Antibody data
- Antibody Data
- Antigen structure
- References [0]
- Comments [0]
- Validations
- Western blot [1]
- Immunohistochemistry [1]
Submit
Validation data
Reference
Comment
Report error
- Product number
- D02-63R - Provider product page

- Provider
- SignalChem
- Product name
- Anti-DAPK2
- Antibody type
- Polyclonal
- Antigen
- Other
- Description
- Purified by affinity chromatography
- Reactivity
- Human, Mouse, Rat
- Host
- Rabbit
- Epitope
- DAPK2 antibody was raised against a peptide corresponding to amino acids near the carboxy terminus of human DAPK2. This antigenic peptide is identical to the corresponding amino acids of mouse origin.
- Isotype
- IgG
- Vial size
- 100 µl
- Concentration
- 1 mg/ml
- Storage
- Store at 4°C (add 0.1% NaN3) for several months, and at -20°C for longer periods. For optimal storage, aliquot target into smaller quantities after centrifugation and store at recommended temperature. For most favorable performance, avoid repeated handling and multiple freeze/thaw cycles.
No comments: Submit comment
Supportive validation
- Submitted by
- SignalChem (provider)
- Main image

- Experimental details
- Western blot analysis of DAPK2 in A431 (H), mouse spleen (M), and rat kidney (R) lysates with DAPK2 antibody at 1 µg/ml.
- Sample type
- Western Blot
Supportive validation
- Submitted by
- SignalChem (provider)
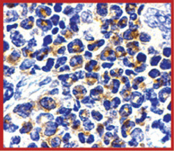
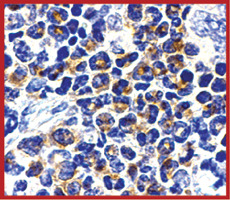
- Main image

- Experimental details
- Immunohistochemistry of DAPK2 in mouse spleen cells with DAPK2 antibody at 2 µg/ml.
- Sample type
- Immunohistochemistry