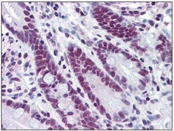
AM31794PU-N IHC

Full details

Method: Other validation