 kDa.
- Submitted by
- NSJ Bioreagents (provider)
- Main image

- Experimental details
- Western blot testing of human 1) MCF7, 2) HEL, 3) U-2 OS and 4) PC-3 cell lysate with NSMCE2 antibody. Predicted molecular weight ~28 kDa.
Supportive validation
- Submitted by
- NSJ Bioreagents (provider)
- Main image

- Experimental details
- Immunofluorescent staining of FFPE human U-2 OS cells with NSMCE2 antibody (green) and Beta Tubulin mAb (red). HIER: steam section in pH6 citrate buffer for 20 min.
Supportive validation
- Submitted by
- NSJ Bioreagents (provider)
- Main image

- Experimental details
- Immunoprecipitation of NSMCE2 protein from 500ug of human MCF7 whole cell lysate with 2ug of NSMCE2 antibody.
Supportive validation
- Submitted by
- NSJ Bioreagents (provider)
- Main image

- Experimental details
- Flow cytometry testing of fixed and permeabilized human MCF7 cells with NSMCE2 antibody at 1ug/million cells (blocked with goat sera); Red=cells alone, Green=isotype control, Blue= NSMCE2 antibody.
- Submitted by
- NSJ Bioreagents (provider)
- Main image

- Experimental details
- Flow cytometry testing of fixed and permeabilized human PC-3 cells with NSMCE2 antibody at 1ug/million cells (blocked with goat sera); Red=cells alone, Green=isotype control, Blue= NSMCE2 antibody.