Antibody data
- Antibody Data
- Antigen structure
- References [0]
- Comments [0]
- Validations
- Western blot [1]
- Immunocytochemistry [2]
- Immunohistochemistry [2]
- Other assay [1]
Submit
Validation data
Reference
Comment
Report error
- Product number
- A700-063 - Provider product page

- Provider
- Invitrogen Antibodies
- Product name
- DNAM-1/CD226 Recombinant Rabbit Monoclonal Antibody (BLR063G)
- Antibody type
- Monoclonal
- Antigen
- Other
- Reactivity
- Human
- Host
- Rabbit
- Isotype
- IgG
- Antibody clone number
- BLR063G
- Vial size
- 100 µL
- Concentration
- 1000 µg/mL
- Storage
- 4° C
No comments: Submit comment
Supportive validation
- Submitted by
- Invitrogen Antibodies (provider)
- Main image

- Experimental details
- Detection of human DNAM-1/CD226 by western blot. Samples: Whole cell lysate (10 µg) from SUP-M2, RT-4, HH, U-251MG, MJ, HDLM-2, Jurkat, and HeLa cells prepared using NETN lysis buffer. Antibody: Rabbit anti-DNAM-1/CD226 recombinant monoclonal antibody [BL-1060-1D2] (Product # A700-063 lot 2) used at 1:1000. Secondary: HRP-conjugated goat anti-rabbit IgG (A120-101P). Chemiluminescence with an exposure time of 30 seconds. Lower Panel: Rabbit anti-COPB2 antibody (Product # A304-523A).
Supportive validation
- Submitted by
- Invitrogen Antibodies (provider)
- Main image

- Experimental details
- Detection of human DNAM-1 in FFPE HH cells by ICC. Antibody: Rabbit anti-DNAM-1 recombinant monoclonal antibody [BLR063G] (Product # A700-063; lot 2). Secondary: HRP-conjugated goat anti-rabbit IgG (Product # A120-501P). Substrate: DAB.
- Submitted by
- Invitrogen Antibodies (provider)
- Main image

- Experimental details
- Detection of human DNAM-1 in FFPE Jurkat cells by ICC. Antibody: Rabbit anti-DNAM-1 recombinant monoclonal antibody [BLR063G] (Product # A700-063 lot 2). Secondary: HRP-conjugated goat anti-rabbit IgG (A120-501P). Substrate: DAB.
Supportive validation
- Submitted by
- Invitrogen Antibodies (provider)
- Main image

- Experimental details
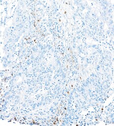
- Detection of human DNAM-1 in FFPE colon carcinoma by IHC. Antibody: Rabbit anti-DNAM-1 recombinant monoclonal antibody [BLR063G] (Product # A700-063 lot 2). Secondary: HRP-conjugated goat anti-rabbit IgG (A120-501P). Substrate: DAB.
- Submitted by
- Invitrogen Antibodies (provider)
- Main image

- Experimental details
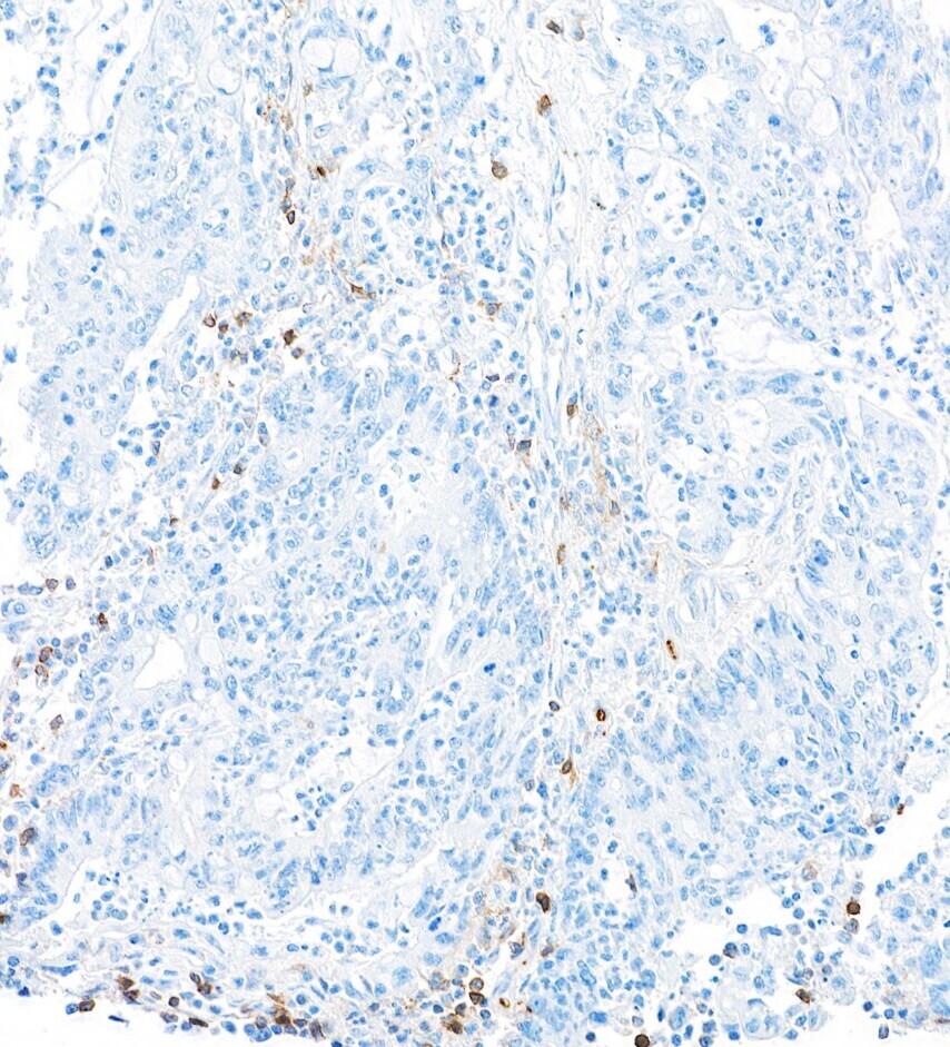
- Detection of human DNAM-1/CD226 by immunohistochemistry. AntibodySample: FFPE section of lung carcinoma.Antibody: Rabbit anti-DNAM-1/CD226 recombinant monoclonal antibody (BLR063G) (A700-063 lot 1) used at 1:200.Secondary: HRP-conjugated goat anti-rabbit IgG (A120-501P). Substrate: DAB.
Supportive validation
- Submitted by
- Invitrogen Antibodies (provider)
- Main image

- Experimental details
- Detection of human DNAM-1/CD226 by western blot of immunoprecipitates. Samples: Whole cell lysate (1.0 mg per IP reaction; 20% of IP loaded) from HH cells prepared using NETN lysis buffer. Antibodies: Rabbit anti-DNAM-1/CD226 recombinant monoclonal antibody [BL-1060-1D2] (Product # A700-063) used for IP at 20 µL/mg lysate. DNAM-1/CD226 was also immunoprecipitated by a second antibody against a different epitope of DNAM-1/CD226 (BL-799B-1B9). For blotting immunoprecipitated DNAM-1/CD226 (Product # A700-063) was used at 1:1000. Chemiluminescence with an exposure time of 3 seconds.