Antibody data
- Antibody Data
- Antigen structure
- References [0]
- Comments [0]
- Validations
- Western blot [2]
- Immunohistochemistry [7]
- Flow cytometry [1]
Submit
Validation data
Reference
Comment
Report error
- Product number
- NBP2-02477 - Provider product page

- Provider
- Novus Biologicals
- Product name
- Mouse Monoclonal DAP Kinase 2 Antibody
- Antibody type
- Monoclonal
- Description
- Affinity purified.
- Reactivity
- Human, Rat, Canine, Simian
- Host
- Mouse
- Isotype
- IgG
- Vial size
- 0.1 ml
- Concentration
- 0.76 mg/ml
- Storage
- Store at -20C. Avoid freeze-thaw cycles.
No comments: Submit comment
Supportive validation
- Submitted by
- Novus Biologicals (provider)
- Main image

- Experimental details
- Western Blot: DAP Kinase 2 Antibody (OTI1C5) [NBP2-02477] - Analysis of extracts (35ug) from 9 different cell lines by usin g anti-DAP Kinase 2 monoclonal antibody (HepG2: human; HeLa: human; SVT2: mouse; A549: human; COS7: monkey; Jurkat: human; MDCK: canine; PC12: rat; MCF7: human).
- Submitted by
- Novus Biologicals (provider)
- Main image

- Experimental details
- Western Blot: DAP Kinase 2 Antibody (OTI1C5) [NBP2-02477] - HEK293T cells were transfected with the pCMV6-ENTRY control (Left lane) or pCMV6-ENTRY DAP Kinase 2 (Right lane) cDNA for 48 hrs and lysed. Equivalent amounts of cell lysates (5 ug per lane) were separated by SDS-PAGE and immunoblotted with anti-DAP Kinase 2.
Supportive validation
- Submitted by
- Novus Biologicals (provider)
- Main image

- Experimental details
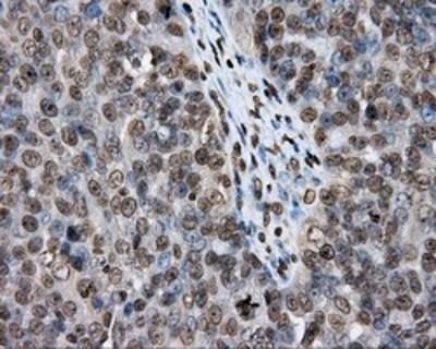
- Immunohistochemistry-Paraffin: DAP Kinase 2 Antibody (OTI1C5) [NBP2-02477] - Staining of paraffin-embedded Adenocarcinoma of Human ovary tissue using anti-DAP Kinase 2 mouse monoclonal antibody.
- Submitted by
- Novus Biologicals (provider)
- Main image

- Experimental details
- Immunohistochemistry-Paraffin: DAP Kinase 2 Antibody (OTI1C5) [NBP2-02477] - Staining of paraffin-embedded Carcinoma of Human thyroid tissue using anti-DAP Kinase 2 mouse monoclonal antibody.
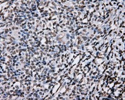
- Submitted by
- Novus Biologicals (provider)
- Main image

- Experimental details
- Immunohistochemistry-Paraffin: DAP Kinase 2 Antibody (OTI1C5) [NBP2-02477] - Staining of paraffin-embedded Human colon tissue using anti-DAP Kinase 2 mouse monoclonal antibody.
- Submitted by
- Novus Biologicals (provider)
- Main image

- Experimental details
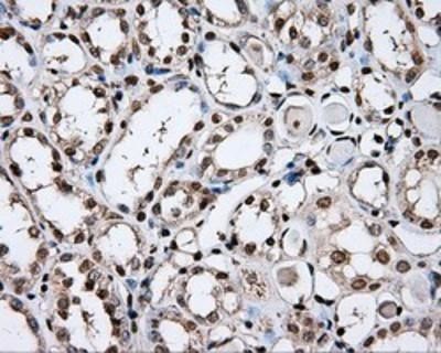
- Immunohistochemistry-Paraffin: DAP Kinase 2 Antibody (OTI1C5) [NBP2-02477] - Staining of paraffin-embedded Human Kidney tissue using anti-DAP Kinase 2 mouse monoclonal antibody.
- Submitted by
- Novus Biologicals (provider)
- Main image

- Experimental details
- Immunohistochemistry-Paraffin: DAP Kinase 2 Antibody (OTI1C5) [NBP2-02477] - Staining of paraffin-embedded Human liver tissue using anti-DAP Kinase 2 mouse monoclonal antibody.
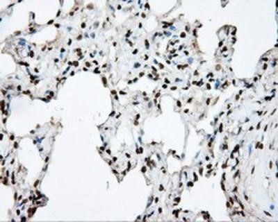
- Submitted by
- Novus Biologicals (provider)
- Main image

- Experimental details
- Immunohistochemistry-Paraffin: DAP Kinase 2 Antibody (OTI1C5) [NBP2-02477] - Staining of paraffin-embedded Human lung tissue using anti-DAP Kinase 2 mouse monoclonal antibody.
- Submitted by
- Novus Biologicals (provider)
- Main image

- Experimental details
- Immunohistochemistry-Paraffin: DAP Kinase 2 Antibody (OTI1C5) [NBP2-02477] - Staining of paraffin-embedded Human pancreas tissue using anti-DAP Kinase 2 mouse monoclonal antibody.
Supportive validation
- Submitted by
- Novus Biologicals (provider)
- Main image

- Experimental details
- Flow Cytometry: DAP Kinase 2 Antibody (OTI1C5) [NBP2-02477] - HEK293T cells transfected with either overexpression plasmid (Red) or empty vector control plasmid (Blue) were immunostained by anti-DAP Kinase 2 antibody, and then analyzed by flow cytometry.