Antibody data
- Antibody Data
- Antigen structure
- References [0]
- Comments [0]
- Validations
- Western blot [1]
- Immunohistochemistry [1]
Submit
Validation data
Reference
Comment
Report error
- Product number
- ARG54388 - Provider product page

- Provider
- Arigo
- Product name
- anti-DAP Kinase 2 antibody
- Antibody type
- Polyclonal
- Antigen
- Peptide corresponding to aa 356-370 of human DAPK2 (accession no. BAA88063). This sequence is identical to that of mouse.
- Description
- Immunoaffinity chroma-tography
- Reactivity
- Human, Mouse, Rat
- Host
- Rabbit
- Isotype
- IgG
- Vial size
- 50 µg
- Storage
- Aliquot and store at -20°C or below. Storage in frost free freezers is not recommended. Avoid repeated freeze/thaw cycles. The antibody solution should be gently mixed before use.
- Handling
- The antibody solution should be gently mixed before use.
No comments: Submit comment
Supportive validation
- Submitted by
- Arigo (provider)
- Main image

- Experimental details
- Western Blot: H:A431; M:mouse spleen ; R: rat kidney stained with ARG54388 anti-DAP Kinase 2 antibody at 1 µg/ml dilution.
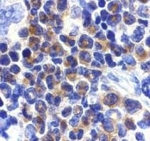
Supportive validation
- Submitted by
- Arigo (provider)
- Main image

- Experimental details
- Immunohistochemistry: mouse spleen stained with ARG54388 anti-DAP Kinase 2 antibody at 2 µg/ml dilution.