Antibody data
- Antibody Data
- Antigen structure
- References [0]
- Comments [0]
- Validations
- Western blot [1]
- Immunocytochemistry [1]
- Immunoprecipitation [1]
- Immunohistochemistry [5]
Submit
Validation data
Reference
Comment
Report error
- Product number
- TA501086 - Provider product page

- Provider
- OriGene
- Proper citation
- OriGene Cat#TA501086, RRID:AB_11125487
- Product name
- DAPK2 (DAP Kinase 2 ) mouse monoclonal antibody, clone OTI1F7 (formerly 1F7)
- Antibody type
- Monoclonal
- Description
- DAPK2 (DAP Kinase 2 ) mouse monoclonal antibody, clone OTI1F7 (formerly 1F7)
- Host
- Mouse
- Conjugate
- Unconjugated
- Epitope
- DAPK2
- Isotype
- IgG
- Antibody clone number
- OTI1F7
- Vial size
- 100 µl
- Concentration
- 0.78 mg/ml
No comments: Submit comment
Supportive validation
- Submitted by
- OriGene (provider)
- Main image

- Experimental details
- HEK293T cells were transfected with the pCMV6-ENTRY control (Left lane) or pCMV6-ENTRY DAPK2 (RC216274, Right lane) cDNA for 48 hrs and lysed. Equivalent amounts of cell lysates (5 ug per lane) were separated by SDS-PAGE and immunoblotted with anti-DAPK2.
- Validation comment
- WB
Supportive validation
- Submitted by
- OriGene (provider)
- Main image

- Experimental details
- Anti-DAPK2 mouse monoclonal antibody (TA501086) immunofluorescent staining of COS7 cells transiently transfected by pCMV6-ENTRY DAPK2(RC216274).
- Validation comment
- IF
Supportive validation
- Submitted by
- OriGene (provider)
- Main image

- Experimental details
- Immunoprecipitation(IP) of DAPK2 by using TrueMab monoclonal anti-DAPK2 antibodies (Negative control: IP without adding anti-DAPK2 antibody.). For each experiment, 500ul of DDK tagged DAPK2 overexpression lysates (at 1:5 dilution with HEK293T lysate), 2ug of anti-DAPK2 antibody and 20ul (0.1mg) of goat anti-mouse conjugated magnetic beads were mixed and incubated overnight. After extensive wash to remove any non-specific binding, the immuno-precipitated products were analyzed with rabbit anti-DDK polyclonal antibody.
- Validation comment
- IP
Supportive validation
- Submitted by
- OriGene (provider)
- Main image

- Experimental details
- Immunohistochemical staining of paraffin-embedded Human Kidney tissue within the normal limits using anti-DAPK2 mouse monoclonal antibody. (Heat-induced epitope retrieval by 10mM citric buffer, pH6.0, 100C for 10min, TA501086)
- Validation comment
- IHC
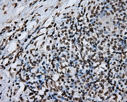
- Submitted by
- OriGene (provider)
- Main image

- Experimental details
- Immunohistochemical staining of paraffin-embedded Carcinoma of Human thyroid tissue using anti-DAPK2 mouse monoclonal antibody. (Heat-induced epitope retrieval by 10mM citric buffer, pH6.0, 100C for 10min, TA501086)
- Validation comment
- IHC
- Submitted by
- OriGene (provider)
- Main image

- Experimental details
- Immunohistochemical staining of paraffin-embedded Adenocarcinoma of Human ovary tissue using anti-DAPK2 mouse monoclonal antibody. (Heat-induced epitope retrieval by 10mM citric buffer, pH6.0, 100C for 10min, TA501086)
- Validation comment
- IHC
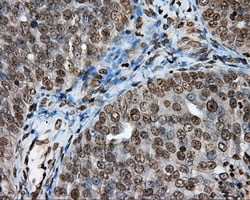
- Submitted by
- OriGene (provider)
- Main image

- Experimental details
- Immunohistochemical staining of paraffin-embedded Human pancreas tissue within the normal limits using anti-DAPK2 mouse monoclonal antibody. (Heat-induced epitope retrieval by 10mM citric buffer, pH6.0, 100C for 10min, TA501086)
- Validation comment
- IHC
- Submitted by
- OriGene (provider)
- Main image

- Experimental details
- Immunohistochemical staining of paraffin-embedded Human lung tissue within the normal limits using anti-DAPK2 mouse monoclonal antibody. (Heat-induced epitope retrieval by 10mM citric buffer, pH6.0, 100C for 10min, TA501086)
- Validation comment
- IHC