Antibody data
- Antibody Data
- Antigen structure
- References [0]
- Comments [0]
- Validations
- Western blot [1]
- Immunocytochemistry [1]
- Immunoprecipitation [1]
- Immunohistochemistry [5]
Submit
Validation data
Reference
Comment
Report error
- Product number
- GTX84630 - Provider product page

- Provider
- GeneTex
- Proper citation
- GeneTex Cat#GTX84630, RRID:AB_10729427
- Product name
- DAP Kinase 2 antibody [1F7]
- Antibody type
- Monoclonal
- Reactivity
- Human
- Host
- Mouse
No comments: Submit comment
Supportive validation
- Submitted by
- GeneTex (provider)
- Main image

- Experimental details
- HEK293T cells were transfected with the pCMV6-ENTRY control (Left lane) or pCMV6-ENTRY DAPK2 (Right lane) cDNA for 48 hrs and lysed. Equivalent amounts of cell lysates (5 ug per lane) were separated by SDS-PAGE and immunoblotted with anti-DAPK2.
Supportive validation
- Submitted by
- GeneTex (provider)
- Main image

- Experimental details
- Anti-DAPK2 mouse monoclonal antibody (GTX84630) immunofluorescent staining of COS7 cells transiently transfected with DAPK2
Supportive validation
- Submitted by
- GeneTex (provider)
- Main image

- Experimental details
- Immunoprecipitation(IP) of DAPK2 by using TrueMab monoclonal anti-DAPK2 antibodies (Negative control: IP without adding anti-DAPK2 antibody.). For each experiment, 500ul of DDK tagged DAPK2 overexpression lysates (at 1:5 dilution with HEK293T lysate), 2ug of anti-DAPK2 antibody and 20ul (0.1mg) of goat anti-mouse conjugated magnetic beads were mixed and incubated overnight. After extensive wash to remove any non-specific binding, the immuno-precipitated products were analyzed with rabbit anti-DDK polyclonal antibody.
Supportive validation
- Submitted by
- GeneTex (provider)
- Main image

- Experimental details
- Immunohistochemical staining of paraffin-embedded Adenocarcinoma of ovary tissue using anti-DAPK2 mouse monoclonal antibody. (GTX84630, Dilution 1:50)
- Submitted by
- GeneTex (provider)
- Main image

- Experimental details
- Immunohistochemical staining of paraffin-embedded Carcinoma of thyroid tissue using anti-DAPK2 mouse monoclonal antibody. (GTX84630, Dilution 1:50)
- Submitted by
- GeneTex (provider)
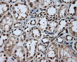
- Main image

- Experimental details
- Immunohistochemical staining of paraffin-embedded Kidney tissue using anti-DAPK2 mouse monoclonal antibody. (GTX84630, Dilution 1:50)
- Submitted by
- GeneTex (provider)
- Main image

- Experimental details
- Immunohistochemical staining of paraffin-embedded lung tissue using anti-DAPK2 mouse monoclonal antibody. (GTX84630, Dilution 1:50)
- Submitted by
- GeneTex (provider)
- Main image

- Experimental details
- Immunohistochemical staining of paraffin-embedded pancreas tissue using anti-DAPK2 mouse monoclonal antibody. (GTX84630, Dilution 1:50)