Antibody data
- Antibody Data
- Antigen structure
- References [2]
- Comments [0]
- Validations
- Western blot [1]
- Immunohistochemistry [1]
Submit
Validation data
Reference
Comment
Report error
- Product number
- PAB12854 - Provider product page

- Provider
- Abnova Corporation
- Proper citation
- Abnova Corporation Cat#PAB12854, RRID:AB_10550920
- Product name
- DAPK2 polyclonal antibody
- Antibody type
- Polyclonal
- Description
- Rabbit polyclonal antibody raised against synthetic peptide of DAPK2.
- Storage
- Store at 4°C for three months. For long term storage store at -20°C.Aliquot to avoid repeated freezing and thawing.
Submitted references Death-associated protein kinase-related protein 1, a novel serine/threonine kinase involved in apoptosis.
Death-associated protein kinase 2 is a new calcium/calmodulin-dependent protein kinase that signals apoptosis through its catalytic activity.
Inbal B, Shani G, Cohen O, Kissil JL, Kimchi A
Molecular and cellular biology 2000 Feb;20(3):1044-54
Molecular and cellular biology 2000 Feb;20(3):1044-54
Death-associated protein kinase 2 is a new calcium/calmodulin-dependent protein kinase that signals apoptosis through its catalytic activity.
Kawai T, Nomura F, Hoshino K, Copeland NG, Gilbert DJ, Jenkins NA, Akira S
Oncogene 1999 Jun 10;18(23):3471-80
Oncogene 1999 Jun 10;18(23):3471-80
No comments: Submit comment
Supportive validation
- Submitted by
- Abnova Corporation (provider)
- Main image

- Experimental details
- Western blot analysis of DAPK2 in A-431 (H), mouse spleen (M), and rat kidney (R) lysates with DAPK2 polyclonal antibody (Cat # PAB12854) at 1 ug/mL .
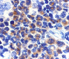
Supportive validation
- Submitted by
- Abnova Corporation (provider)
- Main image

- Experimental details
- Immunohistochemistry of DAPK2 in mouse spleen cells with DAPK2 polyclonal antibody (Cat # PAB12854) at 2 ug/mL .
- Validation comment
- Immunohistochemistry (Formalin/PFA-fixed paraffin-embedded sections)