Antibody data
- Antibody Data
- Antigen structure
- References [0]
- Comments [0]
- Validations
- Western blot [2]
- Immunocytochemistry [1]
- Immunohistochemistry [8]
- Flow cytometry [2]
Submit
Validation data
Reference
Comment
Report error
- Product number
- GTX84631 - Provider product page

- Provider
- GeneTex
- Proper citation
- GeneTex Cat#GTX84631, RRID:AB_10727799
- Product name
- DAP Kinase 2 antibody [1C5]
- Antibody type
- Monoclonal
- Reactivity
- Human, Rat, Canine, Simian
- Host
- Mouse
No comments: Submit comment
Supportive validation
- Submitted by
- GeneTex (provider)
- Main image

- Experimental details
- HEK293T cells were transfected with the pCMV6-ENTRY control (Left lane) or pCMV6-ENTRY DAPK2 (Right lane) cDNA for 48 hrs and lysed. Equivalent amounts of cell lysates (5 ug per lane) were separated by SDS-PAGE and immunoblotted with anti-DAPK2.
- Submitted by
- GeneTex (provider)
- Main image

- Experimental details
- WB analysis of extracts (35ug) from 9 different cell lines by using anti-DAPK2 monoclonal antibody.
Supportive validation
- Submitted by
- GeneTex (provider)
- Main image

- Experimental details
- Anti-DAPK2 mouse monoclonal antibody (GTX84631) immunofluorescent staining of COS7 cells transiently transfected with DAPK2
Supportive validation
- Submitted by
- GeneTex (provider)
- Main image

- Experimental details
- Immunohistochemical staining of paraffin-embedded Adenocarcinoma of ovary tissue using anti-DAPK2 mouse monoclonal antibody. (GTX84631, Dilution 1:50)
- Submitted by
- GeneTex (provider)
- Main image

- Experimental details
- Immunohistochemical staining of paraffin-embedded Carcinoma of thyroid tissue using anti-DAPK2 mouse monoclonal antibody. (GTX84631, Dilution 1:50)
- Submitted by
- GeneTex (provider)
- Main image

- Experimental details
- Immunohistochemical staining of paraffin-embedded Kidney tissue using anti-DAPK2 mouse monoclonal antibody. (GTX84631, Dilution 1:50)
- Submitted by
- GeneTex (provider)
- Main image

- Experimental details
- Immunohistochemical staining of paraffin-embedded pancreas tissue using anti-DAPK2 mouse monoclonal antibody. (GTX84631, Dilution 1:50)
- Submitted by
- GeneTex (provider)
- Main image

- Experimental details
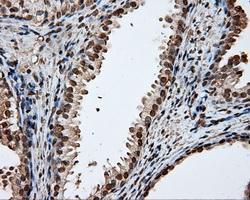
- Immunohistochemical staining of paraffin-embedded prostate tissue using anti-DAPK2 mouse monoclonal antibody. (GTX84631, Dilution 1:50)
- Submitted by
- GeneTex (provider)
- Main image

- Experimental details
- Immunohistochemical staining of paraffin-embedded liver tissue using anti-DAPK2 mouse monoclonal antibody. (GTX84631, Dilution 1:50)
- Submitted by
- GeneTex (provider)
- Main image

- Experimental details
- Immunohistochemical staining of paraffin-embedded lung tissue using anti-DAPK2 mouse monoclonal antibody. (GTX84631, Dilution 1:50)
- Submitted by
- GeneTex (provider)
- Main image

- Experimental details
- Immunohistochemical staining of paraffin-embedded colon tissue using anti-DAPK2 mouse monoclonal antibody. (GTX84631, Dilution 1:50)
Supportive validation
- Submitted by
- GeneTex (provider)
- Main image

- Experimental details
- HEK293T cells transfected with either pCMV6-ENTRY DAPK2
- Submitted by
- GeneTex (provider)
- Main image

- Experimental details
- Flow cytometric Analysis of Jurkat cells, using anti-DAPK2 antibody (GTX84631), (Red), compared to a nonspecific negative control antibody,(Blue).