Antibody data
- Antibody Data
- Antigen structure
- References [0]
- Comments [0]
- Validations
- Western blot [1]
- Immunohistochemistry [2]
- Flow cytometry [1]
Submit
Validation data
Reference
Comment
Report error
- Product number
- RQ6373 - Provider product page

- Provider
- NSJ Bioreagents
- Product name
- Cd226 Antibody / Dnam-1
- Antibody type
- Polyclonal
- Description
- This highly specific Cd226 antibody is suitable for use in Western blot/Immunohistochemistry/Flow cytometry/Direct ELISA applications with mouse and rat samples.
- Reactivity
- Mouse, Rat
- Host
- Rabbit
- Conjugate
- Unconjugated
- Vial size
- 100 ug
- Concentration
- 0.5mg/ml if reconstituted with 0.2ml sterile DI water
- Storage
- After reconstitution, the Cd226 antibody can be stored for up to one month at 4oC. For long-term, aliquot and store at -20oC. Avoid repeated freezing and thawing.
No comments: Submit comment
Supportive validation
- Submitted by
- NSJ Bioreagents (provider)
- Main image

- Experimental details
- Western blot test of 1) rat spleen, 2) mouse spleen, 3) mouse thymus and 4) mouse RAW264.7 cell lysate with Cd226 antibody. Predicted molecular weight ~70 kDa but may be observed at larger sizes due to glycosylation.
Supportive validation
- Submitted by
- NSJ Bioreagents (provider)
- Main image

- Experimental details
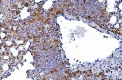
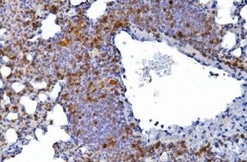
- IHC staining of FFPE mouse lung tissue with Cd226 antibody. HIER: boil tissue sections in pH8 EDTA for 20 min and allow to cool before testing.
- Submitted by
- NSJ Bioreagents (provider)
- Main image

- Experimental details
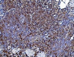
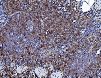
- IHC staining of FFPE rat lung lymphoid tissue with Cd226 antibody. HIER: boil tissue sections in pH8 EDTA for 20 min and allow to cool before testing.
Supportive validation
- Submitted by
- NSJ Bioreagents (provider)
- Main image

- Experimental details
- Flow cytometry testing of rat NRK cells with Cd226 antibody at 1ug/million cells (blocked with goat sera); Red=cells alone, Green=isotype control, Blue= Cd226 antibody.