Antibody data
- Antibody Data
- Antigen structure
- References [0]
- Comments [0]
- Validations
- Western blot [2]
- Immunohistochemistry [2]
Submit
Validation data
Reference
Comment
Report error
- Product number
- STJ91074 - Provider product page

- Provider
- St John's Laboratory
- Product name
- Anti-Phospho-CD226-Ser329 antibody (270-350) (STJ91074)
- Antibody type
- Polyclonal
- Description
- Rabbit polyclonal antibody anti-Phospho-Cd226 antigen-Ser329 (270-350) is suitable for use in Western Blot, Immunohistochemistry, Immunofluorescence, Immunocytochemistry and ELISA research applications.
- Reactivity
- Human, Mouse, Simian
- Host
- Rabbit
- Conjugate
- Unconjugated
- Antigen sequence
NA- Epitope
- NA
- Isotype
- IgG
- Antibody clone number
- NA
- Vial size
- NA
- Concentration
- NA
- Storage
- Store at-20°C for up to 1 year from the date of receipt, and avoid repeat freeze-thaw cycles.
- Handling
- NA
No comments: Submit comment
Supportive validation
Supportive validation
- Submitted by
- St John's Laboratory (provider)
- Main image

- Experimental details
- Western blot analysis of lysates from COS7 cells, using CD226/DNAM-1 (Phospho-Ser329) Antibody. The lane on the right is blocked with the phospho peptide.
- Sample type
- NA
- Validation comment
- NA
- Primary Ab dilution
- NA
- Other comments
- NA
- Secondary Ab
- NA
- Secondary Ab dilution
- NA
- Protocol
- NA
Supportive validation
- Submitted by
- St John's Laboratory (provider)
- Main image

- Experimental details
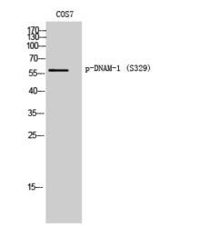
- Western blot analysis of COS7 cells using Phospho-DNAM-1 (S329) Polyclonal Antibody
- Sample type
- NA
- Validation comment
- NA
- Primary Ab dilution
- NA
- Other comments
- NA
- Secondary Ab
- NA
- Secondary Ab dilution
- NA
- Protocol
- NA
Supportive validation
Supportive validation
- Submitted by
- St John's Laboratory (provider)
- Main image

- Experimental details
- Immunofluorescence analysis of A549 cells, using CD226/DNAM-1 (Phospho-Ser329) Antibody. The picture on the right is blocked with the phospho peptide.
- Sample type
- NA
- Validation comment
- NA
- Primary Ab dilution
- NA
- Other comments
- NA
- Secondary Ab
- NA
- Secondary Ab dilution
- NA
- Protocol
- NA
Supportive validation
- Submitted by
- St John's Laboratory (provider)
- Main image

- Experimental details
- Immunohistochemistry analysis of paraffin-embedded human brain, using CD226/DNAM-1 (Phospho-Ser329) Antibody. The picture on the right is blocked with the phospho peptide.
- Sample type
- NA
- Validation comment
- NA
- Primary Ab dilution
- NA
- Other comments
- NA
- Secondary Ab
- NA
- Secondary Ab dilution
- NA
- Protocol
- NA